| Western blot (WB): | 1:500-2000 | 
| Immunohistochemistry (IHC): | 1:50-400 | 
| Immunocytochemistry/Immunofluorescence (ICC/IF): | 1:50-400 | 
| Flow Cytometry (Fixed): | 1:50-200 | 
| (Boiling the paraffin sections in 10mM citrate buffer,pH6.0,or PH8.0 EDTA repair liquid for 20 mins is required for the staining of formalin/paraffin sections.) Optimal working dilutions must be determined by end user. | |

Western blot analysis of ZEB1 using anti-ZEB1 antibody (A00548-2). The sample well of each lane was loaded with 30 ug of sample under reducing conditions. 
Lane 1: human 293T whole cell lysates, 
Lane 2: human PC-3 whole cell lysates, 
Lane 3: human Hela whole cell lysates. 
After electrophoresis, proteins were transferred to a membrane. Then the membrane was incubated with rabbit anti-ZEB1 antigen affinity purified polyclonal antibody (A00548-2) at a dilution of 1:1000 and probed with a goat anti-rabbit IgG-HRP secondary antibody (Catalog # BA1054). The signal is developed using ECL Plus Western Blotting Substrate (Catalog # AR1197). A specific band was detected for ZEB1 at approximately 200 kDa. The expected band size for ZEB1 is at 124 kDa.

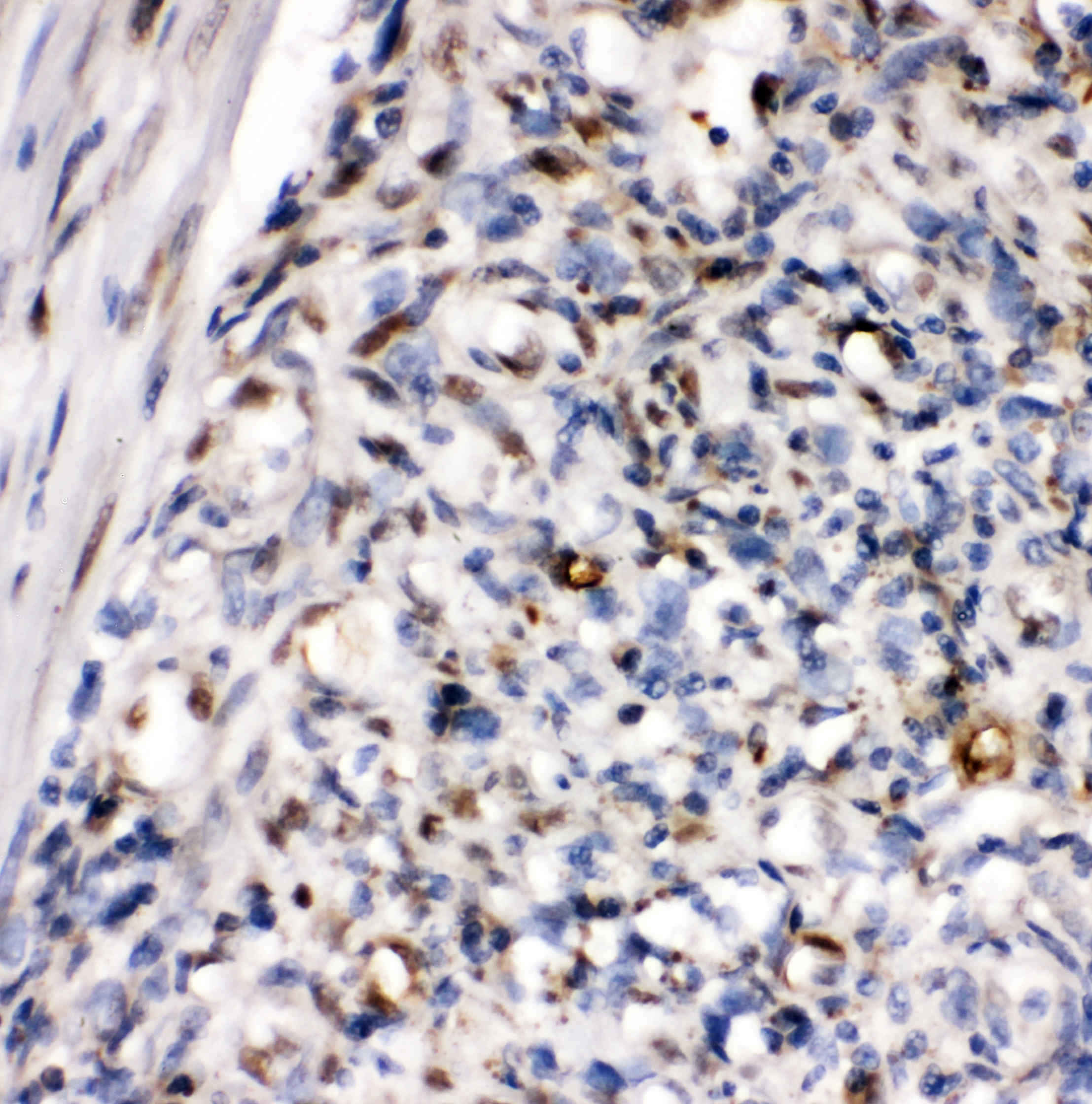
IHC analysis of ZEB1 using anti-ZEB1 antibody (A00548-2). 
 ZEB1 was detected in a paraffin-embedded section of human melanoma tissue. Biotinylated goat anti-rabbit IgG was used as secondary antibody. The tissue section was incubated with rabbit anti-ZEB1 Antibody (A00548-2) at a dilution of 1:200 and developed using Strepavidin-Biotin-Complex (SABC) (Catalog # SA1022) with DAB (Catalog # AR1027) as the chromogen.

