
Western blot analysis of lysates from Jurkat cells, using MKP-1/2 Antibody. The lane on the right is blocked with the synthesized peptide.

Immunohistochemistry analysis of paraffin-embedded human breast carcinoma tissue, using MKP-1/2 Antibody. The picture on the right is blocked with the synthesized peptide.

Western blot analysis of lysates from Jurkat cells, using MKP-1/2 Antibody. The lane on the right is blocked with the synthesized peptide.

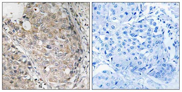
Immunohistochemistry analysis of paraffin-embedded human breast carcinoma tissue, using MKP-1/2 Antibody. The picture on the right is blocked with the synthesized peptide.

