欢迎访问博士德生物官网! 服务热线:027-67845390 |
您当前的位置: 首页 > 产品中心 > 一抗 > 多克隆抗体

Anti-CSGLCAT/CHPF2 Antibody

Rabbit polyclonal antibody

说明书 一键复制产品信息

A14020-1

  • 100μl ¥4560
  • 货期: 3-4周
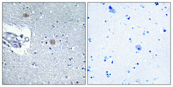
  • Figure 1. Immunohistochemistry validation of CHPF2 using Anti-CSGlcA-T CHPF2 Antibody (A14020-1).

    Immunohistochemical analysis of paraffin-embedded Human brain. Antibody was diluted at 1:100 (4°C

    all(1)

产品简介 实验方案 引用文献 相关产品

产品简介>

产品名称
Anti-CSGLCAT/CHPF2 Antibody
规格/价格
100μl/4560
指标别称
CSGlcA-T; ChPF-2; Chondroitin synthase 3; ChSy-3; CHPF2; CHSY3; CSGLCAT; KIAA1402; UNQ299/PRO339
产品类型
Polyclonal
检验物种
human
应用范围
WB, IHC, ELISA
基因名称
CHPF2
宿主
Rabbit
抗体亚型
IgG
免疫原
Synthesized peptide derived from human CSGlcA-T
计算分子量
86 kDa
成分
Liquid in PBS containing 50% glycerol, 0.5% BSA and 0.02% sodium azide.
纯化方式
The antibody was affinity-purified from rabbit antiserum by affinity-chromatography using epitope-specific immunogen.
浓度
1 mg/ml
产品形态
Liquid
保存条件
Store at -20°C for one year. For short term storage and frequent use, store at 4°C for up to one month. Avoid repeated freeze-thaw cycles.
Uniprot ID
Q9P2E5  
文献引用格式
CSGLCAT/CHPF2 Antibody (Boster Biological Technology, Wuhan, China. Catalog#A14020-1)
应用释义
WB- 蛋白质免疫印迹法,IHC- 免疫组织化学法,ICC/IF-免疫细胞荧光,ICC-免疫细胞化学,IHC-F- 冰冻切片免疫组化,FCM-流式细胞术,ELISA-酶联免疫吸附测定,IP-免疫沉淀法 ,IF-免疫组织荧光法,ChIP-染色质免疫沉淀法
基因名全称
Chondroitin sulfate glucuronyltransferase
蛋白名全称
Chondroitin sulfate glucuronyltransferase
推荐稀释比
WB 1:500-1:2000
IHC 1:100-1:300
ELISA 1:40000

实验方案>

实验步骤

引用文献(0)>

    相关产品>

    成功添加到购物车

    查看购物车 继续购物

    Anti-CSGLCAT/CHPF2 Antibody

    亮暗模式切换
    X
    亮暗模式切换
    X

    在线
    客服

    在线客服
    服务时间:08:30 - 17:30

    点击下列客服在线咨询:

    服务热线

    服务
    热线

    客服服务热线

    027-67845390
    客服服务热线

    扫码

    扫码
    咨询

    微信二维码 微信扫一扫立即咨询
    返回顶部 顶部