| Western blot (WB): | 1:500-2000 |
| Immunohistochemistry (IHC): | 1:50-400 |
| Immunocytochemistry/Immunofluorescence (ICC/IF): | 1:50-400 |
| Flow Cytometry (Fixed): | 1:50-200 |
| Enzyme linked immunosorbent assay (ELISA): | 1:100-1000 |
| (Boiling the paraffin sections in 10mM citrate buffer,pH6.0,or PH8.0 EDTA repair liquid for 20 mins is required for the staining of formalin/paraffin sections.) Optimal working dilutions must be determined by end user. | |

IHC analysis of TIE2/TEK using anti-TIE2/TEK antibody (A01274-2).
TIE2/TEK was detected in a paraffin-embedded section of rat lung tissue. Biotinylated goat anti-rabbit IgG was used as secondary antibody. The tissue section was incubated with rabbit anti-TIE2/TEK Antibody (A01274-2) at a dilution of 1:200 and developed using Strepavidin-Biotin-Complex (SABC) (Catalog # SA1022) with DAB (Catalog # AR1027) as the chromogen.

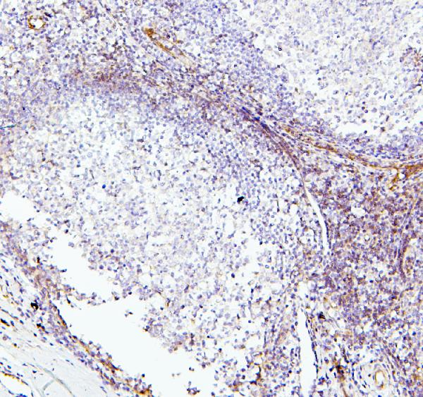
IHC analysis of TIE2/TEK using anti-TIE2/TEK antibody (A01274-2).
TIE2/TEK was detected in a paraffin-embedded section of human tonsil tissue. Biotinylated goat anti-rabbit IgG was used as secondary antibody. The tissue section was incubated with rabbit anti-TIE2/TEK Antibody (A01274-2) at a dilution of 1:200 and developed using Strepavidin-Biotin-Complex (SABC) (Catalog # SA1022) with DAB (Catalog # AR1027) as the chromogen.

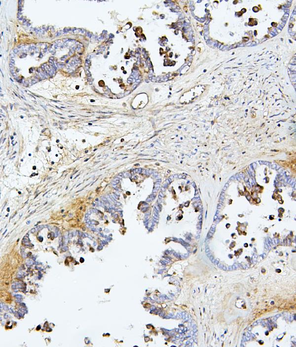
IHC analysis of TIE2/TEK using anti-TIE2/TEK antibody (A01274-2).
TIE2/TEK was detected in a paraffin-embedded section of human ovarian cancer tissue. Biotinylated goat anti-rabbit IgG was used as secondary antibody. The tissue section was incubated with rabbit anti-TIE2/TEK Antibody (A01274-2) at a dilution of 1:200 and developed using Strepavidin-Biotin-Complex (SABC) (Catalog # SA1022) with DAB (Catalog # AR1027) as the chromogen.

