| Western blot (WB): | 1:500-2000 | 
| Immunohistochemistry (IHC): | 1:50-400 | 
| Immunofluorescence (IF): | 1:50-400 | 
| Immunocytochemistry/Immunofluorescence (ICC/IF): | 1:50-400 | 
| (Boiling the paraffin sections in 10mM citrate buffer,pH6.0,or PH8.0 EDTA repair liquid for 20 mins is required for the staining of formalin/paraffin sections.) Optimal working dilutions must be determined by end user. | |

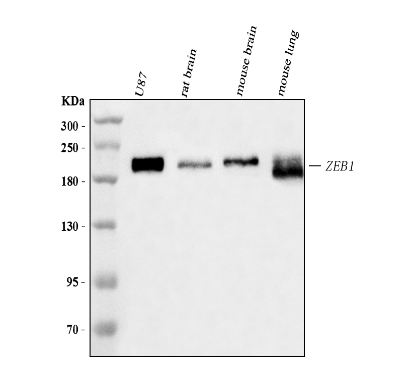
Western blot analysis of ZEB1 using anti-ZEB1 antibody (M00548-2). The sample well of each lane was loaded with 30 ug of sample under reducing conditions. 
Lane 1: U87 whole cell lysates,
Lane 2: rat brain tissue lysates,
Lane 3: mouse brain tissue lysates,
Lane 4: mouse lung tissue lysates.
After electrophoresis, proteins were transferred to a membrane. Then the membrane was incubated with mouse anti-ZEB1 antigen affinity purified monoclonal antibody (M00548-2) at a dilution of 1:1000 and probed with a goat anti-mouse IgG-HRP secondary antibody (Catalog # BA1050). The signal is developed using ECL Plus Western Blotting Substrate (Catalog # AR1197). A specific band was detected for ZEB1 at approximately 200 kDa. The expected band size for ZEB1 is at 124 kDa.

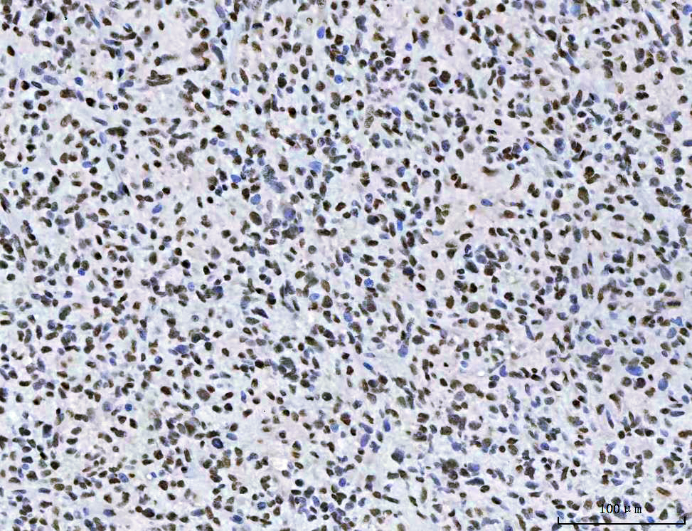
IHC analysis of ZEB1 using anti-ZEB1 antibody (M00548-2). 
 ZEB1 was detected in a paraffin-embedded section of human glioblastoma tissue. Biotinylated goat anti-mouse IgG was used as secondary antibody. The tissue section was incubated with mouse anti-ZEB1 Antibody (M00548-2) at a dilution of 1:200 and developed using Strepavidin-Biotin-Complex (SABC) (Catalog # SA1021) with DAB (Catalog # AR1027) as the chromogen.

