| Western blot (WB): | 1:500-2000 |
| Flow Cytometry (Fixed): | 1:50-200 |
| Enzyme linked immunosorbent assay (ELISA): | 1:100-1000 |

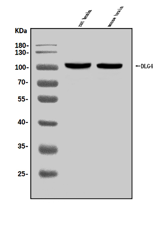
Western blot analysis of PSD95/DLG4 using anti-PSD95/DLG4 antibody (A02128). The sample well of each lane was loaded with 30 ug of sample under reducing conditions.
Lane 1: rat brain tissue lysates,
Lane 2: mouse brain tissue lysates.
After electrophoresis, proteins were transferred to a membrane. Then the membrane was incubated with rabbit anti-PSD95/DLG4 antigen affinity purified polyclonal antibody (A02128) at a dilution of 1:1000 and probed with a goat anti-rabbit IgG-HRP secondary antibody (Catalog # BA1054). The signal is developed using ECL Plus Western Blotting Substrate (Catalog # AR1197). A specific band was detected for PSD95/DLG4 at approximately 95-100 kDa. The expected band size for PSD95/DLG4 is at 80 kDa.

Flow Cytometry analysis of U937 cells using anti-PSD95/DLG4 antibody (A02128).
Overlay histogram showing U937 cells stained with A02128 (Blue line). The cells were fixed with 4% paraformaldehyde and blocked with 10% normal goat serum. And then incubated with rabbit anti-PSD95/DLG4 Antibody (A02128) at 1:100 dilution for 30 min at 20°C. DyLight®488 conjugated goat anti-rabbit IgG (BA1127) was used as secondary antibody at 1:100 dilution for 30 minutes at 20°C. Isotype control antibody (Green line) was rabbit IgG at 1:100 dilution used under the same conditions. Unlabelled sample without incubation with primary antibody and secondary antibody (Red line) was used as a blank control.

Western blot analysis of PSD95/DLG4 using anti-PSD95/DLG4 antibody (A02128). The sample well of each lane was loaded with 30 ug of sample under reducing conditions.
Lane 1: rat brain tissue lysates,
Lane 2: mouse brain tissue lysates.
After electrophoresis, proteins were transferred to a membrane. Then the membrane was incubated with rabbit anti-PSD95/DLG4 antigen affinity purified polyclonal antibody (A02128) at a dilution of 1:1000 and probed with a goat anti-rabbit IgG-HRP secondary antibody (Catalog # BA1054). The signal is developed using ECL Plus Western Blotting Substrate (Catalog # AR1197). A specific band was detected for PSD95/DLG4 at approximately 95-100 kDa. The expected band size for PSD95/DLG4 is at 80 kDa.

Flow Cytometry analysis of U937 cells using anti-PSD95/DLG4 antibody (A02128).
Overlay histogram showing U937 cells stained with A02128 (Blue line). The cells were fixed with 4% paraformaldehyde and blocked with 10% normal goat serum. And then incubated with rabbit anti-PSD95/DLG4 Antibody (A02128) at 1:100 dilution for 30 min at 20°C. DyLight®488 conjugated goat anti-rabbit IgG (BA1127) was used as secondary antibody at 1:100 dilution for 30 minutes at 20°C. Isotype control antibody (Green line) was rabbit IgG at 1:100 dilution used under the same conditions. Unlabelled sample without incubation with primary antibody and secondary antibody (Red line) was used as a blank control.



