| Western blot (WB): | 1:500-2000 |
| Immunohistochemistry in paraffin section IHC | 1:50-400 |
| (Boiling the paraffin sections in 10mM citrate buffer,pH6.0,or PH8.0 EDTA repair liquid for 20 mins is required for the staining of formalin/paraffin sections.) Optimal working dilutions must be determined by end user. | |

Western blot analysis of Actin using anti-Actin antibody (M02014-5). The sample well of each lane was loaded with 30 ug of sample under reducing conditions.
Lane 1: Human hepg2 whole cell lysates,
Lane 2: Human SKOV3 whole cell lysates,
Lane 3: Human PANC-1 whole cell lysates,
Lane 4: Human HELA whole cell lysates,
Lane 5: Human A549 whole cell lysates,
Lane 6: rat PC-12 whole cell lysates,
Lane 7: mouse NIH/3T3 whole cell lysates,
Lane 8: mouse HEPA1-6 whole cell lysates.
After electrophoresis, proteins were transferred to a membrane. Then the membrane was incubated with mouse anti-Actin antigen affinity purified monoclonal antibody (M02014-5) at a dilution of 1:1000 and probed with a goat anti-mouse IgG-HRP secondary antibody (Catalog # BA1050). The signal is developed using ECL Plus Western Blotting Substrate (Catalog # AR1197). A specific band was detected for Actin at approximately 42 kDa. The expected band size for Actin is at 42 kDa.

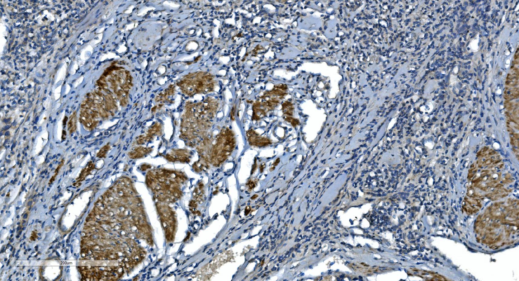
IHC analysis of Actin using anti-Actin antibody (M02014-5).
Actin was detected in a paraffin-embedded section of human bladder cancer tissue. Biotinylated goat anti-mouse IgG was used as secondary antibody. The tissue section was incubated with mouse anti-Actin Antibody (M02014-5) at a dilution of 1:200 and developed using Strepavidin-Biotin-Complex (SABC) (Catalog # SA1021) with DAB (Catalog # AR1027) as the chromogen.

Western blot analysis of Actin using anti-Actin antibody (M02014-5). The sample well of each lane was loaded with 30 ug of sample under reducing conditions.
Lane 1: Human hepg2 whole cell lysates,
Lane 2: Human SKOV3 whole cell lysates,
Lane 3: Human PANC-1 whole cell lysates,
Lane 4: Human HELA whole cell lysates,
Lane 5: Human A549 whole cell lysates,
Lane 6: rat PC-12 whole cell lysates,
Lane 7: mouse NIH/3T3 whole cell lysates,
Lane 8: mouse HEPA1-6 whole cell lysates.
After electrophoresis, proteins were transferred to a membrane. Then the membrane was incubated with mouse anti-Actin antigen affinity purified monoclonal antibody (M02014-5) at a dilution of 1:1000 and probed with a goat anti-mouse IgG-HRP secondary antibody (Catalog # BA1050). The signal is developed using ECL Plus Western Blotting Substrate (Catalog # AR1197). A specific band was detected for Actin at approximately 42 kDa. The expected band size for Actin is at 42 kDa.

IHC analysis of Actin using anti-Actin antibody (M02014-5).
Actin was detected in a paraffin-embedded section of human bladder cancer tissue. Biotinylated goat anti-mouse IgG was used as secondary antibody. The tissue section was incubated with mouse anti-Actin Antibody (M02014-5) at a dilution of 1:200 and developed using Strepavidin-Biotin-Complex (SABC) (Catalog # SA1021) with DAB (Catalog # AR1027) as the chromogen.

