| Western blot (WB): | 1:500-2000 |
| ELISA: | 1:100-1000 |

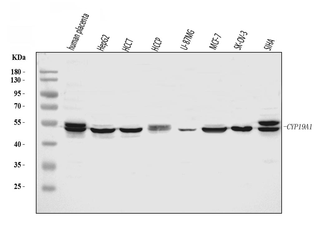
Western blot analysis of CYP19A1 using anti-CYP19A1 antibody (A00071-2). The sample well of each lane was loaded with 30 ug of sample under reducing conditions.
Lane 1: human placenta tissue lysates,
Lane 2: HepG2 whole cell lysates,
Lane 3: HCCT tissue lysates,
Lane 4: HCCP tissue lysates,
Lane 5: U-87MG whole cell lysates,
Lane 6: MCF-7 whole cell lysates,
Lane 7: SK-OV-3 whole cell lysates,
Lane 8: SIHA whole cell lysates.
After electrophoresis, proteins were transferred to a membrane. Then the membrane was incubated with rabbit anti-CYP19A1 antigen affinity purified polyclonal antibody (A00071-2) at a dilution of 1:1000 and probed with a goat anti-rabbit IgG-HRP secondary antibody (Catalog # BA1054). The signal is developed using ECL Plus Western Blotting Substrate (Catalog # AR1197). A specific band was detected for CYP19A1 at approximately 58 kDa. The expected band size for CYP19A1 is at 58 kDa.

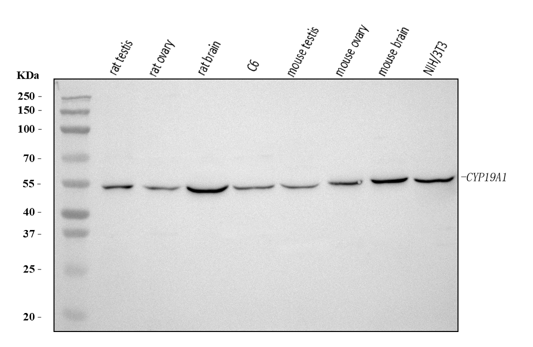
Western blot analysis of CYP19A1 using anti-CYP19A1 antibody (A00071-2). The sample well of each lane was loaded with 30 ug of sample under reducing conditions.
Lane 1: rat testis tissue lysates,
Lane 2: rat ovary tissue lysates,
Lane 3: rat brain tissue lysates,
Lane 4: C6 whole cell lysates,
Lane 5: mouse testis tissue lysates,
Lane 6: mouse ovary tissue lysates,
Lane 7: mouse brain tissue lysates,
Lane 8: NIH/3T3 whole cell lysates.
After electrophoresis, proteins were transferred to a membrane. Then the membrane was incubated with rabbit anti-CYP19A1 antigen affinity purified polyclonal antibody (A00071-2) at a dilution of 1:1000 and probed with a goat anti-rabbit IgG-HRP secondary antibody (Catalog # BA1054). The signal is developed using ECL Plus Western Blotting Substrate (Catalog # AR1197). A specific band was detected for CYP19A1 at approximately 58 kDa. The expected band size for CYP19A1 is at 58 kDa.

Western blot analysis of CYP19A1 using anti-CYP19A1 antibody (A00071-2). The sample well of each lane was loaded with 30 ug of sample under reducing conditions.
Lane 1: human placenta tissue lysates,
Lane 2: HepG2 whole cell lysates,
Lane 3: HCCT tissue lysates,
Lane 4: HCCP tissue lysates,
Lane 5: U-87MG whole cell lysates,
Lane 6: MCF-7 whole cell lysates,
Lane 7: SK-OV-3 whole cell lysates,
Lane 8: SIHA whole cell lysates.
After electrophoresis, proteins were transferred to a membrane. Then the membrane was incubated with rabbit anti-CYP19A1 antigen affinity purified polyclonal antibody (A00071-2) at a dilution of 1:1000 and probed with a goat anti-rabbit IgG-HRP secondary antibody (Catalog # BA1054). The signal is developed using ECL Plus Western Blotting Substrate (Catalog # AR1197). A specific band was detected for CYP19A1 at approximately 58 kDa. The expected band size for CYP19A1 is at 58 kDa.

Western blot analysis of CYP19A1 using anti-CYP19A1 antibody (A00071-2). The sample well of each lane was loaded with 30 ug of sample under reducing conditions.
Lane 1: rat testis tissue lysates,
Lane 2: rat ovary tissue lysates,
Lane 3: rat brain tissue lysates,
Lane 4: C6 whole cell lysates,
Lane 5: mouse testis tissue lysates,
Lane 6: mouse ovary tissue lysates,
Lane 7: mouse brain tissue lysates,
Lane 8: NIH/3T3 whole cell lysates.
After electrophoresis, proteins were transferred to a membrane. Then the membrane was incubated with rabbit anti-CYP19A1 antigen affinity purified polyclonal antibody (A00071-2) at a dilution of 1:1000 and probed with a goat anti-rabbit IgG-HRP secondary antibody (Catalog # BA1054). The signal is developed using ECL Plus Western Blotting Substrate (Catalog # AR1197). A specific band was detected for CYP19A1 at approximately 58 kDa. The expected band size for CYP19A1 is at 58 kDa.



