| Western blot (WB): | 1:500-2000 |

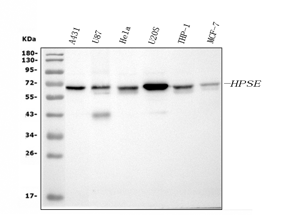
Western blot analysis of HPSE using anti-HPSE antibody (PB0405). The sample well of each lane was loaded with 30 ug of sample under reducing conditions.
Lane 1: A431 whole cell lysates,
Lane 2: U87 whole cell lysates,
Lane 3: HELA whole cell lysates,
Lane 4: U2OS whole cell lysates,
Lane 5: THP-1 whole cell lysates,
Lane 6: MCF-7 whole cell lysates.
After electrophoresis, proteins were transferred to a membrane. Then the membrane was incubated with rabbit anti-HPSE antigen affinity purified polyclonal antibody (PB0405) at a dilution of 1:1000 and probed with a goat anti-rabbit IgG-HRP secondary antibody (Catalog # BA1054). The signal is developed using ECL Plus Western Blotting Substrate (Catalog # AR1197). A specific band was detected for HPSE at approximately 65 kDa. The expected band size for HPSE is at 61 kDa.

Western blot analysis of HPSE using anti-HPSE antibody (PB0405). The sample well of each lane was loaded with 30 ug of sample under reducing conditions.
Lane 1: rat lung tissue lysates,
Lane 2: rat ovary tissue lysates,
Lane 3: rat testis tissue lysates,
Lane 4: mouse lung tissue lysates,
Lane 5: mouse testis tissue lysates.
After electrophoresis, proteins were transferred to a membrane. Then the membrane was incubated with rabbit anti-HPSE antigen affinity purified polyclonal antibody (PB0405) at a dilution of 1:1000 and probed with a goat anti-rabbit IgG-HRP secondary antibody (Catalog # BA1054). The signal is developed using ECL Plus Western Blotting Substrate (Catalog # AR1197). A specific band was detected for HPSE at approximately 65 kDa. The expected band size for HPSE is at 61 kDa.

Western blot analysis of HPSE using anti-HPSE antibody (PB0405). The sample well of each lane was loaded with 30 ug of sample under reducing conditions.
Lane 1: A431 whole cell lysates,
Lane 2: U87 whole cell lysates,
Lane 3: HELA whole cell lysates,
Lane 4: U2OS whole cell lysates,
Lane 5: THP-1 whole cell lysates,
Lane 6: MCF-7 whole cell lysates.
After electrophoresis, proteins were transferred to a membrane. Then the membrane was incubated with rabbit anti-HPSE antigen affinity purified polyclonal antibody (PB0405) at a dilution of 1:1000 and probed with a goat anti-rabbit IgG-HRP secondary antibody (Catalog # BA1054). The signal is developed using ECL Plus Western Blotting Substrate (Catalog # AR1197). A specific band was detected for HPSE at approximately 65 kDa. The expected band size for HPSE is at 61 kDa.

Western blot analysis of HPSE using anti-HPSE antibody (PB0405). The sample well of each lane was loaded with 30 ug of sample under reducing conditions.
Lane 1: rat lung tissue lysates,
Lane 2: rat ovary tissue lysates,
Lane 3: rat testis tissue lysates,
Lane 4: mouse lung tissue lysates,
Lane 5: mouse testis tissue lysates.
After electrophoresis, proteins were transferred to a membrane. Then the membrane was incubated with rabbit anti-HPSE antigen affinity purified polyclonal antibody (PB0405) at a dilution of 1:1000 and probed with a goat anti-rabbit IgG-HRP secondary antibody (Catalog # BA1054). The signal is developed using ECL Plus Western Blotting Substrate (Catalog # AR1197). A specific band was detected for HPSE at approximately 65 kDa. The expected band size for HPSE is at 61 kDa.