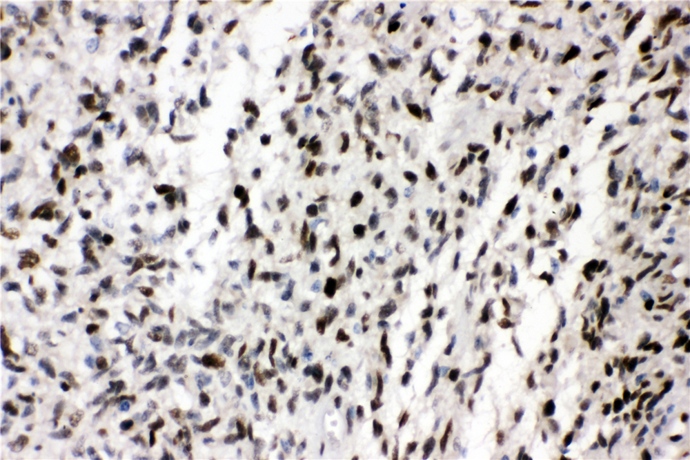
IHC analysis of ZEB1 using anti-ZEB1 antibody (A00548-2). 
 ZEB1 was detected in a paraffin-embedded section of human glioma tissue. Biotinylated goat anti-rabbit IgG was used as secondary antibody. The tissue section was incubated with rabbit anti-ZEB1 Antibody (A00548-2) at a dilution of 1:200 and developed using Strepavidin-Biotin-Complex (SABC) (Catalog # SA1022) with DAB (Catalog # AR1027) as the chromogen.

IF analysis of ZEB1 using anti-ZEB1 antibody (A00548-2).
 ZEB1 was detected in an immunocytochemical section of U2OS cells. The section was incubated with rabbit anti-ZEB1 Antibody (A00548-2) at a dilution of 1:100. DyLight®488 Conjugated Goat Anti-Rabbit IgG (Green) (Catalog # BA1127) was used as secondary antibody. The section was counterstained with DAPI (Catalog # AR1176) (Blue).

Flow cytometry analysis of U2OS cell(1:100) DyLight 488 conjugated goat anti-rabbit IgG(blue) was used as secondary antibody. Isotype control antibody (Green line) was rabbit IgG DyLight 488. Unlabelled sample (Red line).

Western blot analysis of ZEB1 using anti-ZEB1 antibody (A00548-2). The sample well of each lane was loaded with 30 ug of sample under reducing conditions. 
Lane 1: human 293T whole cell lysates, 
Lane 2: human PC-3 whole cell lysates, 
Lane 3: human Hela whole cell lysates. 
After electrophoresis, proteins were transferred to a membrane. Then the membrane was incubated with rabbit anti-ZEB1 antigen affinity purified polyclonal antibody (A00548-2) at a dilution of 1:1000 and probed with a goat anti-rabbit IgG-HRP secondary antibody (Catalog # BA1054). The signal is developed using ECL Plus Western Blotting Substrate (Catalog # AR1197). A specific band was detected for ZEB1 at approximately 200 kDa. The expected band size for ZEB1 is at 124 kDa.

IHC analysis of ZEB1 using anti-ZEB1 antibody (A00548-2). 
 ZEB1 was detected in a paraffin-embedded section of human melanoma tissue. Biotinylated goat anti-rabbit IgG was used as secondary antibody. The tissue section was incubated with rabbit anti-ZEB1 Antibody (A00548-2) at a dilution of 1:200 and developed using Strepavidin-Biotin-Complex (SABC) (Catalog # SA1022) with DAB (Catalog # AR1027) as the chromogen.

IHC analysis of ZEB1 using anti-ZEB1 antibody (A00548-2). 
 ZEB1 was detected in a paraffin-embedded section of human glioma tissue. Biotinylated goat anti-rabbit IgG was used as secondary antibody. The tissue section was incubated with rabbit anti-ZEB1 Antibody (A00548-2) at a dilution of 1:200 and developed using Strepavidin-Biotin-Complex (SABC) (Catalog # SA1022) with DAB (Catalog # AR1027) as the chromogen.

IF analysis of ZEB1 using anti-ZEB1 antibody (A00548-2).
 ZEB1 was detected in an immunocytochemical section of U2OS cells. The section was incubated with rabbit anti-ZEB1 Antibody (A00548-2) at a dilution of 1:100. DyLight®488 Conjugated Goat Anti-Rabbit IgG (Green) (Catalog # BA1127) was used as secondary antibody. The section was counterstained with DAPI (Catalog # AR1176) (Blue).

Flow cytometry analysis of U2OS cell(1:100) DyLight 488 conjugated goat anti-rabbit IgG(blue) was used as secondary antibody. Isotype control antibody (Green line) was rabbit IgG DyLight 488. Unlabelled sample (Red line).




