| Western blot (WB): | 1:500-2000 |
| Immunohistochemistry (IHC): | 1:50-400 |
| Immunocytochemistry/Immunofluorescence (ICC/IF): | 1:50-400 |
| Enzyme linked immunosorbent assay (ELISA): | 1:100-1000 |
| (Boiling the paraffin sections in 10mM citrate buffer,pH6.0,or PH8.0 EDTA repair liquid for 20 mins is required for the staining of formalin/paraffin sections.) Optimal working dilutions must be determined by end user. | |

Figure 1. Western blot analysis of Desmoplakin using anti-Desmoplakin antibody (A00616-1). Lane 1: human HepG2 whole cell lysates. anti-Desmoplakin antigen affinity purified polyclonal antibody (Catalog # A00616-1)probed with a goat anti-rabbit IgG-HRP secondary antibody The signal is developed using an Enhanced Chemiluminescent detection (ECL) kit (Catalog # EK1002) . A specific band was detected for Desmoplakin at approximately 250-280KD. The expected band size for Desmoplakin is at 332KD.

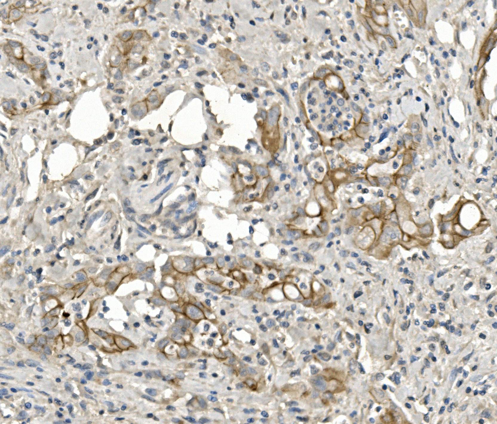
Figure 2. IHC analysis of DSP using anti-DSP antibody (A00616-1).
DSP was detected in paraffin-embedded section of human rectal cancer tissue. The tissue section was blocked with 10% goat serum. The tissue section was then incubated with 1μg/ml rabbit anti-DSP Antibody (A00616-1) overnight at 4°C. Biotinylated goat anti-rabbit IgG was used as secondary antibody and incubated for 30 minutes at 37°C. The tissue section was developed using Strepavidin-Biotin-Complex (SABC) (Catalog # SA1022) with DAB as the chromogen.

Figure 3. IHC analysis of DSP using anti-DSP antibody (A00616-1).
DSP was detected in paraffin-embedded section of mouse cardiac muscle tissue. The tissue section was blocked with 10% goat serum. The tissue section was then incubated with 1μg/ml rabbit anti-DSP Antibody (A00616-1) overnight at 4°C. Biotinylated goat anti-rabbit IgG was used as secondary antibody and incubated for 30 minutes at 37°C. The tissue section was developed using Strepavidin-Biotin-Complex (SABC) (Catalog # SA1022) with DAB as the chromogen.

Figure 4. IHC analysis of DSP using anti-DSP antibody (A00616-1).
DSP was detected in paraffin-embedded section of rat cardiac muscle tissue. The tissue section was blocked with 10% goat serum. The tissue section was then incubated with 1μg/ml rabbit anti-DSP Antibody (A00616-1) overnight at 4°C. Biotinylated goat anti-rabbit IgG was used as secondary antibody and incubated for 30 minutes at 37°C. The tissue section was developed using Strepavidin-Biotin-Complex (SABC) (Catalog # SA1022) with DAB as the chromogen.

Figure 5. IF analysis of DSP using anti-DSP antibody (A00616-1).
DSP was detected in immunocytochemical section of U2OS cells. Enzyme antigen retrieval was performed using IHC enzyme antigen retrieval reagent (AR0022) for 15 mins. The cells were blocked with 10% goat serum. And then incubated with 2μg/mL rabbit anti-DSP Antibody (A00616-1) overnight at 4°C. DyLight488 Conjugated Goat Anti-Rabbit IgG (BA1127) was used as secondary antibody at 1:100 dilution and incubated for 30 minutes at 37°C. The section was counterstained with DAPI. Visualize using a fluorescence microscope and filter sets appropriate for the label used.

Figure 1. Western blot analysis of Desmoplakin using anti-Desmoplakin antibody (A00616-1). Lane 1: human HepG2 whole cell lysates. anti-Desmoplakin antigen affinity purified polyclonal antibody (Catalog # A00616-1)probed with a goat anti-rabbit IgG-HRP secondary antibody The signal is developed using an Enhanced Chemiluminescent detection (ECL) kit (Catalog # EK1002) . A specific band was detected for Desmoplakin at approximately 250-280KD. The expected band size for Desmoplakin is at 332KD.

Figure 2. IHC analysis of DSP using anti-DSP antibody (A00616-1).
DSP was detected in paraffin-embedded section of human rectal cancer tissue. The tissue section was blocked with 10% goat serum. The tissue section was then incubated with 1μg/ml rabbit anti-DSP Antibody (A00616-1) overnight at 4°C. Biotinylated goat anti-rabbit IgG was used as secondary antibody and incubated for 30 minutes at 37°C. The tissue section was developed using Strepavidin-Biotin-Complex (SABC) (Catalog # SA1022) with DAB as the chromogen.

Figure 3. IHC analysis of DSP using anti-DSP antibody (A00616-1).
DSP was detected in paraffin-embedded section of mouse cardiac muscle tissue. The tissue section was blocked with 10% goat serum. The tissue section was then incubated with 1μg/ml rabbit anti-DSP Antibody (A00616-1) overnight at 4°C. Biotinylated goat anti-rabbit IgG was used as secondary antibody and incubated for 30 minutes at 37°C. The tissue section was developed using Strepavidin-Biotin-Complex (SABC) (Catalog # SA1022) with DAB as the chromogen.

Figure 4. IHC analysis of DSP using anti-DSP antibody (A00616-1).
DSP was detected in paraffin-embedded section of rat cardiac muscle tissue. The tissue section was blocked with 10% goat serum. The tissue section was then incubated with 1μg/ml rabbit anti-DSP Antibody (A00616-1) overnight at 4°C. Biotinylated goat anti-rabbit IgG was used as secondary antibody and incubated for 30 minutes at 37°C. The tissue section was developed using Strepavidin-Biotin-Complex (SABC) (Catalog # SA1022) with DAB as the chromogen.

Figure 5. IF analysis of DSP using anti-DSP antibody (A00616-1).
DSP was detected in immunocytochemical section of U2OS cells. Enzyme antigen retrieval was performed using IHC enzyme antigen retrieval reagent (AR0022) for 15 mins. The cells were blocked with 10% goat serum. And then incubated with 2μg/mL rabbit anti-DSP Antibody (A00616-1) overnight at 4°C. DyLight488 Conjugated Goat Anti-Rabbit IgG (BA1127) was used as secondary antibody at 1:100 dilution and incubated for 30 minutes at 37°C. The section was counterstained with DAPI. Visualize using a fluorescence microscope and filter sets appropriate for the label used.






