| Western blot (WB): | 1:500-2000 |
| Immunohistochemistry (IHC): | 1:50-400 |
| Flow Cytometry (Fixed): | 1:50-200 |
| Enzyme linked immunosorbent assay (ELISA): | 1:100-1000 |
| (Boiling the paraffin sections in 10mM citrate buffer,pH6.0,or PH8.0 EDTA repair liquid for 20 mins is required for the staining of formalin/paraffin sections.) Optimal working dilutions must be determined by end user. | |

Western blot analysis of CYP19A1 using anti-CYP19A1 antibody (A00071). The sample well of each lane was loaded with 30 ug of sample under reducing conditions.
Lane 1: human placenta tissue lysates.
After electrophoresis, proteins were transferred to a membrane. Then the membrane was incubated with rabbit anti-CYP19A1 antigen affinity purified polyclonal antibody (A00071) at a dilution of 1:1000 and probed with a goat anti-rabbit IgG-HRP secondary antibody (Catalog # BA1054). The signal is developed using ECL Plus Western Blotting Substrate (Catalog # AR1197). A specific band was detected for CYP19A1 at approximately 58 kDa. The expected band size for CYP19A1 is at 58 kDa.

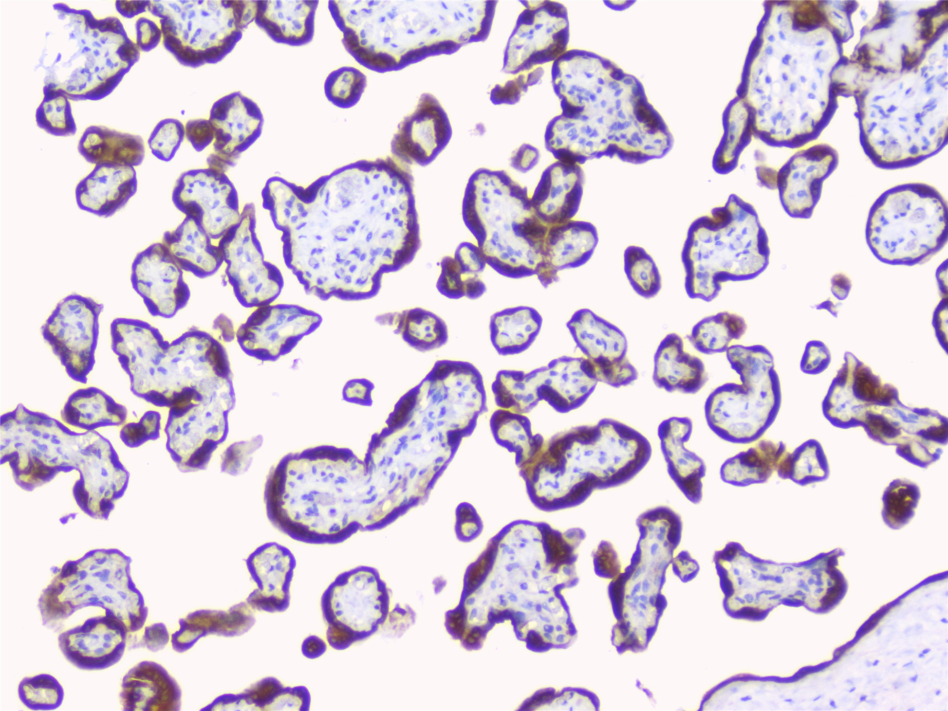
IHC analysis of CYP19A1 using anti-CYP19A1 antibody (A00071).
CYP19A1 was detected in a paraffin-embedded section of human placenta tissue. Biotinylated goat anti-rabbit IgG was used as secondary antibody. The tissue section was incubated with rabbit anti-CYP19A1 Antibody (A00071) at a dilution of 1:200 and developed using Strepavidin-Biotin-Complex (SABC) (Catalog # SA1022) with DAB (Catalog # AR1027) as the chromogen.

