| Western blot (WB): | 1:500-2000 | 
| Immunohistochemistry (IHC): | 1:50-200 | 

Western blot analysis of anti-PTPN6 antibody (BM4236). The sample well of each lane was loaded with 30 ug of sample under reducing conditions. 
Lane 1: human Jurkat whole cell lysates,
Lane 2: human Raji whole cell lysates,
Lane 3: human Hela whole cell lysates,
Lane 4: human HepG2 whole cell lysates,
Lane 5: rat liver tissue lysates,
Lane 6: rat RH-35 whole cell lysates,
Lane 7: mouse liver tissue lysates,
Lane 8: mouse Hepa1-6 whole cell lysates.
After electrophoresis, proteins were transferred to a membrane. Then the membrane was incubated with rabbit anti-PTPN6 antigen affinity purified monoclonal antibody (BM4236) at a dilution of 1:1000 and probed with a goat anti-rabbit IgG-HRP secondary antibody (Catalog # BA1054). The signal is developed using ECL Plus Western Blotting Substrate (Catalog # AR1197). A specific band was detected for PTPN6 at approximately 68 kDa. The expected band size for PTPN6 is at 68 kDa.

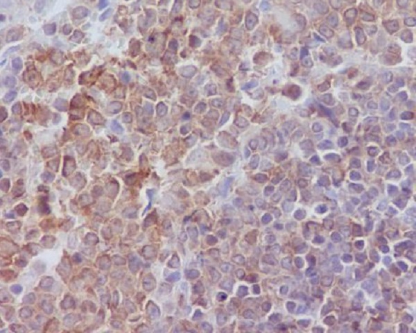
Immunohistochemical analysis of paraffin-embedded rat spleen, using SHP1 Antibody.

Western blot analysis of anti-PTPN6 antibody (BM4236). The sample well of each lane was loaded with 30 ug of sample under reducing conditions. 
Lane 1: human Jurkat whole cell lysates,
Lane 2: human Raji whole cell lysates,
Lane 3: human Hela whole cell lysates,
Lane 4: human HepG2 whole cell lysates,
Lane 5: rat liver tissue lysates,
Lane 6: rat RH-35 whole cell lysates,
Lane 7: mouse liver tissue lysates,
Lane 8: mouse Hepa1-6 whole cell lysates.
After electrophoresis, proteins were transferred to a membrane. Then the membrane was incubated with rabbit anti-PTPN6 antigen affinity purified monoclonal antibody (BM4236) at a dilution of 1:1000 and probed with a goat anti-rabbit IgG-HRP secondary antibody (Catalog # BA1054). The signal is developed using ECL Plus Western Blotting Substrate (Catalog # AR1197). A specific band was detected for PTPN6 at approximately 68 kDa. The expected band size for PTPN6 is at 68 kDa.

Immunohistochemical analysis of paraffin-embedded rat spleen, using SHP1 Antibody.

