| Western blot (WB): | 1:100-400 |
| Immunohistochemistry (IHC): | 1:50-400 |
| (Boiling the paraffin sections in 10mM citrate buffer,pH6.0,or PH8.0 EDTA repair liquid for 20 mins is required for the staining of formalin/paraffin sections.) Optimal working dilutions must be determined by end user. | |

Western blot analysis of anti-Actin/ACTA1 antibody (BM0001). The sample well of each lane was loaded with 30 ug of sample under reducing conditions.
Lane 1: monkey heart tissue lysates,
Lane 2: fish heart tissue lysates,
Lane 3: chicken heart tissue lysates,
Lane 4: rat heart tissue lysates,
Lane 5: rat skeletal muscle tissue lysates,
Lane 6: mouse heart tissue lysates,
Lane 7: mouse skeletal muscle tissue lysates.
After electrophoresis, proteins were transferred to a membrane. Then the membrane was incubated with mouse anti-Actin/ACTA1 antigen affinity purified monoclonal antibody (BM0001) at a dilution of 1:1000 and probed with a goat anti-mouse IgG-HRP secondary antibody (Catalog # BA1050). The signal is developed using ECL Plus Western Blotting Substrate (Catalog # AR1197). A specific band was detected for Actin/ACTA1 at approximately 42 kDa. The expected band size for Actin/ACTA1 is at 42 kDa.

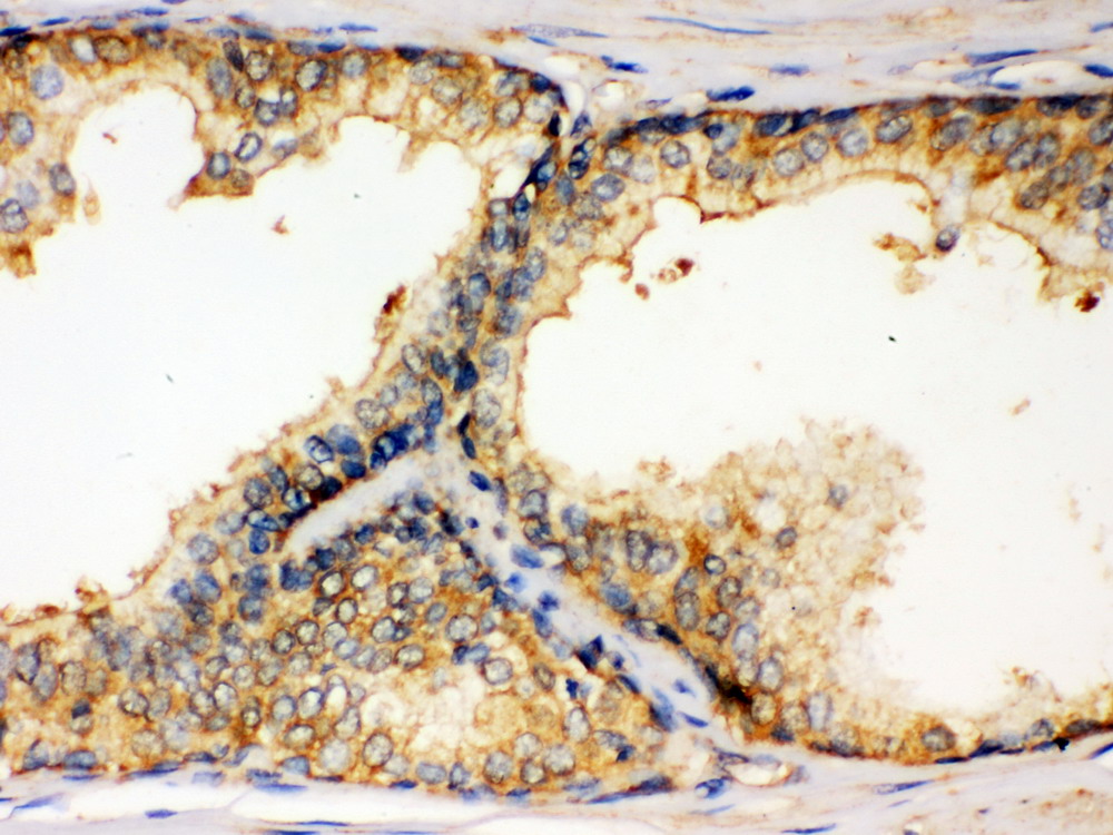
IHC analysis using anti-ACTA1 antibody (BM0001). detected in paraffin-embedded section of human prostatic cancer tissue. Biotinylated goat anti-mouse IgG was used as secondary antibody. The tissue section was developed using Strepavidin-Biotin-Complex (SABC) (Catalog # SA1021) with DAB as the chromogen.

