| Western blot (WB): | 1:500-2000 |
| Immunohistochemistry (IHC): | 1:50-400 |
| Immunocytochemistry/Immunofluorescence (ICC/IF): | 1:50-400 |
| Flow Cytometry (Fixed): | 1:50-200 |
| (Boiling the paraffin sections in 10mM citrate buffer,pH6.0,or PH8.0 EDTA repair liquid for 20 mins is required for the staining of formalin/paraffin sections.) Optimal working dilutions must be determined by end user. | |

Figure 1. Western blot analysis of S100A8 using anti-S100A8 antibody (PB0767). The sample well of each lane was loaded with 30 ug of sample under reducing conditions.
Lane 1: rat spleen tissue lysates,
Lane 2: rat thymus tissue lysates,
Lane 3: mouse spleen tissue lysates,
Lane 4: mouse thymus tissue lysates.
After electrophoresis, proteins were transferred to a membrane. Then the membrane was incubated with rabbit anti-S100A8 antigen affinity purified polyclonal antibody (PB0767) at a dilution of 1:1000 and probed with a goat anti-rabbit IgG-HRP secondary antibody (Catalog # BA1054). The signal is developed using ECL Plus Western Blotting Substrate (Catalog # AR1197). A specific band was detected for S100A8 at approximately 10 kDa. The expected band size for S100A8 is at 10 kDa.

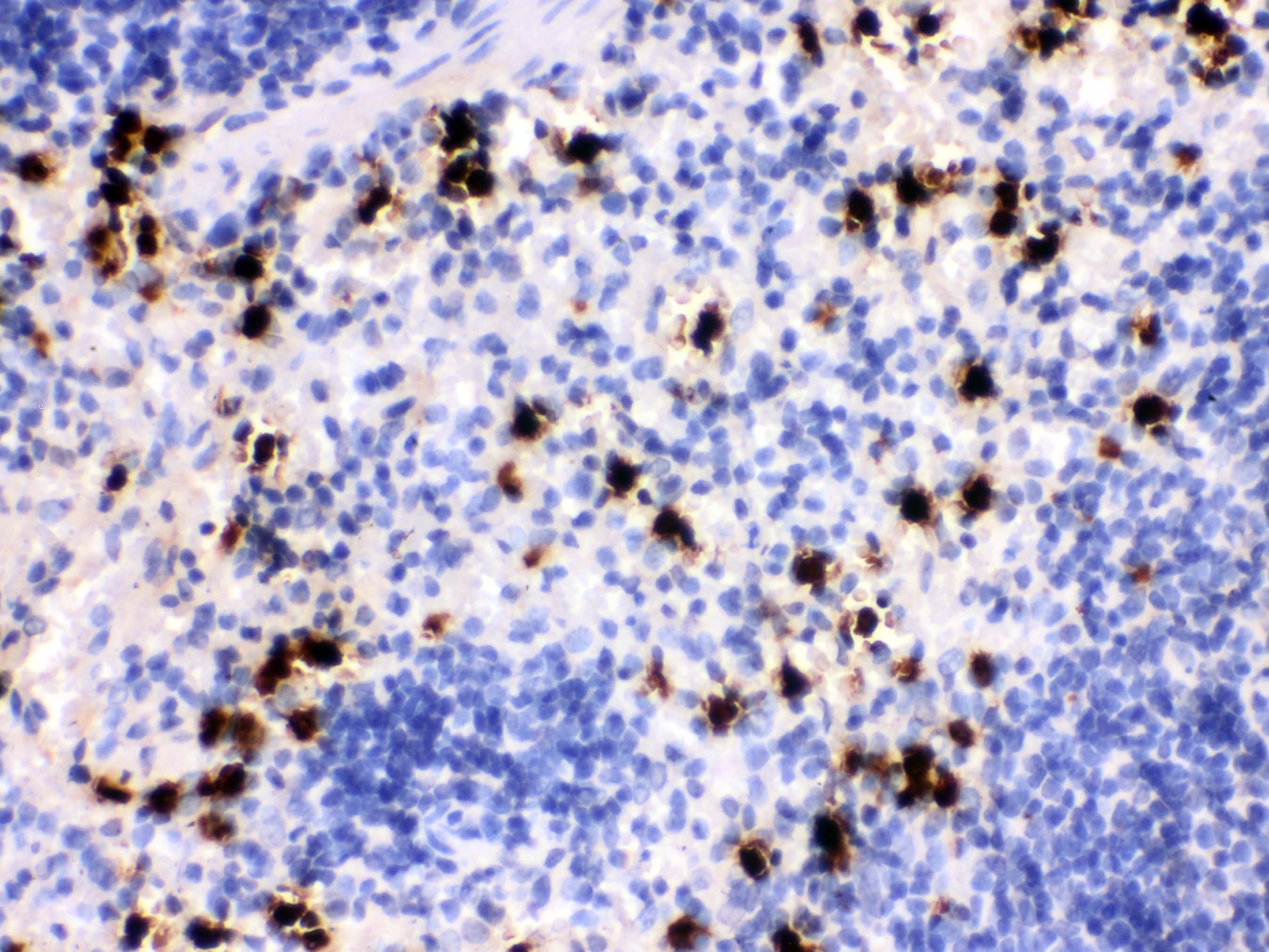
Figure 2. IHC analysis of S100A8 using anti-S100A8 antibody (PB0767).S100A8 was detected in paraffin-embedded section of Mouse Spleen Tissue. Heat mediated antigen retrieval was performed in citrate buffer (pH6, epitope retrieval solution) for 20 mins. The tissue section was blocked with 10% goat serum. The tissue section was then incubated with 1μg/ml rabbit anti-S100A8 Antibody (PB0767) overnight at 4°C. Biotinylated goat anti-rabbit IgG was used as secondary antibody and incubated for 30 minutes at 37°C. The tissue section was developed using Strepavidin-Biotin-Complex (SABC)(Catalog # SA1022) with DAB as the chromogen.