IHC analysis of CYP19A1 using anti-CYP19A1 antibody (A00071).
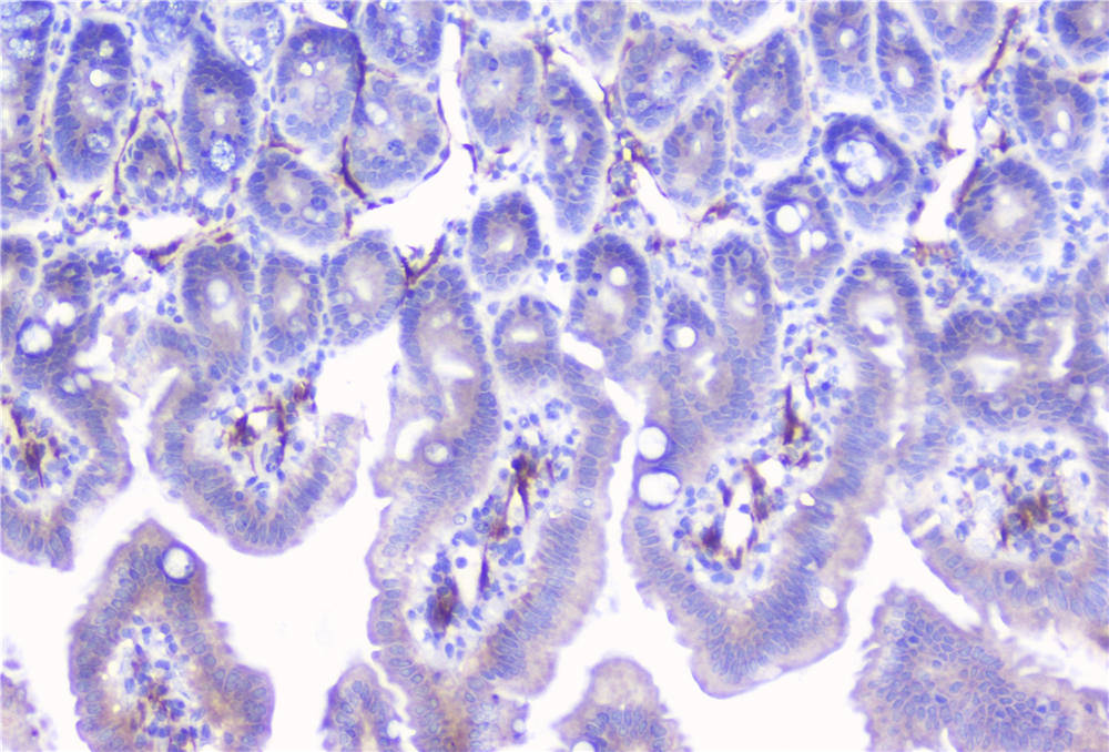
CYP19A1 was detected in a paraffin-embedded section of mouse small intestine tissue. Biotinylated goat anti-rabbit IgG was used as secondary antibody. The tissue section was incubated with rabbit anti-CYP19A1 Antibody (A00071) at a dilution of 1:200 and developed using Strepavidin-Biotin-Complex (SABC) (Catalog # SA1022) with DAB (Catalog # AR1027) as the chromogen.

