
Western blot analysis of lysates from K562 cells treated with heat shock , using MKP-1/2 (Phospho-Ser296/318) Antibody. The lane on the right is blocked with the phospho peptide.

Immunohistochemistry analysis of paraffin-embedded human breast carcinoma, using MKP-1/2 (Phospho-Ser296/318) Antibody. The picture on the right is blocked with the phospho peptide.

Western blot analysis of lysates from K562 cells treated with heat shock , using MKP-1/2 (Phospho-Ser296/318) Antibody. The lane on the right is blocked with the phospho peptide.

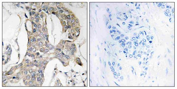
Immunohistochemistry analysis of paraffin-embedded human breast carcinoma, using MKP-1/2 (Phospho-Ser296/318) Antibody. The picture on the right is blocked with the phospho peptide.

