| Western blot (WB): | 1:500-2000 | 
| Immunohistochemistry (IHC): | 1:50-400 | 
| Immunocytochemistry/Immunofluorescence (ICC/IF): | 1:50-400 | 
| Flow Cytometry (Fixed): | 1:50-200 | 
| Enzyme linked immunosorbent assay (ELISA): | 1:100-1000 | 
| (Boiling the paraffin sections in 10mM citrate buffer,pH6.0,or PH8.0 EDTA repair liquid for 20 mins is required for the staining of formalin/paraffin sections.) Optimal working dilutions must be determined by end user. | |

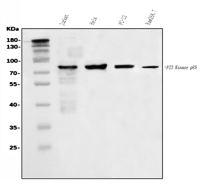
Western blot analysis of PI3K p85 alpha/PIK3R1 using anti-PI3K p85 alpha/PIK3R1 antibody (A00318-1). The sample well of each lane was loaded with 30 ug of sample under reducing conditions. 
Lane 1: Jurkat whole cell lysates,
Lane 2: Hela whole cell lysates,
Lane 3: PC-12 whole cell lysates,
Lane 4: RAW264.7 whole cell lysates.
After electrophoresis, proteins were transferred to a membrane. Then the membrane was incubated with rabbit anti-PI3K p85 alpha/PIK3R1 antigen affinity purified polyclonal antibody (A00318-1) at a dilution of 1:1000 and probed with a goat anti-rabbit IgG-HRP secondary antibody (Catalog # BA1054). The signal is developed using ECL Plus Western Blotting Substrate (Catalog # AR1197). A specific band was detected for PI3K p85 alpha/PIK3R1 at approximately 85 kDa. The expected band size for PI3K p85 alpha/PIK3R1 is at 84 kDa.

IHC analysis of PI3K p85 alpha/PIK3R1 using anti-PI3K p85 alpha/PIK3R1 antibody (A00318-1). 
 PI3K p85 alpha/PIK3R1 was detected in a paraffin-embedded section of mouse brain tissue. Biotinylated goat anti-rabbit IgG was used as secondary antibody. The tissue section was incubated with rabbit anti-PI3K p85 alpha/PIK3R1 Antibody (A00318-1) at a dilution of 1:200 and developed using Strepavidin-Biotin-Complex (SABC) (Catalog # SA1022) with DAB (Catalog # AR1027) as the chromogen.

IHC analysis of PI3K p85 alpha/PIK3R1 using anti-PI3K p85 alpha/PIK3R1 antibody (A00318-1). 
 PI3K p85 alpha/PIK3R1 was detected in a paraffin-embedded section of human lung cancer tissue. Biotinylated goat anti-rabbit IgG was used as secondary antibody. The tissue section was incubated with rabbit anti-PI3K p85 alpha/PIK3R1 Antibody (A00318-1) at a dilution of 1:200 and developed using Strepavidin-Biotin-Complex (SABC) (Catalog # SA1022) with DAB (Catalog # AR1027) as the chromogen.

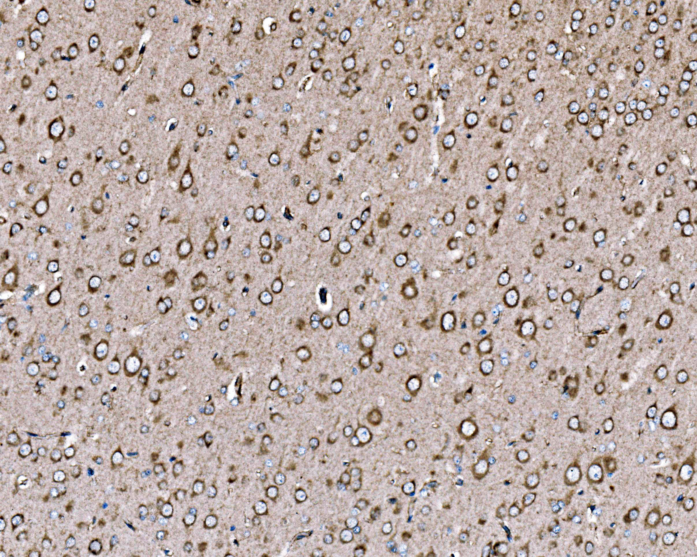
IHC analysis of PI3K p85 alpha/PIK3R1 using anti-PI3K p85 alpha/PIK3R1 antibody (A00318-1). 
 PI3K p85 alpha/PIK3R1 was detected in a paraffin-embedded section of rat brain tissue. Biotinylated goat anti-rabbit IgG was used as secondary antibody. The tissue section was incubated with rabbit anti-PI3K p85 alpha/PIK3R1 Antibody (A00318-1) at a dilution of 1:200 and developed using Strepavidin-Biotin-Complex (SABC) (Catalog # SA1022) with DAB (Catalog # AR1027) as the chromogen.

