欢迎访问博士德生物官网! 服务热线:027-67845390 |
您当前的位置: 首页 > 产品中心 > 一抗 > 多克隆抗体

Anti-DCLK3 Antibody

Rabbit polyclonal antibody

说明书 一键复制产品信息

A15882-1

  • 0.1mg ¥5388
  • 货期: 3-4周
  • Western blot analysis of DCLK3 in K562 cell lysate with DCLK3 antibody at (A) 1 and (B) 2 μg/mL.

    all(4)
  • Immunofluorescence of DLCK3 in human brain tissue with DLCK3 antibody at 20 μg/mL.

    all(4)
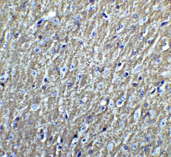
  • Immunohistochemistry of DCLK3 in mouse brain tissue with DCLK3 Antibody at 5 μg/mL.

    all(4)
  • Immunofluorescence of DCLK3 in mouse brain tissue with DCLK3 Antibody at 20 μg/mL.

    Green: DCLK3 antibody (A15882-1)
    Red: Phylloidin staining
    Blue: DAPI staining

    all(4)

产品简介 实验方案 引用文献 相关产品

产品简介>

产品名称
Anti-DCLK3 Antibody
规格/价格
0.1mg/5388
指标别称
CLR; DCK3; DCDC3C; DCAMKL3; KIAA1765; Doublecortin domain-containing protein 3C
产品类型
Polyclonal
检验物种
human, mouse
应用范围
ELISA, WB, IHC, IF
基因名称
DCLK3
宿主
Rabbit
抗体亚型
IgG
免疫原
DCLK3 antibody was raised against a 14 amino acid synthetic peptide near the amino terminus of human DCLK3. The immunogen is located within the last 50 amino acids of DCLK3.
计算分子量
74 kDa
成分
DCLK3 Antibody is supplied in PBS containing 0.02% sodium azide.
纯化方式
DCLK3 Antibody is affinity chromatography purified via peptide column.
浓度
1 mg/mL
产品形态
Liquid
保存条件
DCLK3 antibody can be stored at 4°C for three months and -20°C, stable for up to one year. As with all antibodies care should be taken to avoid repeated freeze thaw cycles. Antibodies should not be exposed to prolonged high temperatures.
背景资料
DCLK3 is one of three doublecortin-like kinases similar to the Ca2+/calmodulin-dependent protein kinase (CaMK) family. DCLK3 mRNA, like that of the homologous DCLK1 and DCLK3, is highly expressed in adult brain, but only DCLK3 transcripts are present in liver and kidney, suggesting that DCLK3 may play other roles than in cortical development. The DCLK proteins are homologous to Doublecortin (DCX), a protein that is mutated in X-linked human lissencephaly. In mouse models where the DCX gene has been disrupted, DCLK1 expression increases slightly and appears to compensate for the loss of DCX, as mice mutant for both DCX and DCLK1 show a severe phenotype including perinatal lethality, disorganized neocortical layering, and profound hippocampal cytoarchitectural disorganization.
Uniprot ID
Q9C098  
文献引用格式
DCLK3 Antibody (Boster Biological Technology, Wuhan, China. Catalog#A15882-1)
应用释义
WB-蛋白质免疫印迹法; IHC- 免疫组织化学法; ICC/IF-免疫细胞荧光; ICC-免疫细胞化学; IHC-F- 冰冻切片免疫组化; FCM-流式细胞术; ELISA-酶联免疫吸附测定; IP-免疫沉淀法; IF-免疫组织荧光法; ChIP-染色质免疫沉淀法;
基因名全称
Doublecortin-like kinase 3
蛋白名全称
Doublecortin-like kinase 3
推荐稀释比
DCLK3 antibody can be used for detection of DCLK3 by Western blot at 1 - 2 µg/mL. Antibody can also be used for immunohistochemistry starting at 5 µg/mL. For immunofluorescence start at 20 µg/mL. Antibody validated: Western Blot in human samples; Immunohistochemistry in mouse samples and Immunofluorescence in human and mouse samples. All other applications and species not yet tested.

实验方案>

实验步骤

引用文献(0)>

    相关产品>

    成功添加到购物车

    查看购物车 继续购物

    Anti-DCLK3 Antibody

    亮暗模式切换
    X
    亮暗模式切换
    X

    在线
    客服

    在线客服
    服务时间:08:30 - 17:30

    点击下列客服在线咨询:

    服务热线

    服务
    热线

    客服服务热线

    027-67845390
    客服服务热线

    扫码

    扫码
    咨询

    微信二维码 微信扫一扫立即咨询
    返回顶部 顶部