欢迎访问博士德生物官网! 服务热线:027-67845390 |
您当前的位置: 首页 > 产品中心 > 一抗 > 单克隆抗体

Anti-S100A8 Antibody (Clone#CFC-19)

Rabbit monoclonal antibody

说明书 一键复制产品信息

筛选器: All WB IHC IP

BM4221

  • 50μl ¥1280 100μl ¥2180 150μl ¥2800
  • 货期: 现货
  • Western blot analysis of MRP8 expression in HL-60 cell lysate.

    all(3)
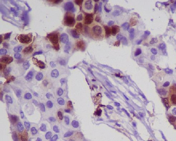
  • Immunohistochemical analysis of paraffin-embedded human breast cancer, using MRP8 Antibody.

    all(3)

产品简介 实验方案 引用文献 相关产品

产品简介>

产品名称
Anti-S100A8 Antibody (Clone#CFC-19)
规格/价格
50μl/1280 100μl/2180 150μl/2800
指标别称
60B8AG; CAGA; Calgranulin A; Calprotectin L1L subunit; CFAG; CGLA; CP 10; Cystic fibrosis antigen; L1Ag; MA387; MIF; MRP 8; MRP8; NIF; P8; Protein S100 A8; S100A8; Urinary stone protein band A
产品类型
Monoclonal
检验物种
human, mouse
应用范围
WB, IHC, IP
基因名称
S100A8
克隆号
CFC-19
宿主
Rabbit
抗体亚型
IgG
免疫原
A synthesized peptide derived from human MRP8
计算分子量
11 kDa
实际分子量
10 kDa
成分
500 ug/ml; Rabbit IgG in phosphate buffered saline, pH 7.4, 150mM NaCl, 0.02% sodium azide, 0.4-0.5 mg/ml BSA and 50% glycerol.
纯化方式
Affinity-chromatography
浓度
500 ug/ml
产品形态
Liquid
保存条件
12 months from date of receipt,-20℃ as supplied.
背景资料
S100 calcium-binding protein A8 (S100A8) is a protein that in humans is encoded by the S100A8 gene. It is also known as calgranulin A. The protein encoded by this gene is a member of the S100 family of proteins containing 2 EF-hand calcium-binding motifs. S100 proteins are localized in the cytoplasm and/or nucleus of a wide range of cells, and involved in the regulation of a number of cellular processes such as cell cycle progression and differentiation. S100 genes include at least 13 members which are located as a cluster on chromosome 1q21. This protein may function in the inhibition of casein kinase and as a cytokine. Altered expression of this protein is associated with the disease cystic fibrosis.
Uniprot ID
P05109  
文献引用格式
S100A8 Antibody (Clone#CFC-19) (Boster Biological Technology, Wuhan, China. Catalog#BM4221)
应用释义
WB-蛋白质免疫印迹法; IHC- 免疫组织化学法; ICC/IF-免疫细胞荧光和免疫细胞化学; FCM-流式细胞术; ELISA-酶联免疫吸附测定; IP-免疫沉淀法; IF-免疫组织荧光法; ChIP-染色质免疫沉淀法;
推荐配套的二抗和检测试剂
Boster recommends Enhanced Chemiluminescent Kit with anti-Rabbit IgG (EK1002) for Western blot, and HRP Conjugated anti-Rabbit IgG Super Vision Assay Kit (SV0002-1) for IHC(P). *Blocking peptide 可以联系我们购买。
基因名全称
Protein S100-A8
推荐稀释比
Western blot (WB):1:500-2000
Immunohistochemistry (IHC):1:50-200
ImmunoPrecipitation (IP):1:30

实验方案>

实验步骤

引用文献(0)>

    相关产品>

    成功添加到购物车

    查看购物车 继续购物

    Anti-S100A8 Antibody (Clone#CFC-19)

    筛选器: All WB IHC IP

    亮暗模式切换
    X
    亮暗模式切换
    X

    在线
    客服

    在线客服
    服务时间:08:30 - 17:30

    点击下列客服在线咨询:

    服务热线

    服务
    热线

    客服服务热线

    027-67845390
    客服服务热线

    扫码

    扫码
    咨询

    微信二维码 微信扫一扫立即咨询
    返回顶部 顶部