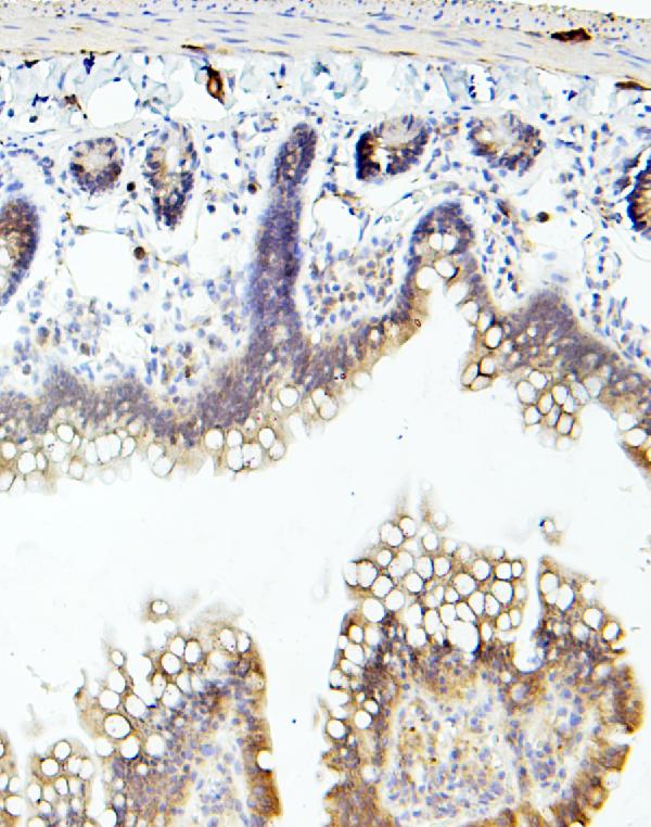
IHC analysis of TIE2/TEK using anti-TIE2/TEK antibody (A01274-2).
TIE2/TEK was detected in a paraffin-embedded section of rat intestine tissue. Biotinylated goat anti-rabbit IgG was used as secondary antibody. The tissue section was incubated with rabbit anti-TIE2/TEK Antibody (A01274-2) at a dilution of 1:200 and developed using Strepavidin-Biotin-Complex (SABC) (Catalog # SA1022) with DAB (Catalog # AR1027) as the chromogen.

IHC analysis of TIE2/TEK using anti-TIE2/TEK antibody (A01274-2).
TIE2/TEK was detected in a paraffin-embedded section of mouse testis tissue. Biotinylated goat anti-rabbit IgG was used as secondary antibody. The tissue section was incubated with rabbit anti-TIE2/TEK Antibody (A01274-2) at a dilution of 1:200 and developed using Strepavidin-Biotin-Complex (SABC) (Catalog # SA1022) with DAB (Catalog # AR1027) as the chromogen.

IHC analysis of TIE2/TEK using anti-TIE2/TEK antibody (A01274-2).
TIE2/TEK was detected in a paraffin-embedded section of rat testis tissue. Biotinylated goat anti-rabbit IgG was used as secondary antibody. The tissue section was incubated with rabbit anti-TIE2/TEK Antibody (A01274-2) at a dilution of 1:200 and developed using Strepavidin-Biotin-Complex (SABC) (Catalog # SA1022) with DAB (Catalog # AR1027) as the chromogen.

IF analysis of TEK using anti- TEK antibody (A01274-2).
TEK was detected in immunocytochemical section of U20S cell. Enzyme antigen retrieval was performed using IHC enzyme antigen retrieval reagent (AR0022) DyLight488 Conjugated Goat Anti-Rabbit IgG (BA1127) was used as secondary antibody The section was counterstained with DAPI. Visualize using a fluorescence microscope and filter sets appropriate for the label used.

Flow Cytometry analysis of Hela cells using anti-TIE2/TEK antibody (A01274-2).
Overlay histogram showing Hela cells stained with A01274-2 (Blue line). To facilitate intracellular staining, cells were fixed with 4% paraformaldehyde and permeabilized with permeabilization buffer. The cells were blocked with 10% normal goat serum. And then incubated with rabbit anti-TIE2/TEK Antibody (A01274-2) at 1:100 dilution for 30 min at 20°C. DyLight®488 conjugated goat anti-rabbit IgG (BA1127) was used as secondary antibody at 1:100 dilution for 30 minutes at 20°C. Isotype control antibody (Green line) was rabbit IgG at 1:100 dilution used under the same conditions. Unlabelled sample without incubation with primary antibody and secondary antibody (Red line) was used as a blank control.

