| Western blot (WB): | 1:500-2000 | 

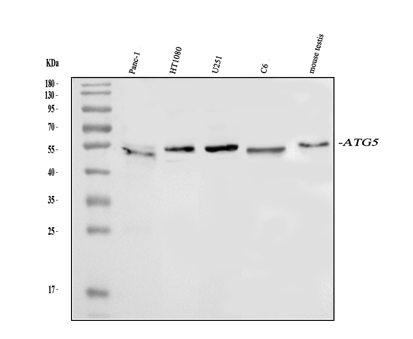
Western blot analysis of ATG5 using anti-ATG5 antibody (BA3525-2). The sample well of each lane was loaded with 30 ug of sample under reducing conditions. 
Lane 1: Panc-1 whole cell lysates,
Lane 2: HT1080 whole cell lysates,
Lane 3: U251 whole cell lysates,
Lane 4: C6 whole cell lysates,
Lane 5: mouse testis tissue lysates.
After electrophoresis, proteins were transferred to a membrane. Then the membrane was incubated with rabbit anti-ATG5 antigen affinity purified polyclonal antibody (BA3525-2) at a dilution of 1:1000 and probed with a goat anti-rabbit IgG-HRP secondary antibody (Catalog # BA1054). The signal is developed using ECL Plus Western Blotting Substrate (Catalog # AR1197). A specific band was detected for ATG5 at approximately 55 kDa. The expected band size for ATG5 is at 32 kDa.

Western blot analysis of ATG5 using anti-ATG5 antibody (BA3525-2). The sample well of each lane was loaded with 30 ug of sample under reducing conditions. 
Lane 1: Panc-1 whole cell lysates,
Lane 2: HT1080 whole cell lysates,
Lane 3: U251 whole cell lysates,
Lane 4: C6 whole cell lysates,
Lane 5: mouse testis tissue lysates.
After electrophoresis, proteins were transferred to a membrane. Then the membrane was incubated with rabbit anti-ATG5 antigen affinity purified polyclonal antibody (BA3525-2) at a dilution of 1:1000 and probed with a goat anti-rabbit IgG-HRP secondary antibody (Catalog # BA1054). The signal is developed using ECL Plus Western Blotting Substrate (Catalog # AR1197). A specific band was detected for ATG5 at approximately 55 kDa. The expected band size for ATG5 is at 32 kDa.
