| Western blot (WB): | 1:1000-10000 | 
| Immunohistochemistry (IHC): | 1:100-500 | 
| Immunofluorescence (IF): | 1:50-400 | 
| (Boiling the paraffin sections in 10mM citrate buffer,pH6.0,or PH8.0 EDTA repair liquid for 20 mins is required for the staining of formalin/paraffin sections.) Optimal working dilutions must be determined by end user. | |

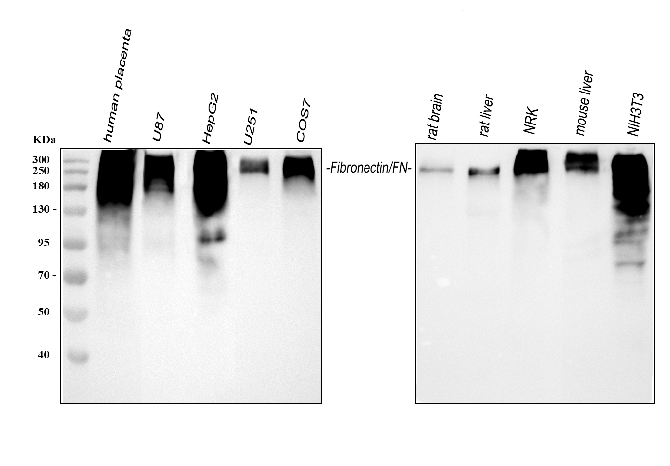
Western blot analysis of anti-Fibronectin(FN1) antibody (BA1772). The sample well of each lane was loaded with 30 ug of sample under reducing conditions.
Lane 1: human placenta tissue lysates,
Lane 2: human U87 whole cell lysates,
Lane 3: human HepG2 whole cell lysates,
Lane 4: human U251 whole cell lysates,
Lane 5: monkey COS-7 whole cell lysates,
Lane 6: rat brain tissue lysates,
Lane 7: rat liver tissue lysates,
Lane 8: rat NRK whole cell lysates,
Lane 9: mouse brain tissue lysates,
Lane 10: mouse NIH/3T3 whole cell lysates.
After electrophoresis, proteins were transferred to a membrane. Then the membrane was incubated with rabbit anti-Fibronectin(FN1) antigen affinity purified polyclonal antibody (BA1772) and probed with a goat anti-rabbit IgG-HRP secondary antibody (Catalog # BA1054). The signal is developed using ECL Plus Western Blotting Substrate (Catalog # AR1197). A specific band was detected for Fibronectin(FN1) at approximately 273 kDa. The expected band size for Fibronectin(FN1) is at 273 kDa.

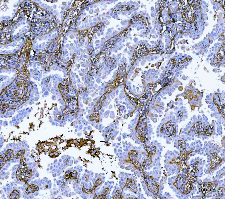
IHC analysis of Fibronectin(FN1) using anti-Fibronectin(FN1) antibody (BA1772). Fibronectin(FN1) was detected in a paraffin-embedded section of human lung cancer tissue. Biotinylated goat anti-rabbit IgG was used as secondary antibody. The tissue section was developed using Strepavidin-Biotin-Complex (SABC) (Catalog # SA1022) with DAB (Catalog # AR1027) as the chromogen.

IHC analysis of Fibronectin(FN1) using anti-Fibronectin(FN1) antibody (BA1772). Fibronectin(FN1) was detected in a paraffin-embedded section of human rectal cancer tissue. Biotinylated goat anti-rabbit IgG was used as secondary antibody. The tissue section was developed using Strepavidin-Biotin-Complex (SABC) (Catalog # SA1022) with DAB (Catalog # AR1027) as the chromogen.

IHC analysis of Fibronectin(FN1) using anti-Fibronectin(FN1) antibody (BA1772). Fibronectin(FN1) was detected in a paraffin-embedded section of rat liver tissue. Biotinylated goat anti-rabbit IgG was used as secondary antibody. The tissue section was developed using Strepavidin-Biotin-Complex (SABC) (Catalog # SA1022) with DAB (Catalog # AR1027) as the chromogen.

IF analysis of Fibronectin(FN1) using anti-Fibronectin(FN1) antibody (BA1772). Fibronectin(FN1) was detected in a paraffin-embedded section of human intestinal cancer tissue. Dylight550-conjugated Anti-rabbit IgG Secondary Antibody (red)(Catalog#BA1135) was used as secondary antibody. The section was counterstained with DAPI (Catalog # AR1176) (Blue).

IF analysis of Fibronectin(FN1) using anti-Fibronectin(FN1) antibody (BA1772). Fibronectin(FN1) was detected in a paraffin-embedded section of human lung cancer tissue. Dylight550-conjugated Anti-rabbit IgG Secondary Antibody (red)(Catalog#BA1135) was used as secondary antibody. The section was counterstained with DAPI (Catalog # AR1176) (Blue).

