| Western blot (WB): | 1:500-2000 | 
| Immunocytochemistry/Immunofluorescence (ICC/IF): | 1:50-400 | 
| Flow Cytometry (Fixed): | 1:50-200 | 
| Enzyme linked immunosorbent assay (ELISA): | 1:100-1000 | 

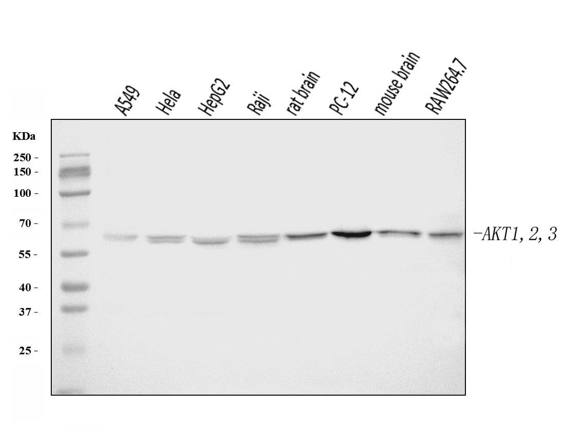
Western blot analysis of AKT1/2/3 using anti-AKT1/2/3 antibody (A00024-2). The sample well of each lane was loaded with 30 ug of sample under reducing conditions. 
Lane 1: A549 whole cell lysates,
Lane 2: Hela whole cell lysates,
Lane 3: HepG2 whole cell lysates,
Lane 4: Raji whole cell lysates,
Lane 5: rat brain tissue lysates,
Lane 6: PC-12 whole cell lysates,
Lane 7: mouse brain tissue lysates,
Lane 8: RAW264.7 whole cell lysates.
After electrophoresis, proteins were transferred to a membrane. Then the membrane was incubated with rabbit anti-AKT1/2/3 antigen affinity purified polyclonal antibody (A00024-2) at a dilution of 1:1000 and probed with a goat anti-rabbit IgG-HRP secondary antibody (Catalog # BA1054). The signal is developed using ECL Plus Western Blotting Substrate (Catalog # AR1197). A specific band was detected for AKT1/2/3 at approximately 60 kDa. The expected band size for AKT1/2/3 is at 56 kDa.

IF analysis of AKT1/2/3 using anti-AKT1/2/3 antibody (A00024-2).
 AKT1/2/3 was detected in an immunocytochemical section of MCF-7 cells. The section was incubated with rabbit anti-AKT1/2/3 Antibody (A00024-2) at a dilution of 1:100. DyLight®488 Conjugated Goat Anti-Rabbit IgG (Green) (Catalog # BA1127) was used as secondary antibody.

Flow Cytometry analysis of Hela cells using anti-AKT1/2/3 antibody (A00024-2). 
Overlay histogram showing Hela cells stained with A00024-2 (Blue line). To facilitate intracellular staining, cells were fixed with 4% paraformaldehyde and permeabilized with permeabilization buffer. The cells were blocked with 10% normal goat serum. And then incubated with rabbit anti-AKT1/2/3 Antibody (A00024-2) at 1:100 dilution for 30 min at 20°C. DyLight®488 conjugated goat anti-rabbit IgG (BA1127) was used as secondary antibody at 1:100 dilution for 30 minutes at 20°C. Isotype control antibody (Green line) was rabbit IgG at 1:100 dilution used under the same conditions. Unlabelled sample without incubation with primary antibody and secondary antibody (Red line) was used as a blank control.

Western blot analysis of AKT1/2/3 using anti-AKT1/2/3 antibody (A00024-2). The sample well of each lane was loaded with 30 ug of sample under reducing conditions. 
Lane 1: A549 whole cell lysates,
Lane 2: Hela whole cell lysates,
Lane 3: HepG2 whole cell lysates,
Lane 4: Raji whole cell lysates,
Lane 5: rat brain tissue lysates,
Lane 6: PC-12 whole cell lysates,
Lane 7: mouse brain tissue lysates,
Lane 8: RAW264.7 whole cell lysates.
After electrophoresis, proteins were transferred to a membrane. Then the membrane was incubated with rabbit anti-AKT1/2/3 antigen affinity purified polyclonal antibody (A00024-2) at a dilution of 1:1000 and probed with a goat anti-rabbit IgG-HRP secondary antibody (Catalog # BA1054). The signal is developed using ECL Plus Western Blotting Substrate (Catalog # AR1197). A specific band was detected for AKT1/2/3 at approximately 60 kDa. The expected band size for AKT1/2/3 is at 56 kDa.

IF analysis of AKT1/2/3 using anti-AKT1/2/3 antibody (A00024-2).
 AKT1/2/3 was detected in an immunocytochemical section of MCF-7 cells. The section was incubated with rabbit anti-AKT1/2/3 Antibody (A00024-2) at a dilution of 1:100. DyLight®488 Conjugated Goat Anti-Rabbit IgG (Green) (Catalog # BA1127) was used as secondary antibody.

Flow Cytometry analysis of Hela cells using anti-AKT1/2/3 antibody (A00024-2). 
Overlay histogram showing Hela cells stained with A00024-2 (Blue line). To facilitate intracellular staining, cells were fixed with 4% paraformaldehyde and permeabilized with permeabilization buffer. The cells were blocked with 10% normal goat serum. And then incubated with rabbit anti-AKT1/2/3 Antibody (A00024-2) at 1:100 dilution for 30 min at 20°C. DyLight®488 conjugated goat anti-rabbit IgG (BA1127) was used as secondary antibody at 1:100 dilution for 30 minutes at 20°C. Isotype control antibody (Green line) was rabbit IgG at 1:100 dilution used under the same conditions. Unlabelled sample without incubation with primary antibody and secondary antibody (Red line) was used as a blank control.




