| Western blot (WB): | 1:500-2000 |
| Immunohistochemistry (IHC): | 1:50-400 |

Western blot analysis of PGK1 using anti-PGK1 antibody (BA3015-2). The sample well of each lane was loaded with 30 ug of sample under reducing conditions.
Lane 1: human Hela whole cell lysates,
Lane 2: human A549 whole cell lysates,
Lane 3: human Jurkat whole cell lysates,
Lane 4: rat brain tissue lysates,
Lane 5: rat liver tissue lysates,
Lane 6: mouse brain tissue lysates,
Lane 7: mouse liver tissue lysates.
After electrophoresis, proteins were transferred to a membrane. Then the membrane was incubated with rabbit anti-PGK1 antigen affinity purified polyclonal antibody (BA3015-2) at a dilution of 1:1000 and probed with a goat anti-rabbit IgG-HRP secondary antibody (Catalog # BA1054). The signal is developed using ECL Plus Western Blotting Substrate (Catalog # AR1197). A specific band was detected for PGK1 at approximately 45 kDa. The expected band size for PGK1 is at 45 kDa.

IHC analysis of PGK1 using anti-PGK1 antibody (BA3015-2).
PGK1 was detected in a paraffin-embedded section of human lung cancer tissue. The tissue section was incubated with rabbit anti-PGK1 Antibody (BA3015-2) at a dilution of 1:200 and developed using HRP Conjugated Rabbit IgG Super Vision Assay Kit (Catalog # SV0002) with DAB (Catalog # AR1027) as the chromogen.

Western blot analysis of PGK1 using anti-PGK1 antibody (BA3015-2). The sample well of each lane was loaded with 30 ug of sample under reducing conditions.
Lane 1: human Hela whole cell lysates,
Lane 2: human A549 whole cell lysates,
Lane 3: human Jurkat whole cell lysates,
Lane 4: rat brain tissue lysates,
Lane 5: rat liver tissue lysates,
Lane 6: mouse brain tissue lysates,
Lane 7: mouse liver tissue lysates.
After electrophoresis, proteins were transferred to a membrane. Then the membrane was incubated with rabbit anti-PGK1 antigen affinity purified polyclonal antibody (BA3015-2) at a dilution of 1:1000 and probed with a goat anti-rabbit IgG-HRP secondary antibody (Catalog # BA1054). The signal is developed using ECL Plus Western Blotting Substrate (Catalog # AR1197). A specific band was detected for PGK1 at approximately 45 kDa. The expected band size for PGK1 is at 45 kDa.

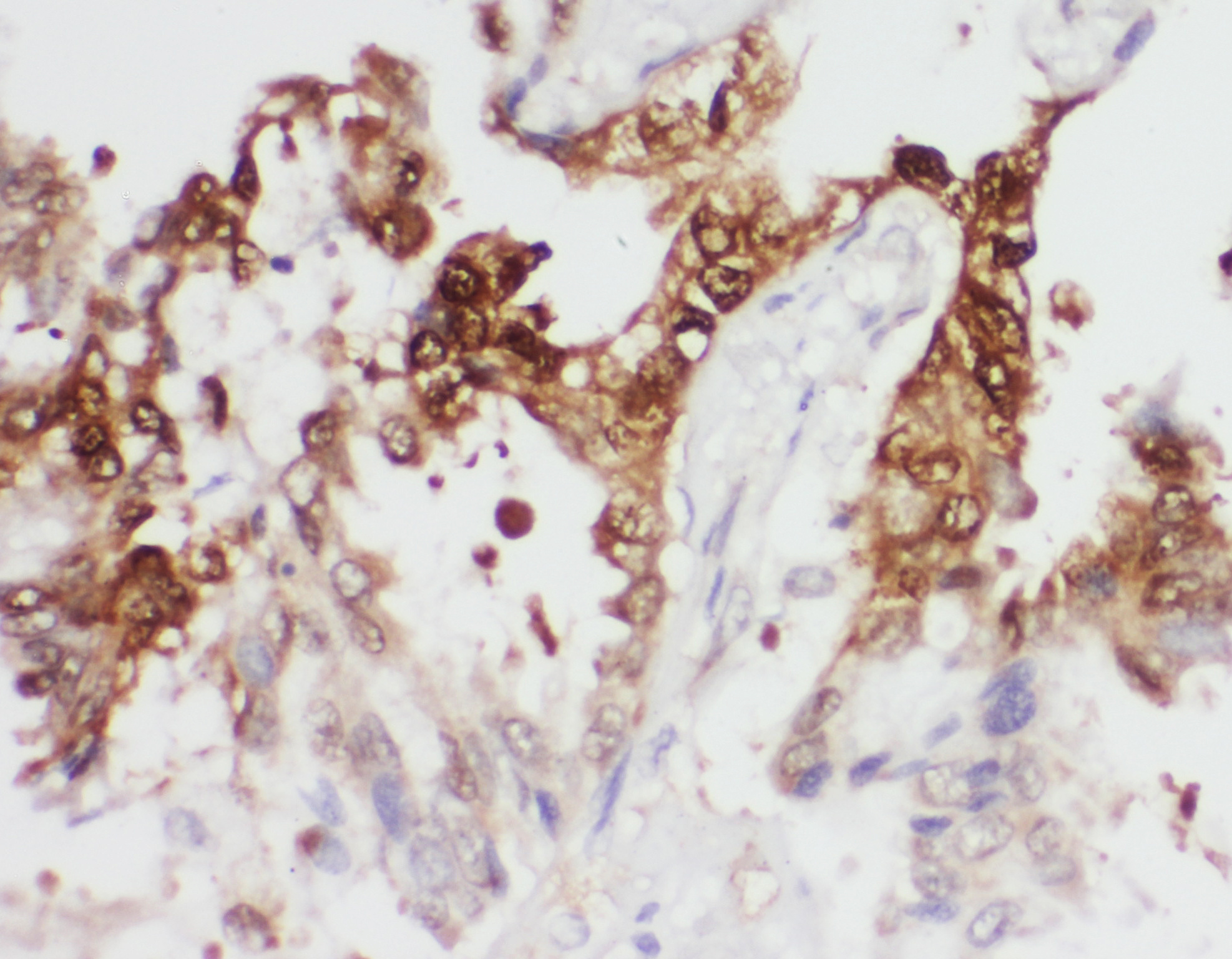
IHC analysis of PGK1 using anti-PGK1 antibody (BA3015-2).
PGK1 was detected in a paraffin-embedded section of human lung cancer tissue. The tissue section was incubated with rabbit anti-PGK1 Antibody (BA3015-2) at a dilution of 1:200 and developed using HRP Conjugated Rabbit IgG Super Vision Assay Kit (Catalog # SV0002) with DAB (Catalog # AR1027) as the chromogen.

