| Immunohistochemistry (IHC): | 1:50-400 | 
| Enzyme linked immunosorbent assay (ELISA): | 1:100-1000 | 
| (Boiling the paraffin sections in 10mM citrate buffer,pH6.0,or PH8.0 EDTA repair liquid for 20 mins is required for the staining of formalin/paraffin sections.) Optimal working dilutions must be determined by end user. | |

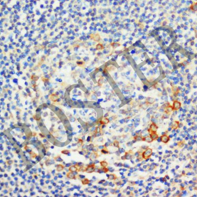
IHC analysis of IL10 using anti-IL10 antibody (A00021-3). 
 IL10 was detected in a paraffin-embedded section of mouse spleen tissue. The tissue section was incubated with rabbit anti-IL10 Antibody (A00021-3) at a dilution of 1:200 and developed using HRP Conjugated Rabbit IgG Super Vision Assay Kit (Catalog # SV0002) with DAB (Catalog # AR1027) as the chromogen.

IHC analysis of IL10 using anti-IL10 antibody (A00021-3). 
 IL10 was detected in a paraffin-embedded section of rat spleen tissue. The tissue section was incubated with rabbit anti-IL10 Antibody (A00021-3) at a dilution of 1:200 and developed using HRP Conjugated Rabbit IgG Super Vision Assay Kit (Catalog # SV0002) with DAB (Catalog # AR1027) as the chromogen.

IHC analysis of IL10 using anti-IL10 antibody (A00021-3). 
 IL10 was detected in a paraffin-embedded section of mouse spleen tissue. The tissue section was incubated with rabbit anti-IL10 Antibody (A00021-3) at a dilution of 1:200 and developed using HRP Conjugated Rabbit IgG Super Vision Assay Kit (Catalog # SV0002) with DAB (Catalog # AR1027) as the chromogen.

IHC analysis of IL10 using anti-IL10 antibody (A00021-3). 
 IL10 was detected in a paraffin-embedded section of rat spleen tissue. The tissue section was incubated with rabbit anti-IL10 Antibody (A00021-3) at a dilution of 1:200 and developed using HRP Conjugated Rabbit IgG Super Vision Assay Kit (Catalog # SV0002) with DAB (Catalog # AR1027) as the chromogen.