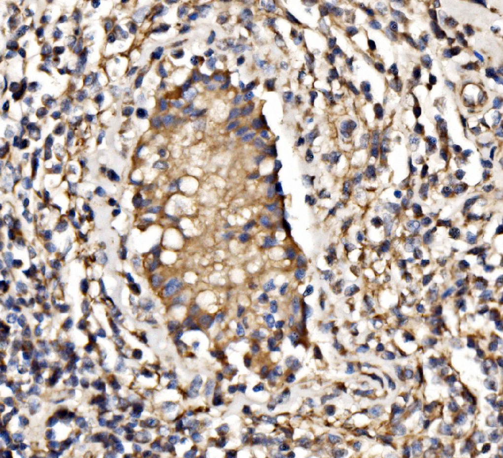
IHC analysis of PI3K p85 alpha/PIK3R1 using anti-PI3K p85 alpha/PIK3R1 antibody (A00318-1). 
 PI3K p85 alpha/PIK3R1 was detected in a paraffin-embedded section of human lymphoma tissue. Biotinylated goat anti-rabbit IgG was used as secondary antibody. The tissue section was incubated with rabbit anti-PI3K p85 alpha/PIK3R1 Antibody (A00318-1) at a dilution of 1:200 and developed using Strepavidin-Biotin-Complex (SABC) (Catalog # SA1022) with DAB (Catalog # AR1027) as the chromogen.

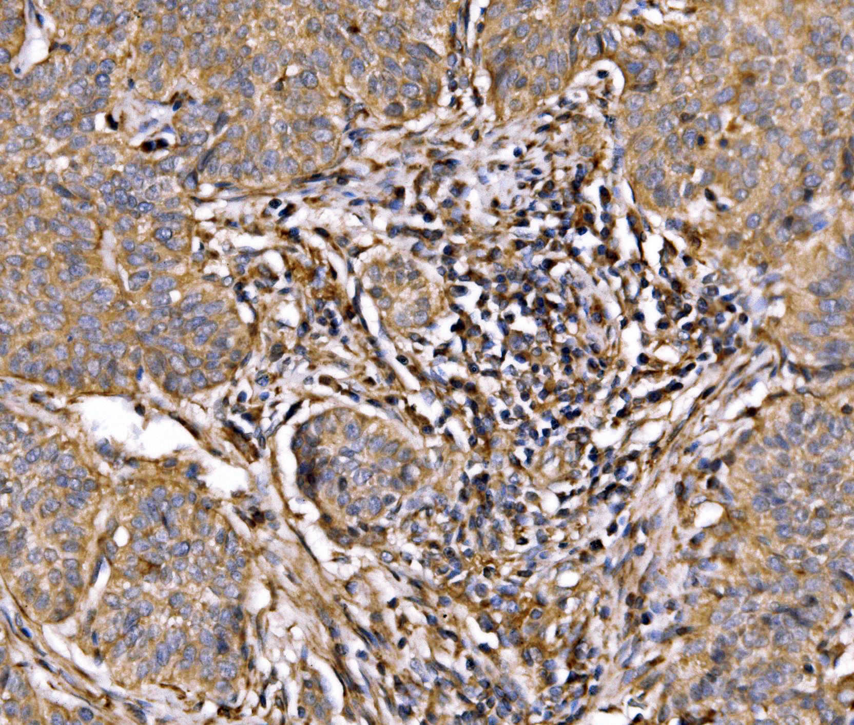
IHC analysis of PI3K p85 alpha/PIK3R1 using anti-PI3K p85 alpha/PIK3R1 antibody (A00318-1). 
 PI3K p85 alpha/PIK3R1 was detected in a paraffin-embedded section of human testicular cancer tissue. Biotinylated goat anti-rabbit IgG was used as secondary antibody. The tissue section was incubated with rabbit anti-PI3K p85 alpha/PIK3R1 Antibody (A00318-1) at a dilution of 1:200 and developed using Strepavidin-Biotin-Complex (SABC) (Catalog # SA1022) with DAB (Catalog # AR1027) as the chromogen.