IHC analysis of CYP19A1 using anti-CYP19A1 antibody (A00071).
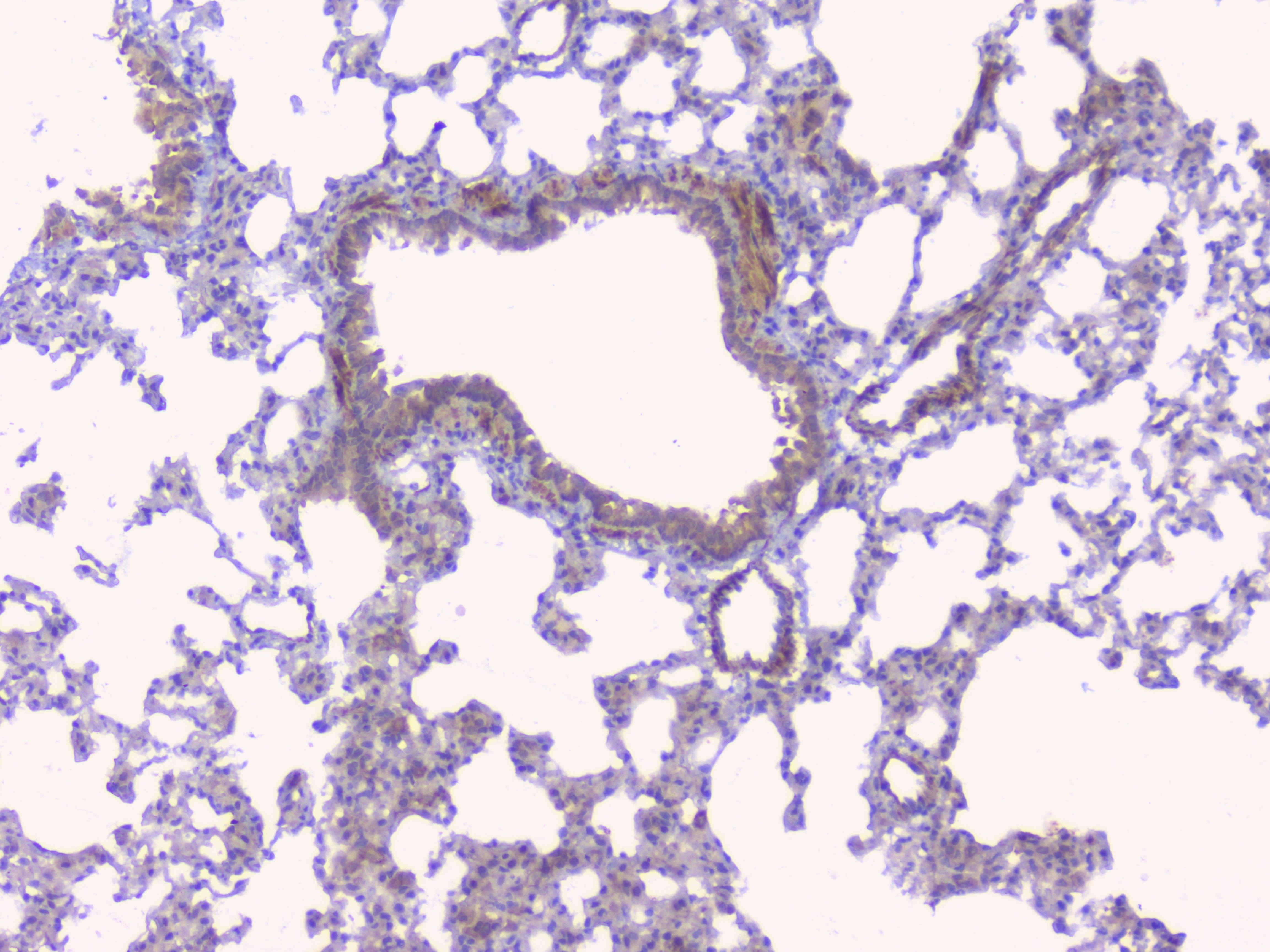
CYP19A1 was detected in a paraffin-embedded section of rat lung tissue. Biotinylated goat anti-rabbit IgG was used as secondary antibody. The tissue section was incubated with rabbit anti-CYP19A1 Antibody (A00071) at a dilution of 1:200 and developed using Strepavidin-Biotin-Complex (SABC) (Catalog # SA1022) with DAB (Catalog # AR1027) as the chromogen.

IHC analysis of CYP19A1 using anti-CYP19A1 antibody (A00071).
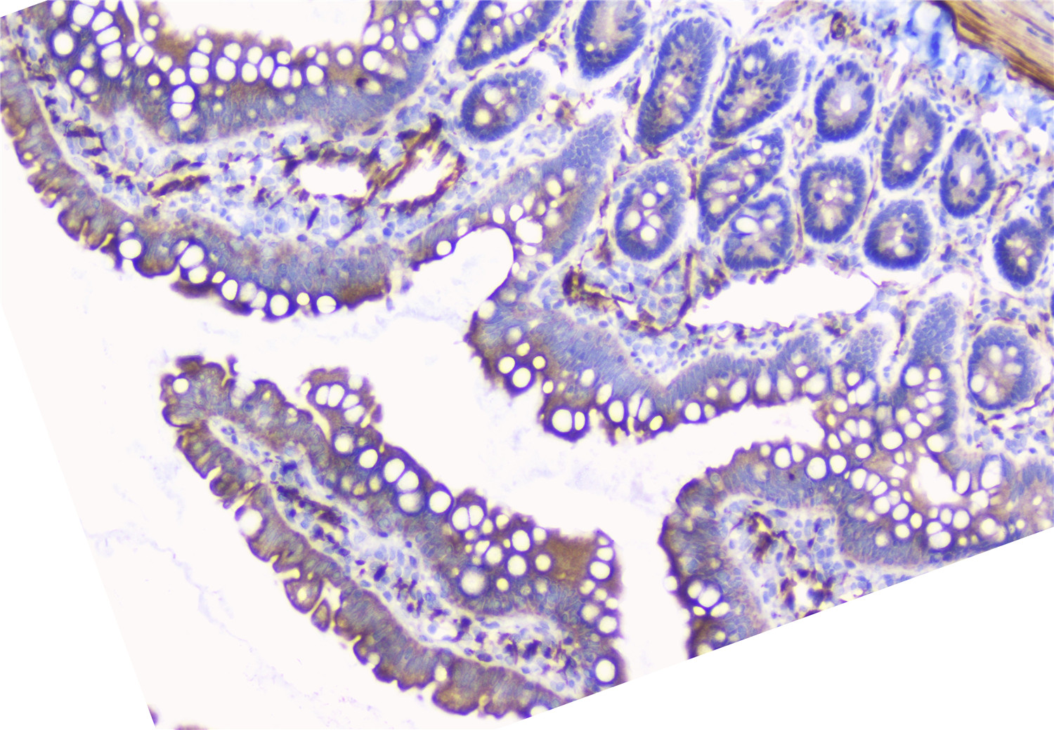
CYP19A1 was detected in a paraffin-embedded section of rat small intestine tissue. Biotinylated goat anti-rabbit IgG was used as secondary antibody. The tissue section was incubated with rabbit anti-CYP19A1 Antibody (A00071) at a dilution of 1:200 and developed using Strepavidin-Biotin-Complex (SABC) (Catalog # SA1022) with DAB (Catalog # AR1027) as the chromogen.

