| Western blot (WB): | 1:500-2000 |
| Immunohistochemistry (IHC): | 1:50-400 |
| (Boiling the paraffin sections in 10mM citrate buffer,pH6.0,or PH8.0 EDTA repair liquid for 20 mins is required for the staining of formalin/paraffin sections.) Optimal working dilutions must be determined by end user. | |

Figure 1. Western blot analysis of anti- ATF4 antibody (A00371-1). The sample well of each lane was loaded with 30ug of sample under reducing conditions.
Lane 1: human SW620 whole cell lysates,
Lane 2: human Hela whole cell lysates.
Use rabbit anti- ATF4 1:1000, probed with a goat anti-rabbit IgG-HRP secondary antibody. The signal is developed using an Enhanced Chemiluminescent detection (ECL) kit (Catalog#EK1002). A specific band was detected for ATF4 at approximately 50KD. The expected band size for ATF4 is at 39KD.

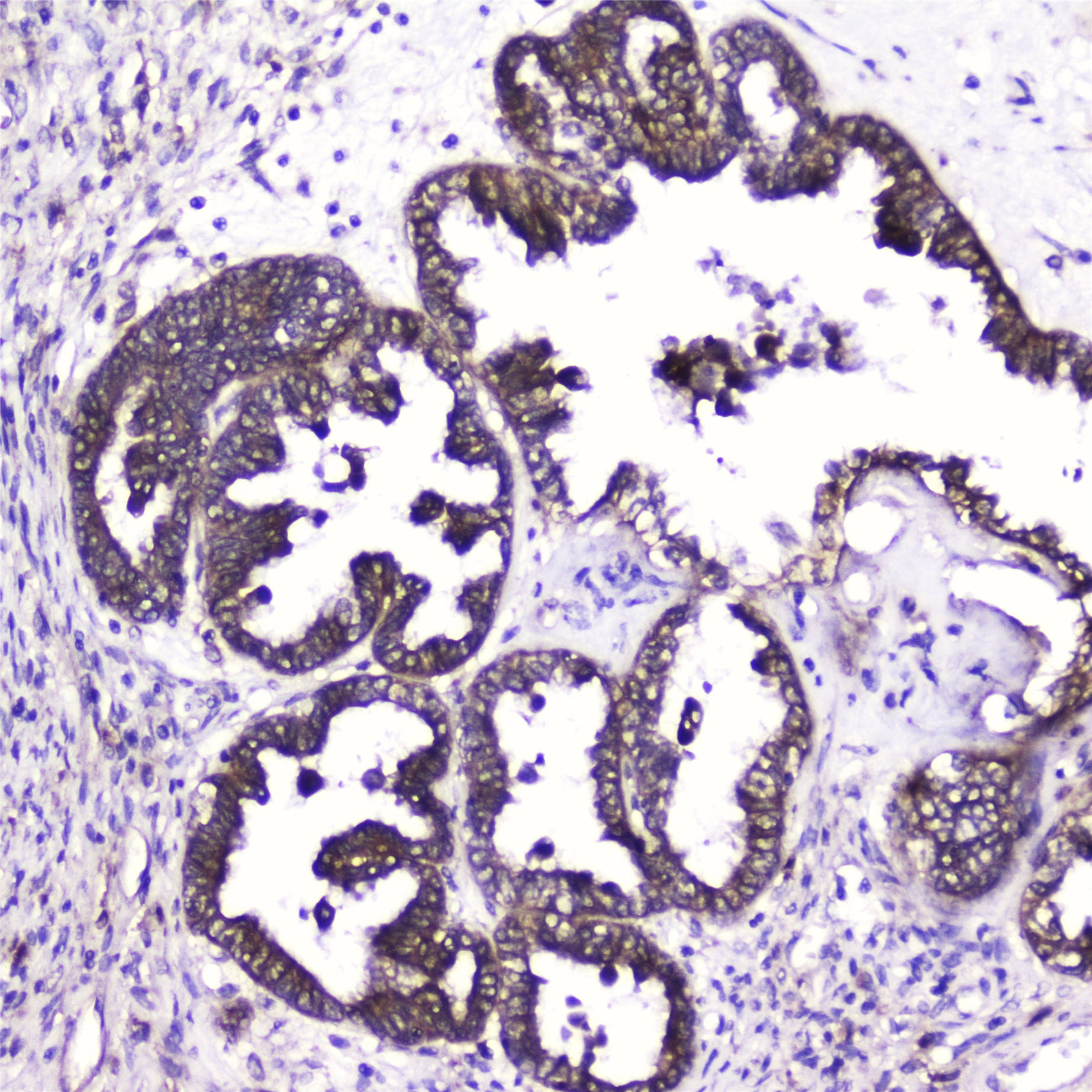
Figure 2. IHC analysis of ATF4 using anti-ATF4 antibody (A00371-1).ATF4 was detected in paraffin-embedded section of human ovary cancer tissue. Biotinylated goat anti-rabbit IgG was used as secondary antibody The tissue section was developed using Strepavidin-Biotin-Complex (SABC)(Catalog # SA1022) with DAB as the chromogen.

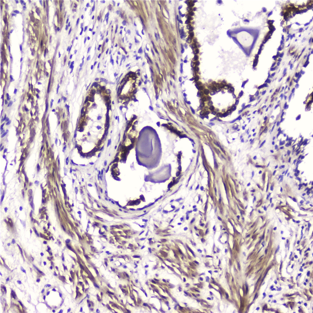
Figure 3. IHC analysis of ATF4 using anti-ATF4 antibody (A00371-1).ATF4 was detected in paraffin-embedded section of human prostatic cancer tissue. Biotinylated goat anti-rabbit IgG was used as secondary antibody The tissue section was developed using Strepavidin-Biotin-Complex (SABC)(Catalog # SA1022) with DAB as the chromogen.

Figure 1. Western blot analysis of anti- ATF4 antibody (A00371-1). The sample well of each lane was loaded with 30ug of sample under reducing conditions.
Lane 1: human SW620 whole cell lysates,
Lane 2: human Hela whole cell lysates.
Use rabbit anti- ATF4 1:1000, probed with a goat anti-rabbit IgG-HRP secondary antibody. The signal is developed using an Enhanced Chemiluminescent detection (ECL) kit (Catalog#EK1002). A specific band was detected for ATF4 at approximately 50KD. The expected band size for ATF4 is at 39KD.

Figure 2. IHC analysis of ATF4 using anti-ATF4 antibody (A00371-1).ATF4 was detected in paraffin-embedded section of human ovary cancer tissue. Biotinylated goat anti-rabbit IgG was used as secondary antibody The tissue section was developed using Strepavidin-Biotin-Complex (SABC)(Catalog # SA1022) with DAB as the chromogen.

Figure 3. IHC analysis of ATF4 using anti-ATF4 antibody (A00371-1).ATF4 was detected in paraffin-embedded section of human prostatic cancer tissue. Biotinylated goat anti-rabbit IgG was used as secondary antibody The tissue section was developed using Strepavidin-Biotin-Complex (SABC)(Catalog # SA1022) with DAB as the chromogen.


