| Western blot (WB): | 1:500-2000 |
| Immunohistochemistry (IHC): | 1:50-400 |
| (Boiling the paraffin sections in 10mM citrate buffer,pH6.0,or PH8.0 EDTA repair liquid for 20 mins is required for the staining of formalin/paraffin sections.) Optimal working dilutions must be determined by end user. | |

Western blot analysis of CTGF/CCN2 using anti-CTGF/CCN2 antibody (PB0570). The sample well of each lane was loaded with 30 ug of sample under reducing conditions.
Lane 1: Rat Liver tissue lysates,
Lane 2: Rat Thymus tissue lysates,
Lane 3: HELA whole cell lysates.
After electrophoresis, proteins were transferred to a membrane. Then the membrane was incubated with rabbit anti-CTGF/CCN2 antigen affinity purified polyclonal antibody (PB0570) at a dilution of 1:1000 and probed with a goat anti-rabbit IgG-HRP secondary antibody (Catalog # BA1054). The signal is developed using ECL Plus Western Blotting Substrate (Catalog # AR1197). A specific band was detected for CTGF/CCN2 at approximately 38 kDa. The expected band size for CTGF/CCN2 is at 38 kDa.

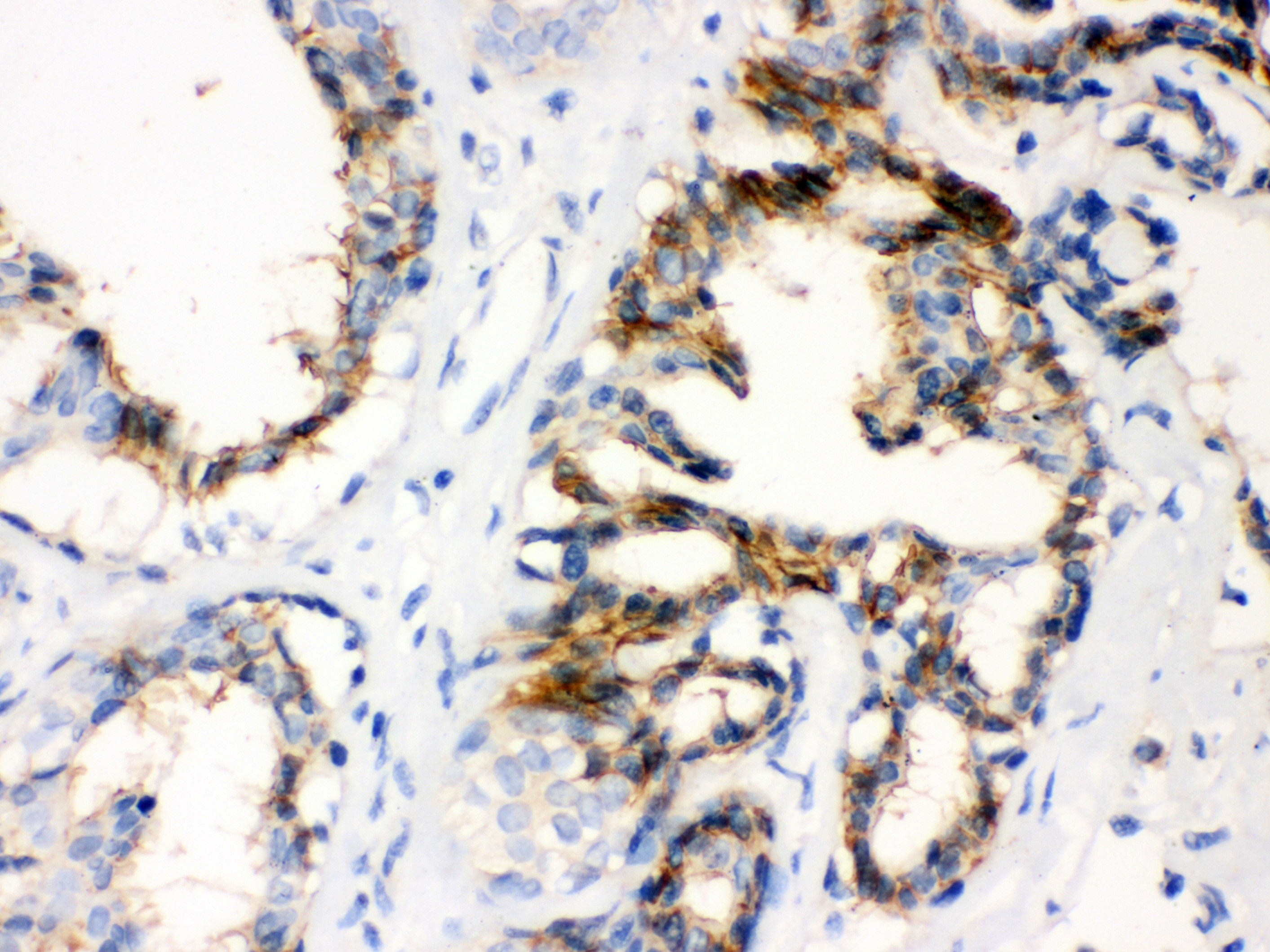
IHC analysis of CTGF/CCN2 using anti-CTGF/CCN2 antibody (PB0570).
CTGF/CCN2 was detected in a paraffin-embedded section of human mammary cancer tissue. Biotinylated goat anti-rabbit IgG was used as secondary antibody. The tissue section was incubated with rabbit anti-CTGF/CCN2 Antibody (PB0570) at a dilution of 1:200 and developed using Strepavidin-Biotin-Complex (SABC) (Catalog # SA1022) with DAB (Catalog # AR1027) as the chromogen.

Western blot analysis of CTGF/CCN2 using anti-CTGF/CCN2 antibody (PB0570). The sample well of each lane was loaded with 30 ug of sample under reducing conditions.
Lane 1: Rat Liver tissue lysates,
Lane 2: Rat Thymus tissue lysates,
Lane 3: HELA whole cell lysates.
After electrophoresis, proteins were transferred to a membrane. Then the membrane was incubated with rabbit anti-CTGF/CCN2 antigen affinity purified polyclonal antibody (PB0570) at a dilution of 1:1000 and probed with a goat anti-rabbit IgG-HRP secondary antibody (Catalog # BA1054). The signal is developed using ECL Plus Western Blotting Substrate (Catalog # AR1197). A specific band was detected for CTGF/CCN2 at approximately 38 kDa. The expected band size for CTGF/CCN2 is at 38 kDa.

IHC analysis of CTGF/CCN2 using anti-CTGF/CCN2 antibody (PB0570).
CTGF/CCN2 was detected in a paraffin-embedded section of human mammary cancer tissue. Biotinylated goat anti-rabbit IgG was used as secondary antibody. The tissue section was incubated with rabbit anti-CTGF/CCN2 Antibody (PB0570) at a dilution of 1:200 and developed using Strepavidin-Biotin-Complex (SABC) (Catalog # SA1022) with DAB (Catalog # AR1027) as the chromogen.