Flow Cytometry analysis of U2OS cells using anti- Aromatase antibody (A00071).
Overlay histogram showing U2OS cells stained with A00071 (Blue line).. DyLight488 conjugated goat anti-rabbit IgG (BA1127, 1:100) was used as secondary antibody Isotype control antibody (Green line) was rabbit IgG (1:100) used under the same conditions. Unlabelled sample (Red line) was also used as a control.

Western blot analysis of CYP19A1 using anti-CYP19A1 antibody (A00071). The sample well of each lane was loaded with 30 ug of sample under reducing conditions.
Lane 1: human placenta tissue lysates.
After electrophoresis, proteins were transferred to a membrane. Then the membrane was incubated with rabbit anti-CYP19A1 antigen affinity purified polyclonal antibody (A00071) at a dilution of 1:1000 and probed with a goat anti-rabbit IgG-HRP secondary antibody (Catalog # BA1054). The signal is developed using ECL Plus Western Blotting Substrate (Catalog # AR1197). A specific band was detected for CYP19A1 at approximately 58 kDa. The expected band size for CYP19A1 is at 58 kDa.

IHC analysis of CYP19A1 using anti-CYP19A1 antibody (A00071).
CYP19A1 was detected in a paraffin-embedded section of human placenta tissue. Biotinylated goat anti-rabbit IgG was used as secondary antibody. The tissue section was incubated with rabbit anti-CYP19A1 Antibody (A00071) at a dilution of 1:200 and developed using Strepavidin-Biotin-Complex (SABC) (Catalog # SA1022) with DAB (Catalog # AR1027) as the chromogen.

IHC analysis of CYP19A1 using anti-CYP19A1 antibody (A00071).
CYP19A1 was detected in a paraffin-embedded section of mouse small intestine tissue. Biotinylated goat anti-rabbit IgG was used as secondary antibody. The tissue section was incubated with rabbit anti-CYP19A1 Antibody (A00071) at a dilution of 1:200 and developed using Strepavidin-Biotin-Complex (SABC) (Catalog # SA1022) with DAB (Catalog # AR1027) as the chromogen.

IHC analysis of CYP19A1 using anti-CYP19A1 antibody (A00071).
CYP19A1 was detected in a paraffin-embedded section of rat lung tissue. Biotinylated goat anti-rabbit IgG was used as secondary antibody. The tissue section was incubated with rabbit anti-CYP19A1 Antibody (A00071) at a dilution of 1:200 and developed using Strepavidin-Biotin-Complex (SABC) (Catalog # SA1022) with DAB (Catalog # AR1027) as the chromogen.

IHC analysis of CYP19A1 using anti-CYP19A1 antibody (A00071).
CYP19A1 was detected in a paraffin-embedded section of rat small intestine tissue. Biotinylated goat anti-rabbit IgG was used as secondary antibody. The tissue section was incubated with rabbit anti-CYP19A1 Antibody (A00071) at a dilution of 1:200 and developed using Strepavidin-Biotin-Complex (SABC) (Catalog # SA1022) with DAB (Catalog # AR1027) as the chromogen.

Flow Cytometry analysis of U2OS cells using anti- Aromatase antibody (A00071).
Overlay histogram showing U2OS cells stained with A00071 (Blue line).. DyLight488 conjugated goat anti-rabbit IgG (BA1127, 1:100) was used as secondary antibody Isotype control antibody (Green line) was rabbit IgG (1:100) used under the same conditions. Unlabelled sample (Red line) was also used as a control.







