| Western blot (WB): | 1:500-2000 |
| Immunohistochemistry (IHC): | 1:50-200 |
| Immunocytochemistry/Immunofluorescence (ICC/IF): | 1:50-200 |
| ImmunoPrecipitation (IP): | 1:50 |
| Flow Cytometry (FCM): | 1:50 |

Western blot analysis of anti-Bcl-XL/BCL2L1 antibody (BM3956). The sample well of each lane was loaded with 30 ug of sample under reducing conditions.
Lane 1: human Hela whole cell lysates,
Lane 2: human K562 whole cell lysates,
Lane 3: human 293T whole cell lysates,
Lane 4: human SH-SY5Y whole cell lysates,
Lane 5: rat spleen tissue lysates,
Lane 6: rat C6 whole cell lysates,
Lane 7: mouse spleen tissue lysates,
Lane 8: mouse Neuro-2a whole cell lysates.
After electrophoresis, proteins were transferred to a membrane. Then the membrane was incubated with rabbit anti-Bcl-XL/BCL2L1 antigen affinity purified monoclonal antibody (BM3956) at a dilution of 1:1000 and probed with a goat anti-rabbit IgG-HRP secondary antibody (Catalog # BA1054). The signal is developed using ECL Plus Western Blotting Substrate (Catalog # AR1197). A specific band was detected for Bcl-XL/BCL2L1 at approximately 30 kDa. The expected band size for Bcl-XL/BCL2L1 is at 26 kDa.

Immunohistochemical analysis of paraffin-embedded Human pituitary tumor, using the Antibody.

Immunohistochemical analysis of paraffin-embedded Human liver cancer, using the Antibody.

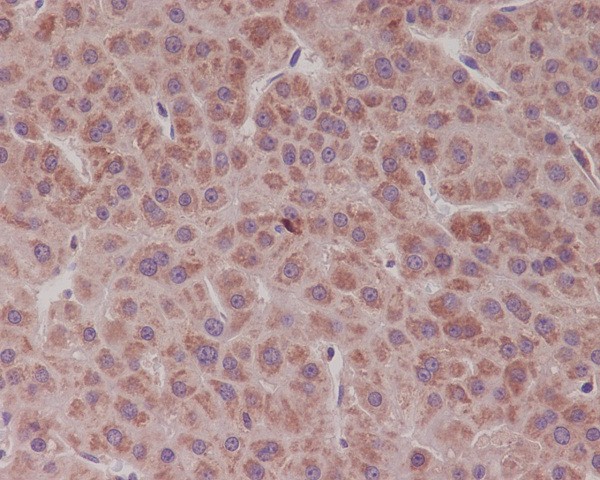
Immunohistochemical analysis of paraffin-embedded human liver cancer, using Bcl-XL Antibody.

Immunofluorescent analysis using the Antibody.

Immunofluorescent analysis of Hela cells, using Bcl-XL Antibody .

Western blot analysis of anti-Bcl-XL/BCL2L1 antibody (BM3956). The sample well of each lane was loaded with 30 ug of sample under reducing conditions.
Lane 1: human Hela whole cell lysates,
Lane 2: human K562 whole cell lysates,
Lane 3: human 293T whole cell lysates,
Lane 4: human SH-SY5Y whole cell lysates,
Lane 5: rat spleen tissue lysates,
Lane 6: rat C6 whole cell lysates,
Lane 7: mouse spleen tissue lysates,
Lane 8: mouse Neuro-2a whole cell lysates.
After electrophoresis, proteins were transferred to a membrane. Then the membrane was incubated with rabbit anti-Bcl-XL/BCL2L1 antigen affinity purified monoclonal antibody (BM3956) at a dilution of 1:1000 and probed with a goat anti-rabbit IgG-HRP secondary antibody (Catalog # BA1054). The signal is developed using ECL Plus Western Blotting Substrate (Catalog # AR1197). A specific band was detected for Bcl-XL/BCL2L1 at approximately 30 kDa. The expected band size for Bcl-XL/BCL2L1 is at 26 kDa.

Immunohistochemical analysis of paraffin-embedded Human pituitary tumor, using the Antibody.

Immunohistochemical analysis of paraffin-embedded Human liver cancer, using the Antibody.

Immunohistochemical analysis of paraffin-embedded human liver cancer, using Bcl-XL Antibody.

Immunofluorescent analysis using the Antibody.

Immunofluorescent analysis of Hela cells, using Bcl-XL Antibody .