Western blot analysis of TIE2/TEK using anti-TIE2/TEK antibody (A01274-2). The sample well of each lane was loaded with 30 ug of sample under reducing conditions.
Lane 1: human Hela whole cell lysates,
Lane 2: human U-87MG whole cell lysates,
Lane 3: human U2OS whole cell lysates,
Lane 4: human A431 whole cell lysates,
Lane 5: human PC-3 whole cell lysates,
Lane 6: human HL-60 whole cell lysates.
After electrophoresis, proteins were transferred to a membrane. Then the membrane was incubated with rabbit anti-TIE2/TEK antigen affinity purified polyclonal antibody (A01274-2) at a dilution of 1:1000 and probed with a goat anti-rabbit IgG-HRP secondary antibody (Catalog # BA1054). The signal is developed using ECL Plus Western Blotting Substrate (Catalog # AR1197). A specific band was detected for TIE2/TEK at approximately 160 kDa. The expected band size for TIE2/TEK is at 126 kDa.

Western blot analysis of TIE2/TEK using anti-TIE2/TEK antibody (A01274-2). The sample well of each lane was loaded with 30 ug of sample under reducing conditions.
Lane 1: mouse lung tissue lysates,
Lane 2: mouse Neuro-2a whole cell lysates.
After electrophoresis, proteins were transferred to a membrane. Then the membrane was incubated with rabbit anti-TIE2/TEK antigen affinity purified polyclonal antibody (A01274-2) at a dilution of 1:1000 and probed with a goat anti-rabbit IgG-HRP secondary antibody (Catalog # BA1054). The signal is developed using ECL Plus Western Blotting Substrate (Catalog # AR1197). A specific band was detected for TIE2/TEK at approximately 160 kDa. The expected band size for TIE2/TEK is at 126 kDa.

IHC analysis of TIE2/TEK using anti-TIE2/TEK antibody (A01274-2).
TIE2/TEK was detected in a paraffin-embedded section of rat lung tissue. Biotinylated goat anti-rabbit IgG was used as secondary antibody. The tissue section was incubated with rabbit anti-TIE2/TEK Antibody (A01274-2) at a dilution of 1:200 and developed using Strepavidin-Biotin-Complex (SABC) (Catalog # SA1022) with DAB (Catalog # AR1027) as the chromogen.

IHC analysis of TIE2/TEK using anti-TIE2/TEK antibody (A01274-2).
TIE2/TEK was detected in a paraffin-embedded section of human tonsil tissue. Biotinylated goat anti-rabbit IgG was used as secondary antibody. The tissue section was incubated with rabbit anti-TIE2/TEK Antibody (A01274-2) at a dilution of 1:200 and developed using Strepavidin-Biotin-Complex (SABC) (Catalog # SA1022) with DAB (Catalog # AR1027) as the chromogen.

IHC analysis of TIE2/TEK using anti-TIE2/TEK antibody (A01274-2).
TIE2/TEK was detected in a paraffin-embedded section of human ovarian cancer tissue. Biotinylated goat anti-rabbit IgG was used as secondary antibody. The tissue section was incubated with rabbit anti-TIE2/TEK Antibody (A01274-2) at a dilution of 1:200 and developed using Strepavidin-Biotin-Complex (SABC) (Catalog # SA1022) with DAB (Catalog # AR1027) as the chromogen.

IHC analysis of TIE2/TEK using anti-TIE2/TEK antibody (A01274-2).
TIE2/TEK was detected in a paraffin-embedded section of rat intestine tissue. Biotinylated goat anti-rabbit IgG was used as secondary antibody. The tissue section was incubated with rabbit anti-TIE2/TEK Antibody (A01274-2) at a dilution of 1:200 and developed using Strepavidin-Biotin-Complex (SABC) (Catalog # SA1022) with DAB (Catalog # AR1027) as the chromogen.