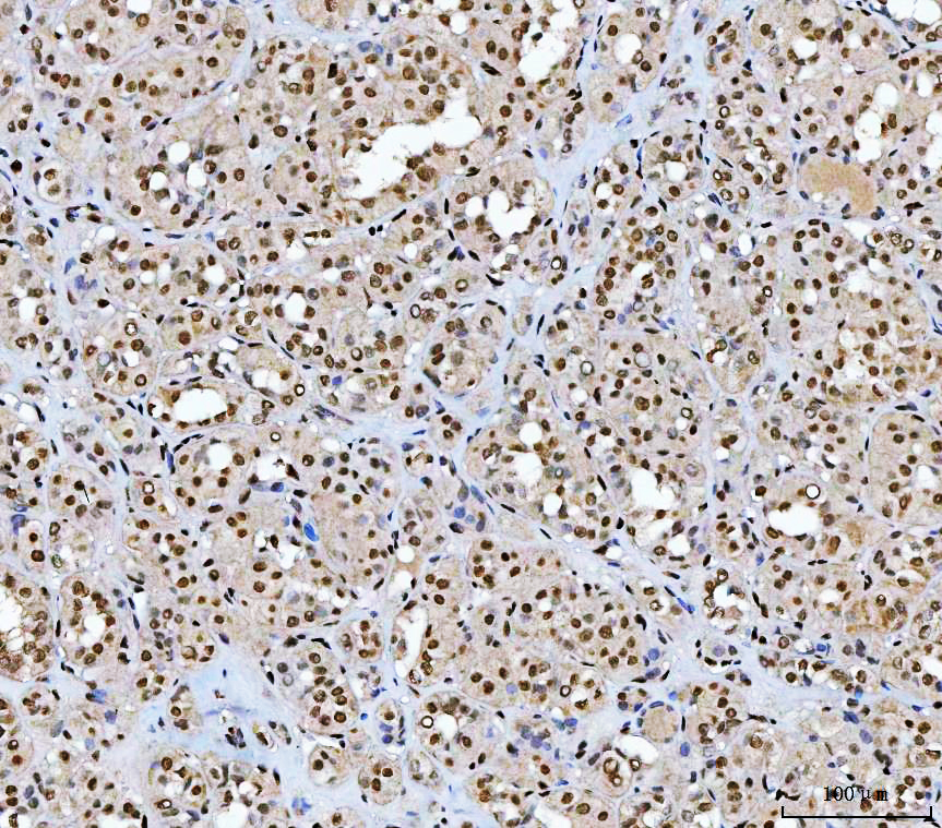
IHC analysis of ZEB1 using anti-ZEB1 antibody (M00548-2). 
 ZEB1 was detected in a paraffin-embedded section of human thyroid cancer tissue. Biotinylated goat anti-mouse IgG was used as secondary antibody. The tissue section was incubated with mouse anti-ZEB1 Antibody (M00548-2) at a dilution of 1:200 and developed using Strepavidin-Biotin-Complex (SABC) (Catalog # SA1021) with DAB (Catalog # AR1027) as the chromogen.

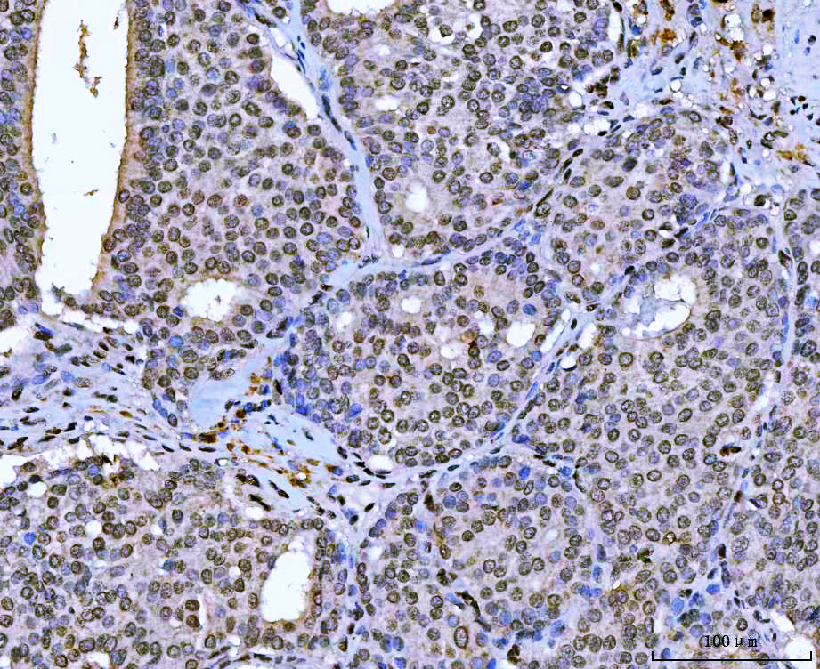
IHC analysis of ZEB1 using anti-ZEB1 antibody (M00548-2). 
 ZEB1 was detected in a paraffin-embedded section of human breast cancer tissue. Biotinylated goat anti-mouse IgG was used as secondary antibody. The tissue section was incubated with mouse anti-ZEB1 Antibody (M00548-2) at a dilution of 1:200 and developed using Strepavidin-Biotin-Complex (SABC) (Catalog # SA1021) with DAB (Catalog # AR1027) as the chromogen.