IF analysis of PI3K p85 alpha/PIK3R1 using anti-PI3K p85 alpha/PIK3R1 antibody (A00318-1).
 PI3K p85 alpha/PIK3R1 was detected in an immunocytochemical section of Caco-2 cells. The section was incubated with rabbit anti-PI3K p85 alpha/PIK3R1 Antibody (A00318-1) at a dilution of 1:100. DyLight®488 Conjugated Goat Anti-Rabbit IgG (Green) (Catalog # BA1127) was used as secondary antibody. The section was counterstained with DAPI (Catalog # AR1176) (Blue).

Flow Cytometry analysis of HL-60 cells using anti-PI3K p85 alpha/PIK3R1 antibody (A00318-1). 
Overlay histogram showing HL-60 cells stained with A00318-1 (Blue line). To facilitate intracellular staining, cells were fixed with 4% paraformaldehyde and permeabilized with permeabilization buffer. The cells were blocked with 10% normal goat serum. And then incubated with rabbit anti-PI3K p85 alpha/PIK3R1 Antibody (A00318-1) at 1:100 dilution for 30 min at 20°C. DyLight®488 conjugated goat anti-rabbit IgG (BA1127) was used as secondary antibody at 1:100 dilution for 30 minutes at 20°C. Isotype control antibody (Green line) was rabbit IgG at 1:100 dilution used under the same conditions. Unlabelled sample without incubation with primary antibody and secondary antibody (Red line) was used as a blank control.

Western blot analysis of PI3K p85 alpha/PIK3R1 using anti-PI3K p85 alpha/PIK3R1 antibody (A00318-1). The sample well of each lane was loaded with 30 ug of sample under reducing conditions. 
Lane 1: Jurkat whole cell lysates,
Lane 2: Hela whole cell lysates,
Lane 3: PC-12 whole cell lysates,
Lane 4: RAW264.7 whole cell lysates.
After electrophoresis, proteins were transferred to a membrane. Then the membrane was incubated with rabbit anti-PI3K p85 alpha/PIK3R1 antigen affinity purified polyclonal antibody (A00318-1) at a dilution of 1:1000 and probed with a goat anti-rabbit IgG-HRP secondary antibody (Catalog # BA1054). The signal is developed using ECL Plus Western Blotting Substrate (Catalog # AR1197). A specific band was detected for PI3K p85 alpha/PIK3R1 at approximately 85 kDa. The expected band size for PI3K p85 alpha/PIK3R1 is at 84 kDa.

IHC analysis of PI3K p85 alpha/PIK3R1 using anti-PI3K p85 alpha/PIK3R1 antibody (A00318-1). 
 PI3K p85 alpha/PIK3R1 was detected in a paraffin-embedded section of mouse brain tissue. Biotinylated goat anti-rabbit IgG was used as secondary antibody. The tissue section was incubated with rabbit anti-PI3K p85 alpha/PIK3R1 Antibody (A00318-1) at a dilution of 1:200 and developed using Strepavidin-Biotin-Complex (SABC) (Catalog # SA1022) with DAB (Catalog # AR1027) as the chromogen.

