| Immunohistochemistry in paraffin section IHC-(P): | 1:50-400 | 
| (Boiling the paraffin sections in 10mM citrate buffer,pH6.0,or PH8.0 EDTA repair liquid for 20 mins is required for the staining of formalin/paraffin sections.) Optimal working dilutions must be determined by end user. | |

IHC analysis of PPAR Gamma/PPARG using anti-PPAR Gamma/PPARG antibody (BA1693-1). 
 PPAR Gamma/PPARG was detected in a paraffin-embedded section of human breast cancer tissue. Biotinylated goat anti-rabbit IgG was used as secondary antibody. The tissue section was incubated with rabbit anti-PPAR Gamma/PPARG Antibody (BA1693-1) at a dilution of 1:200 and developed using Strepavidin-Biotin-Complex (SABC) (Catalog # SA1022) with DAB (Catalog # AR1027) as the chromogen.

IHC analysis of PPAR Gamma/PPARG using anti-PPAR Gamma/PPARG antibody (BA1693-1). 
 PPAR Gamma/PPARG was detected in a paraffin-embedded section of mouse intestine tissue. Biotinylated goat anti-rabbit IgG was used as secondary antibody. The tissue section was incubated with rabbit anti-PPAR Gamma/PPARG Antibody (BA1693-1) at a dilution of 1:200 and developed using Strepavidin-Biotin-Complex (SABC) (Catalog # SA1022) with DAB (Catalog # AR1027) as the chromogen.

IHC analysis of PPAR Gamma/PPARG using anti-PPAR Gamma/PPARG antibody (BA1693-1). 
 PPAR Gamma/PPARG was detected in a paraffin-embedded section of human breast cancer tissue. Biotinylated goat anti-rabbit IgG was used as secondary antibody. The tissue section was incubated with rabbit anti-PPAR Gamma/PPARG Antibody (BA1693-1) at a dilution of 1:200 and developed using Strepavidin-Biotin-Complex (SABC) (Catalog # SA1022) with DAB (Catalog # AR1027) as the chromogen.

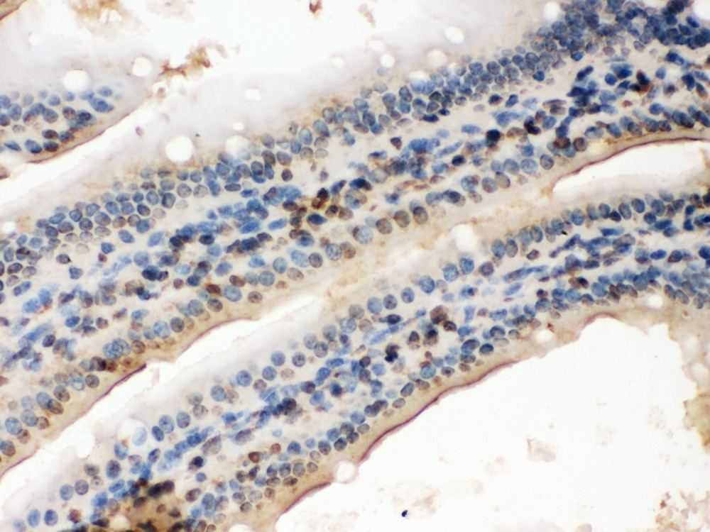
IHC analysis of PPAR Gamma/PPARG using anti-PPAR Gamma/PPARG antibody (BA1693-1). 
 PPAR Gamma/PPARG was detected in a paraffin-embedded section of mouse intestine tissue. Biotinylated goat anti-rabbit IgG was used as secondary antibody. The tissue section was incubated with rabbit anti-PPAR Gamma/PPARG Antibody (BA1693-1) at a dilution of 1:200 and developed using Strepavidin-Biotin-Complex (SABC) (Catalog # SA1022) with DAB (Catalog # AR1027) as the chromogen.