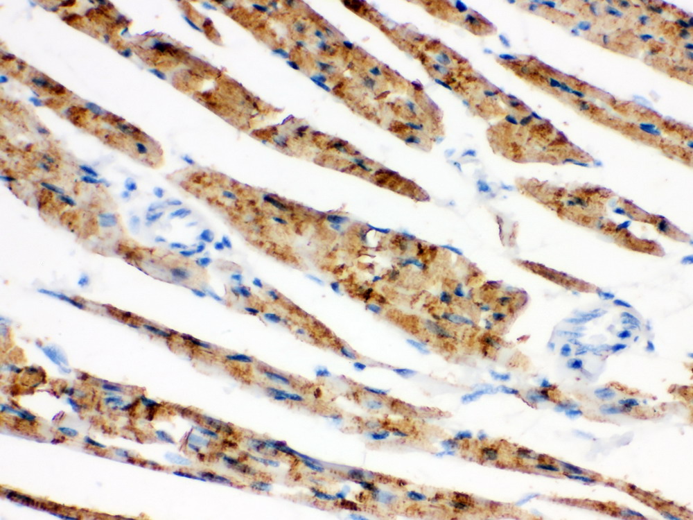
IHC analysis using anti-ACTA1 antibody (BM0001). detected in paraffin-embedded section of rat cardiac muscle tissue. Biotinylated goat anti-mouse IgG was used as secondary antibody. The tissue section was developed using Strepavidin-Biotin-Complex (SABC) (Catalog # SA1021) with DAB as the chromogen.

IHC analysis using anti-ACTA1 antibody (BM0001). detected in paraffin-embedded section of mouse cardiac muscle tissue. Biotinylated goat anti-mouse IgG was used as secondary antibody. The tissue section was developed using Strepavidin-Biotin-Complex (SABC) (Catalog # SA1021) with DAB as the chromogen.

Western blot analysis of anti-Actin/ACTA1 antibody (BM0001). The sample well of each lane was loaded with 30 ug of sample under reducing conditions.
Lane 1: monkey heart tissue lysates,
Lane 2: fish heart tissue lysates,
Lane 3: chicken heart tissue lysates,
Lane 4: rat heart tissue lysates,
Lane 5: rat skeletal muscle tissue lysates,
Lane 6: mouse heart tissue lysates,
Lane 7: mouse skeletal muscle tissue lysates.
After electrophoresis, proteins were transferred to a membrane. Then the membrane was incubated with mouse anti-Actin/ACTA1 antigen affinity purified monoclonal antibody (BM0001) at a dilution of 1:1000 and probed with a goat anti-mouse IgG-HRP secondary antibody (Catalog # BA1050). The signal is developed using ECL Plus Western Blotting Substrate (Catalog # AR1197). A specific band was detected for Actin/ACTA1 at approximately 42 kDa. The expected band size for Actin/ACTA1 is at 42 kDa.

IHC analysis using anti-ACTA1 antibody (BM0001). detected in paraffin-embedded section of human prostatic cancer tissue. Biotinylated goat anti-mouse IgG was used as secondary antibody. The tissue section was developed using Strepavidin-Biotin-Complex (SABC) (Catalog # SA1021) with DAB as the chromogen.

IHC analysis using anti-ACTA1 antibody (BM0001). detected in paraffin-embedded section of rat cardiac muscle tissue. Biotinylated goat anti-mouse IgG was used as secondary antibody. The tissue section was developed using Strepavidin-Biotin-Complex (SABC) (Catalog # SA1021) with DAB as the chromogen.

IHC analysis using anti-ACTA1 antibody (BM0001). detected in paraffin-embedded section of mouse cardiac muscle tissue. Biotinylated goat anti-mouse IgG was used as secondary antibody. The tissue section was developed using Strepavidin-Biotin-Complex (SABC) (Catalog # SA1021) with DAB as the chromogen.