IHC analysis of PI3K p85 alpha/PIK3R1 using anti-PI3K p85 alpha/PIK3R1 antibody (A00318-1). 
 PI3K p85 alpha/PIK3R1 was detected in a paraffin-embedded section of human lung cancer tissue. Biotinylated goat anti-rabbit IgG was used as secondary antibody. The tissue section was incubated with rabbit anti-PI3K p85 alpha/PIK3R1 Antibody (A00318-1) at a dilution of 1:200 and developed using Strepavidin-Biotin-Complex (SABC) (Catalog # SA1022) with DAB (Catalog # AR1027) as the chromogen.

IHC analysis of PI3K p85 alpha/PIK3R1 using anti-PI3K p85 alpha/PIK3R1 antibody (A00318-1). 
 PI3K p85 alpha/PIK3R1 was detected in a paraffin-embedded section of rat brain tissue. Biotinylated goat anti-rabbit IgG was used as secondary antibody. The tissue section was incubated with rabbit anti-PI3K p85 alpha/PIK3R1 Antibody (A00318-1) at a dilution of 1:200 and developed using Strepavidin-Biotin-Complex (SABC) (Catalog # SA1022) with DAB (Catalog # AR1027) as the chromogen.

IHC analysis of PI3K p85 alpha/PIK3R1 using anti-PI3K p85 alpha/PIK3R1 antibody (A00318-1). 
 PI3K p85 alpha/PIK3R1 was detected in a paraffin-embedded section of human lymphoma tissue. Biotinylated goat anti-rabbit IgG was used as secondary antibody. The tissue section was incubated with rabbit anti-PI3K p85 alpha/PIK3R1 Antibody (A00318-1) at a dilution of 1:200 and developed using Strepavidin-Biotin-Complex (SABC) (Catalog # SA1022) with DAB (Catalog # AR1027) as the chromogen.

IHC analysis of PI3K p85 alpha/PIK3R1 using anti-PI3K p85 alpha/PIK3R1 antibody (A00318-1). 
 PI3K p85 alpha/PIK3R1 was detected in a paraffin-embedded section of human testicular cancer tissue. Biotinylated goat anti-rabbit IgG was used as secondary antibody. The tissue section was incubated with rabbit anti-PI3K p85 alpha/PIK3R1 Antibody (A00318-1) at a dilution of 1:200 and developed using Strepavidin-Biotin-Complex (SABC) (Catalog # SA1022) with DAB (Catalog # AR1027) as the chromogen.

IF analysis of PI3K p85 alpha/PIK3R1 using anti-PI3K p85 alpha/PIK3R1 antibody (A00318-1).
 PI3K p85 alpha/PIK3R1 was detected in an immunocytochemical section of Caco-2 cells. The section was incubated with rabbit anti-PI3K p85 alpha/PIK3R1 Antibody (A00318-1) at a dilution of 1:100. DyLight®488 Conjugated Goat Anti-Rabbit IgG (Green) (Catalog # BA1127) was used as secondary antibody. The section was counterstained with DAPI (Catalog # AR1176) (Blue).

Flow Cytometry analysis of HL-60 cells using anti-PI3K p85 alpha/PIK3R1 antibody (A00318-1). 
Overlay histogram showing HL-60 cells stained with A00318-1 (Blue line). To facilitate intracellular staining, cells were fixed with 4% paraformaldehyde and permeabilized with permeabilization buffer. The cells were blocked with 10% normal goat serum. And then incubated with rabbit anti-PI3K p85 alpha/PIK3R1 Antibody (A00318-1) at 1:100 dilution for 30 min at 20°C. DyLight®488 conjugated goat anti-rabbit IgG (BA1127) was used as secondary antibody at 1:100 dilution for 30 minutes at 20°C. Isotype control antibody (Green line) was rabbit IgG at 1:100 dilution used under the same conditions. Unlabelled sample without incubation with primary antibody and secondary antibody (Red line) was used as a blank control.