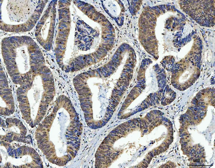
IHC analysis of ZEB1 using anti-ZEB1 antibody (M00548-2). 
 ZEB1 was detected in a paraffin-embedded section of human Colorectal adenocarcinoma tissue. Biotinylated goat anti-mouse IgG was used as secondary antibody. The tissue section was incubated with mouse anti-ZEB1 Antibody (M00548-2) at a dilution of 1:200 and developed using Strepavidin-Biotin-Complex (SABC) (Catalog # SA1021) with DAB (Catalog # AR1027) as the chromogen.

IHC analysis of ZEB1 using anti-ZEB1 antibody (M00548-2). 
 ZEB1 was detected in a paraffin-embedded section of human laryngeal squamous cell carcinoma tissue. Biotinylated goat anti-mouse IgG was used as secondary antibody. The tissue section was incubated with mouse anti-ZEB1 Antibody (M00548-2) at a dilution of 1:200 and developed using Strepavidin-Biotin-Complex (SABC) (Catalog # SA1021) with DAB (Catalog # AR1027) as the chromogen.

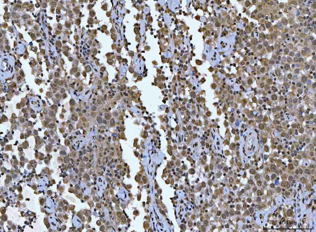
IHC analysis of ZEB1 using anti-ZEB1 antibody (M00548-2). 
 ZEB1 was detected in a paraffin-embedded section of human Lung adenocarcinoma tissue. Biotinylated goat anti-mouse IgG was used as secondary antibody. The tissue section was incubated with mouse anti-ZEB1 Antibody (M00548-2) at a dilution of 1:200 and developed using Strepavidin-Biotin-Complex (SABC) (Catalog # SA1021) with DAB (Catalog # AR1027) as the chromogen.

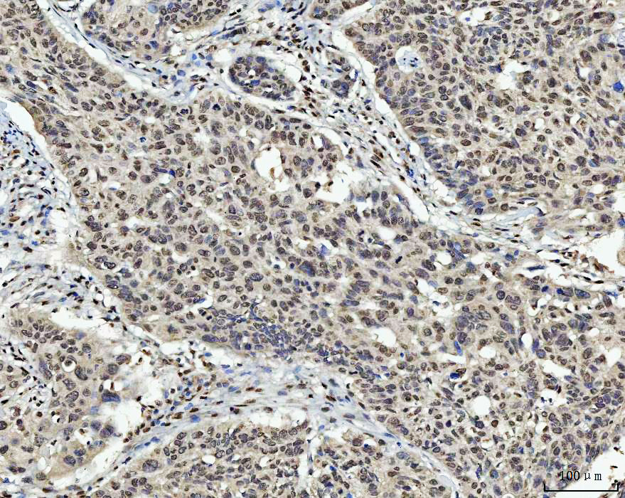
IHC analysis of ZEB1 using anti-ZEB1 antibody (M00548-2). 
 ZEB1 was detected in a paraffin-embedded section of human testicular germ cell tumors tissue. Biotinylated goat anti-mouse IgG was used as secondary antibody. The tissue section was incubated with mouse anti-ZEB1 Antibody (M00548-2) at a dilution of 1:200 and developed using Strepavidin-Biotin-Complex (SABC) (Catalog # SA1021) with DAB (Catalog # AR1027) as the chromogen.

