| Western blot (WB): | 1:500-2000 |
| Immunohistochemistry (IHC): | 1:50-400 |
| Immunocytochemistry/Immunofluorescence (ICC/IF): | 1:50-400 |
| Flow Cytometry (Fixed): | 1:50-200 |
| Enzyme linked immunosorbent assay (ELISA): | 1:100-1000 |
| (Boiling the paraffin sections in 10mM citrate buffer,pH6.0,or PH8.0 EDTA repair liquid for 20 mins is required for the staining of formalin/paraffin sections.) Optimal working dilutions must be determined by end user. | |

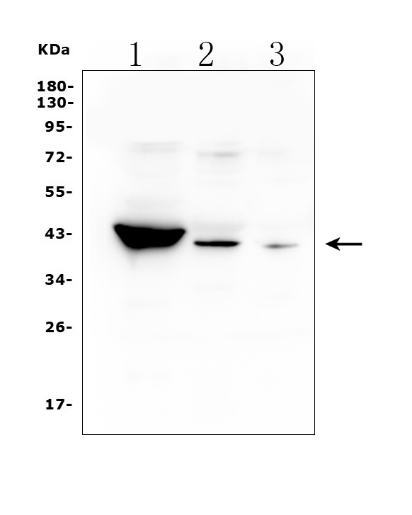
Figure 1. Western blot analysis of HSD3B1 using anti-HSD3B1 antibody (A02856-2).
Lane 1: human placenta tissue lysates,
Lane 2: human Caco-2 whole cell lysates,
Lane 3: human MDA-MB-453 whole cell lysates.
anti-HSD3B1 antigen affinity purified polyclonal antibody (Catalog # A02856-2)probed with a goat anti-rabbit IgG-HRP secondary antibody The signal is developed using an Enhanced Chemiluminescent detection (ECL) kit (Catalog # EK1002) . A specific band was detected for HSD3B1 at approximately 42KD. The expected band size for HSD3B1 is at 42KD.

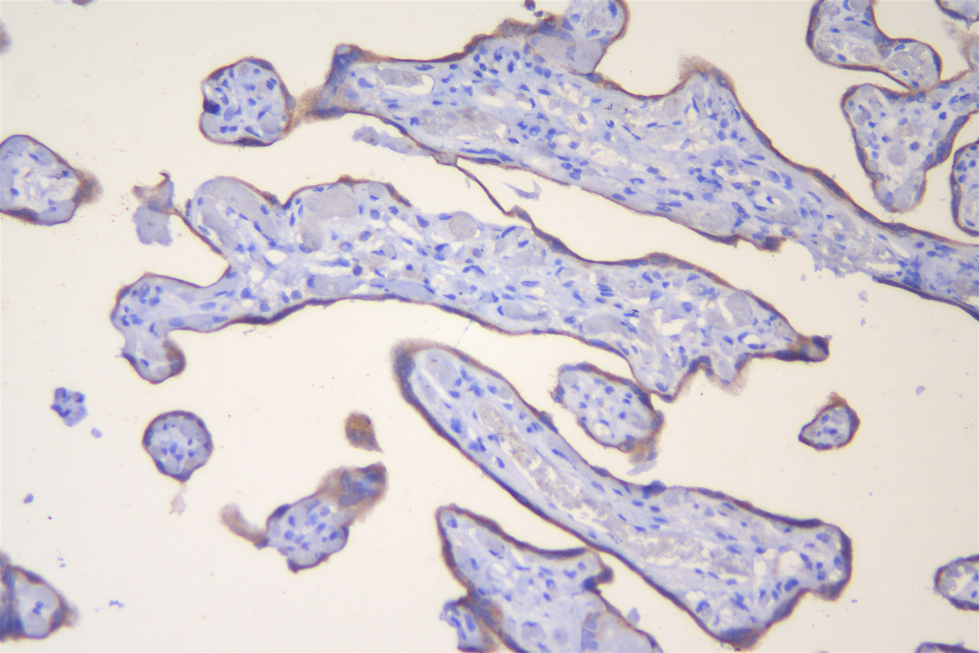
Figure 2. IHC analysis of HSD3B1 using anti-HSD3B1 antibody (A02856-2).
HSD3B1 was detected in paraffin-embedded section of human placenta tissue. . Biotinylated goat anti-rabbit IgG was used as secondary antibody . The tissue section was developed using Strepavidin-Biotin-Complex (SABC) (Catalog # SA1022) with DAB as the chromogen.

Figure 3. IF analysis of HSD3B1 using anti-HSD3B1 antibody (A02856-2).
HSD3B1 was detected in an immunocytochemical section of U2OS cells. DyLight®488 Conjugated Goat Anti-Rabbit IgG (Green) (Catalog # BA1127) was used as secondary antibody. The section was counterstained with DAPI (Catalog # AR1176) (Blue).

Figure 4. Flow Cytometry analysis of CACO-2 cells using anti-HSD3B1 (B2)antibody (A02856-2).Overlay histogram showing CACO-2 cells stained with A02856-2 (Blue line). DyLight488 conjugated goat anti-rabbit IgG (BA1127, 1:100) was used as secondary antibody . Isotype control antibody (Green line) was rabbit IgG (1:100) used under the same conditions. Unlabelled sample (Red line) was also used as a control.

Figure 1. Western blot analysis of HSD3B1 using anti-HSD3B1 antibody (A02856-2).
Lane 1: human placenta tissue lysates,
Lane 2: human Caco-2 whole cell lysates,
Lane 3: human MDA-MB-453 whole cell lysates.
anti-HSD3B1 antigen affinity purified polyclonal antibody (Catalog # A02856-2)probed with a goat anti-rabbit IgG-HRP secondary antibody The signal is developed using an Enhanced Chemiluminescent detection (ECL) kit (Catalog # EK1002) . A specific band was detected for HSD3B1 at approximately 42KD. The expected band size for HSD3B1 is at 42KD.

Figure 2. IHC analysis of HSD3B1 using anti-HSD3B1 antibody (A02856-2).
HSD3B1 was detected in paraffin-embedded section of human placenta tissue. . Biotinylated goat anti-rabbit IgG was used as secondary antibody . The tissue section was developed using Strepavidin-Biotin-Complex (SABC) (Catalog # SA1022) with DAB as the chromogen.

Figure 3. IF analysis of HSD3B1 using anti-HSD3B1 antibody (A02856-2).
HSD3B1 was detected in an immunocytochemical section of U2OS cells. DyLight®488 Conjugated Goat Anti-Rabbit IgG (Green) (Catalog # BA1127) was used as secondary antibody. The section was counterstained with DAPI (Catalog # AR1176) (Blue).

Figure 4. Flow Cytometry analysis of CACO-2 cells using anti-HSD3B1 (B2)antibody (A02856-2).Overlay histogram showing CACO-2 cells stained with A02856-2 (Blue line). DyLight488 conjugated goat anti-rabbit IgG (BA1127, 1:100) was used as secondary antibody . Isotype control antibody (Green line) was rabbit IgG (1:100) used under the same conditions. Unlabelled sample (Red line) was also used as a control.