IF analysis of Fibronectin(FN1) using anti-Fibronectin(FN1) antibody (BA1772). Fibronectin(FN1) was detected in a paraffin-embedded section of human esophageal squamous carcinoma tissue. Dylight550-conjugated Anti-rabbit IgG Secondary Antibody (red)(Catalog#BA1135) was used as secondary antibody. The section was counterstained with DAPI (Catalog # AR1176) (Blue).

IF analysis of Fibronectin(FN1) using anti-Fibronectin(FN1) antibody (BA1772). Fibronectin(FN1) was detected in a paraffin-embedded section of rat liver tissue. Dylight550-conjugated Anti-rabbit IgG Secondary Antibody (red)(Catalog#BA1135) was used as secondary antibody. The section was counterstained with DAPI (Catalog # AR1176) (Blue).

Western blot analysis of anti-Fibronectin(FN1) antibody (BA1772). The sample well of each lane was loaded with 30 ug of sample under reducing conditions.
Lane 1: human placenta tissue lysates,
Lane 2: human U87 whole cell lysates,
Lane 3: human HepG2 whole cell lysates,
Lane 4: human U251 whole cell lysates,
Lane 5: monkey COS-7 whole cell lysates,
Lane 6: rat brain tissue lysates,
Lane 7: rat liver tissue lysates,
Lane 8: rat NRK whole cell lysates,
Lane 9: mouse brain tissue lysates,
Lane 10: mouse NIH/3T3 whole cell lysates.
After electrophoresis, proteins were transferred to a membrane. Then the membrane was incubated with rabbit anti-Fibronectin(FN1) antigen affinity purified polyclonal antibody (BA1772) and probed with a goat anti-rabbit IgG-HRP secondary antibody (Catalog # BA1054). The signal is developed using ECL Plus Western Blotting Substrate (Catalog # AR1197). A specific band was detected for Fibronectin(FN1) at approximately 273 kDa. The expected band size for Fibronectin(FN1) is at 273 kDa.

IHC analysis of Fibronectin(FN1) using anti-Fibronectin(FN1) antibody (BA1772). Fibronectin(FN1) was detected in a paraffin-embedded section of human lung cancer tissue. Biotinylated goat anti-rabbit IgG was used as secondary antibody. The tissue section was developed using Strepavidin-Biotin-Complex (SABC) (Catalog # SA1022) with DAB (Catalog # AR1027) as the chromogen.

IHC analysis of Fibronectin(FN1) using anti-Fibronectin(FN1) antibody (BA1772). Fibronectin(FN1) was detected in a paraffin-embedded section of human rectal cancer tissue. Biotinylated goat anti-rabbit IgG was used as secondary antibody. The tissue section was developed using Strepavidin-Biotin-Complex (SABC) (Catalog # SA1022) with DAB (Catalog # AR1027) as the chromogen.

IHC analysis of Fibronectin(FN1) using anti-Fibronectin(FN1) antibody (BA1772). Fibronectin(FN1) was detected in a paraffin-embedded section of rat liver tissue. Biotinylated goat anti-rabbit IgG was used as secondary antibody. The tissue section was developed using Strepavidin-Biotin-Complex (SABC) (Catalog # SA1022) with DAB (Catalog # AR1027) as the chromogen.

IF analysis of Fibronectin(FN1) using anti-Fibronectin(FN1) antibody (BA1772). Fibronectin(FN1) was detected in a paraffin-embedded section of human intestinal cancer tissue. Dylight550-conjugated Anti-rabbit IgG Secondary Antibody (red)(Catalog#BA1135) was used as secondary antibody. The section was counterstained with DAPI (Catalog # AR1176) (Blue).

IF analysis of Fibronectin(FN1) using anti-Fibronectin(FN1) antibody (BA1772). Fibronectin(FN1) was detected in a paraffin-embedded section of human lung cancer tissue. Dylight550-conjugated Anti-rabbit IgG Secondary Antibody (red)(Catalog#BA1135) was used as secondary antibody. The section was counterstained with DAPI (Catalog # AR1176) (Blue).

IF analysis of Fibronectin(FN1) using anti-Fibronectin(FN1) antibody (BA1772). Fibronectin(FN1) was detected in a paraffin-embedded section of human esophageal squamous carcinoma tissue. Dylight550-conjugated Anti-rabbit IgG Secondary Antibody (red)(Catalog#BA1135) was used as secondary antibody. The section was counterstained with DAPI (Catalog # AR1176) (Blue).

IF analysis of Fibronectin(FN1) using anti-Fibronectin(FN1) antibody (BA1772). Fibronectin(FN1) was detected in a paraffin-embedded section of rat liver tissue. Dylight550-conjugated Anti-rabbit IgG Secondary Antibody (red)(Catalog#BA1135) was used as secondary antibody. The section was counterstained with DAPI (Catalog # AR1176) (Blue).