IHC analysis of ZEB1 using anti-ZEB1 antibody (M00548-2). 
 ZEB1 was detected in a paraffin-embedded section of mouse brain tissue. Biotinylated goat anti-mouse IgG was used as secondary antibody. The tissue section was incubated with mouse anti-ZEB1 Antibody (M00548-2) at a dilution of 1:200 and developed using Strepavidin-Biotin-Complex (SABC) (Catalog # SA1021) with DAB (Catalog # AR1027) as the chromogen.

IHC analysis of ZEB1 using anti-ZEB1 antibody (M00548-2). 
 ZEB1 was detected in a paraffin-embedded section of rat brain tissue. Biotinylated goat anti-mouse IgG was used as secondary antibody. The tissue section was incubated with mouse anti-ZEB1 Antibody (M00548-2) at a dilution of 1:200 and developed using Strepavidin-Biotin-Complex (SABC) (Catalog # SA1021) with DAB (Catalog # AR1027) as the chromogen.

IF analysis using anti- ZEB1 antibody (M00548-2). detected in paraffin-embedded section of human Glioma tissues. The tissue section were stained using the Dylight550-conjugated Anti- mouse IgG Secondary Antibody (red)(Catalog # BA1133).

IF analysis of ZEB1 using anti-ZEB1 antibody (M00548-2).
 ZEB1 was detected in an immunocytochemical section of U87 cells. The section was incubated with mouse anti-ZEB1 Antibody (M00548-2) at a dilution of 1:100. Dylight550-conjugated Anti-mouse IgG Secondary Antibody (red)(Catalog#BA1134) was used as secondary antibody.

Western blot analysis of ZEB1 using anti-ZEB1 antibody (M00548-2). The sample well of each lane was loaded with 30 ug of sample under reducing conditions. 
Lane 1: U87 whole cell lysates,
Lane 2: rat brain tissue lysates,
Lane 3: mouse brain tissue lysates,
Lane 4: mouse lung tissue lysates.
After electrophoresis, proteins were transferred to a membrane. Then the membrane was incubated with mouse anti-ZEB1 antigen affinity purified monoclonal antibody (M00548-2) at a dilution of 1:1000 and probed with a goat anti-mouse IgG-HRP secondary antibody (Catalog # BA1050). The signal is developed using ECL Plus Western Blotting Substrate (Catalog # AR1197). A specific band was detected for ZEB1 at approximately 200 kDa. The expected band size for ZEB1 is at 124 kDa.

IHC analysis of ZEB1 using anti-ZEB1 antibody (M00548-2). 
 ZEB1 was detected in a paraffin-embedded section of human glioblastoma tissue. Biotinylated goat anti-mouse IgG was used as secondary antibody. The tissue section was incubated with mouse anti-ZEB1 Antibody (M00548-2) at a dilution of 1:200 and developed using Strepavidin-Biotin-Complex (SABC) (Catalog # SA1021) with DAB (Catalog # AR1027) as the chromogen.

IHC analysis of ZEB1 using anti-ZEB1 antibody (M00548-2). 
 ZEB1 was detected in a paraffin-embedded section of human thyroid cancer tissue. Biotinylated goat anti-mouse IgG was used as secondary antibody. The tissue section was incubated with mouse anti-ZEB1 Antibody (M00548-2) at a dilution of 1:200 and developed using Strepavidin-Biotin-Complex (SABC) (Catalog # SA1021) with DAB (Catalog # AR1027) as the chromogen.