IHC analysis of TIE2/TEK using anti-TIE2/TEK antibody (A01274-2).
TIE2/TEK was detected in a paraffin-embedded section of mouse testis tissue. Biotinylated goat anti-rabbit IgG was used as secondary antibody. The tissue section was incubated with rabbit anti-TIE2/TEK Antibody (A01274-2) at a dilution of 1:200 and developed using Strepavidin-Biotin-Complex (SABC) (Catalog # SA1022) with DAB (Catalog # AR1027) as the chromogen.

IHC analysis of TIE2/TEK using anti-TIE2/TEK antibody (A01274-2).
TIE2/TEK was detected in a paraffin-embedded section of rat testis tissue. Biotinylated goat anti-rabbit IgG was used as secondary antibody. The tissue section was incubated with rabbit anti-TIE2/TEK Antibody (A01274-2) at a dilution of 1:200 and developed using Strepavidin-Biotin-Complex (SABC) (Catalog # SA1022) with DAB (Catalog # AR1027) as the chromogen.

IF analysis of TEK using anti- TEK antibody (A01274-2).
TEK was detected in immunocytochemical section of U20S cell. Enzyme antigen retrieval was performed using IHC enzyme antigen retrieval reagent (AR0022) DyLight488 Conjugated Goat Anti-Rabbit IgG (BA1127) was used as secondary antibody The section was counterstained with DAPI. Visualize using a fluorescence microscope and filter sets appropriate for the label used.

Flow Cytometry analysis of Hela cells using anti-TIE2/TEK antibody (A01274-2).
Overlay histogram showing Hela cells stained with A01274-2 (Blue line). To facilitate intracellular staining, cells were fixed with 4% paraformaldehyde and permeabilized with permeabilization buffer. The cells were blocked with 10% normal goat serum. And then incubated with rabbit anti-TIE2/TEK Antibody (A01274-2) at 1:100 dilution for 30 min at 20°C. DyLight®488 conjugated goat anti-rabbit IgG (BA1127) was used as secondary antibody at 1:100 dilution for 30 minutes at 20°C. Isotype control antibody (Green line) was rabbit IgG at 1:100 dilution used under the same conditions. Unlabelled sample without incubation with primary antibody and secondary antibody (Red line) was used as a blank control.

Western blot analysis of TIE2/TEK using anti-TIE2/TEK antibody (A01274-2). The sample well of each lane was loaded with 30 ug of sample under reducing conditions.
Lane 1: human Hela whole cell lysates,
Lane 2: human U-87MG whole cell lysates,
Lane 3: human U2OS whole cell lysates,
Lane 4: human A431 whole cell lysates,
Lane 5: human PC-3 whole cell lysates,
Lane 6: human HL-60 whole cell lysates.
After electrophoresis, proteins were transferred to a membrane. Then the membrane was incubated with rabbit anti-TIE2/TEK antigen affinity purified polyclonal antibody (A01274-2) at a dilution of 1:1000 and probed with a goat anti-rabbit IgG-HRP secondary antibody (Catalog # BA1054). The signal is developed using ECL Plus Western Blotting Substrate (Catalog # AR1197). A specific band was detected for TIE2/TEK at approximately 160 kDa. The expected band size for TIE2/TEK is at 126 kDa.

Western blot analysis of TIE2/TEK using anti-TIE2/TEK antibody (A01274-2). The sample well of each lane was loaded with 30 ug of sample under reducing conditions.
Lane 1: mouse lung tissue lysates,
Lane 2: mouse Neuro-2a whole cell lysates.
After electrophoresis, proteins were transferred to a membrane. Then the membrane was incubated with rabbit anti-TIE2/TEK antigen affinity purified polyclonal antibody (A01274-2) at a dilution of 1:1000 and probed with a goat anti-rabbit IgG-HRP secondary antibody (Catalog # BA1054). The signal is developed using ECL Plus Western Blotting Substrate (Catalog # AR1197). A specific band was detected for TIE2/TEK at approximately 160 kDa. The expected band size for TIE2/TEK is at 126 kDa.