IHC analysis of ZEB1 using anti-ZEB1 antibody (M00548-2). 
 ZEB1 was detected in a paraffin-embedded section of human breast cancer tissue. Biotinylated goat anti-mouse IgG was used as secondary antibody. The tissue section was incubated with mouse anti-ZEB1 Antibody (M00548-2) at a dilution of 1:200 and developed using Strepavidin-Biotin-Complex (SABC) (Catalog # SA1021) with DAB (Catalog # AR1027) as the chromogen.

IHC analysis of ZEB1 using anti-ZEB1 antibody (M00548-2). 
 ZEB1 was detected in a paraffin-embedded section of human Colorectal adenocarcinoma tissue. Biotinylated goat anti-mouse IgG was used as secondary antibody. The tissue section was incubated with mouse anti-ZEB1 Antibody (M00548-2) at a dilution of 1:200 and developed using Strepavidin-Biotin-Complex (SABC) (Catalog # SA1021) with DAB (Catalog # AR1027) as the chromogen.

IHC analysis of ZEB1 using anti-ZEB1 antibody (M00548-2). 
 ZEB1 was detected in a paraffin-embedded section of human laryngeal squamous cell carcinoma tissue. Biotinylated goat anti-mouse IgG was used as secondary antibody. The tissue section was incubated with mouse anti-ZEB1 Antibody (M00548-2) at a dilution of 1:200 and developed using Strepavidin-Biotin-Complex (SABC) (Catalog # SA1021) with DAB (Catalog # AR1027) as the chromogen.

IHC analysis of ZEB1 using anti-ZEB1 antibody (M00548-2). 
 ZEB1 was detected in a paraffin-embedded section of human Lung adenocarcinoma tissue. Biotinylated goat anti-mouse IgG was used as secondary antibody. The tissue section was incubated with mouse anti-ZEB1 Antibody (M00548-2) at a dilution of 1:200 and developed using Strepavidin-Biotin-Complex (SABC) (Catalog # SA1021) with DAB (Catalog # AR1027) as the chromogen.

IHC analysis of ZEB1 using anti-ZEB1 antibody (M00548-2). 
 ZEB1 was detected in a paraffin-embedded section of human testicular germ cell tumors tissue. Biotinylated goat anti-mouse IgG was used as secondary antibody. The tissue section was incubated with mouse anti-ZEB1 Antibody (M00548-2) at a dilution of 1:200 and developed using Strepavidin-Biotin-Complex (SABC) (Catalog # SA1021) with DAB (Catalog # AR1027) as the chromogen.

IHC analysis of ZEB1 using anti-ZEB1 antibody (M00548-2). 
 ZEB1 was detected in a paraffin-embedded section of mouse brain tissue. Biotinylated goat anti-mouse IgG was used as secondary antibody. The tissue section was incubated with mouse anti-ZEB1 Antibody (M00548-2) at a dilution of 1:200 and developed using Strepavidin-Biotin-Complex (SABC) (Catalog # SA1021) with DAB (Catalog # AR1027) as the chromogen.

IHC analysis of ZEB1 using anti-ZEB1 antibody (M00548-2). 
 ZEB1 was detected in a paraffin-embedded section of rat brain tissue. Biotinylated goat anti-mouse IgG was used as secondary antibody. The tissue section was incubated with mouse anti-ZEB1 Antibody (M00548-2) at a dilution of 1:200 and developed using Strepavidin-Biotin-Complex (SABC) (Catalog # SA1021) with DAB (Catalog # AR1027) as the chromogen.

IF analysis using anti- ZEB1 antibody (M00548-2). detected in paraffin-embedded section of human Glioma tissues. The tissue section were stained using the Dylight550-conjugated Anti- mouse IgG Secondary Antibody (red)(Catalog # BA1133).

IF analysis of ZEB1 using anti-ZEB1 antibody (M00548-2).
 ZEB1 was detected in an immunocytochemical section of U87 cells. The section was incubated with mouse anti-ZEB1 Antibody (M00548-2) at a dilution of 1:100. Dylight550-conjugated Anti-mouse IgG Secondary Antibody (red)(Catalog#BA1134) was used as secondary antibody.