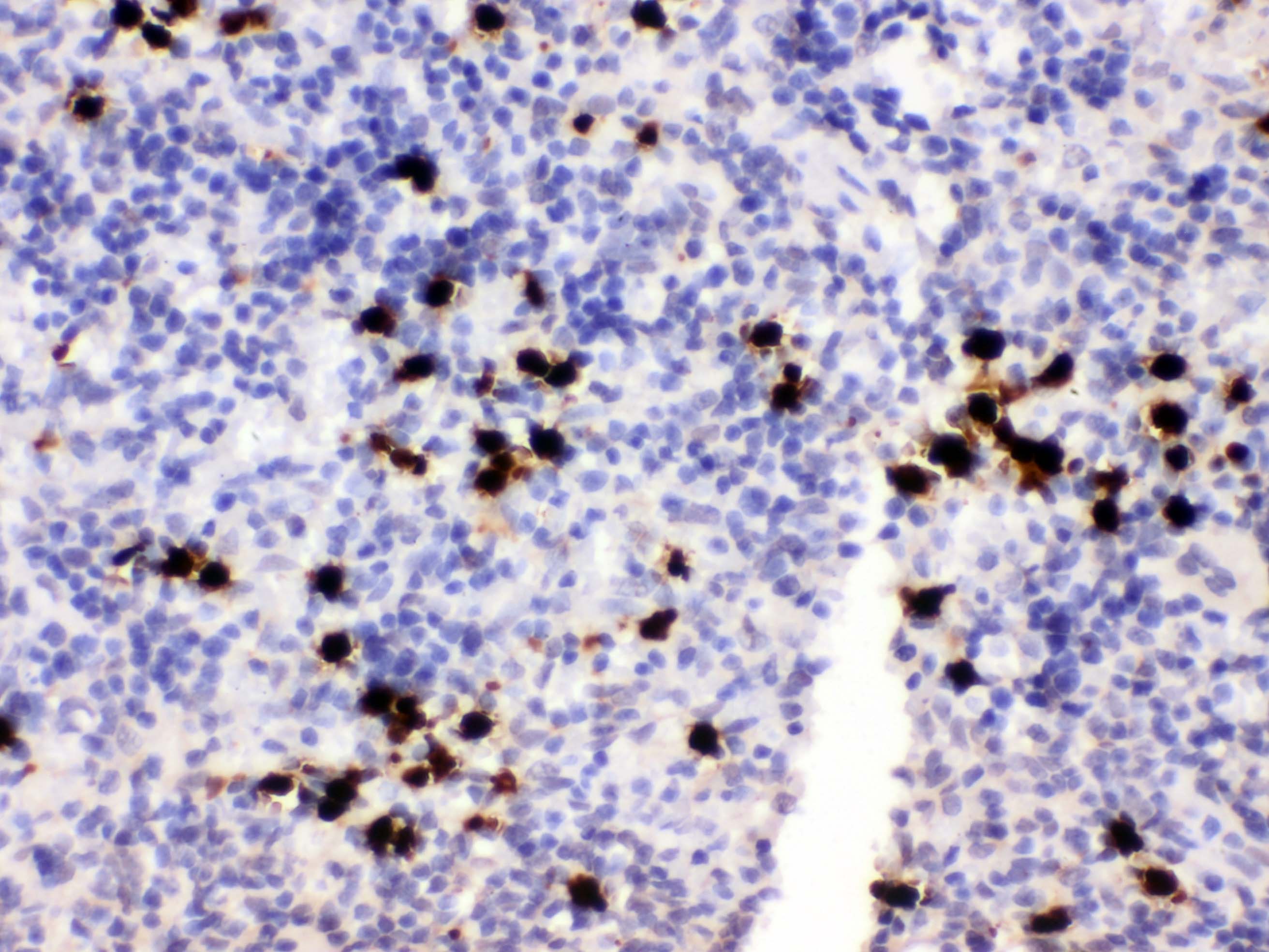
Figure 3. IHC analysis of S100A8 using anti-S100A8 antibody (PB0767).S100A8 was detected in paraffin-embedded section of Rat Spleen Tissue. Heat mediated antigen retrieval was performed in citrate buffer (pH6, epitope retrieval solution) for 20 mins. The tissue section was blocked with 10% goat serum. The tissue section was then incubated with 1μg/ml rabbit anti-S100A8 Antibody (PB0767) overnight at 4°C. Biotinylated goat anti-rabbit IgG was used as secondary antibody and incubated for 30 minutes at 37°C. The tissue section was developed using Strepavidin-Biotin-Complex (SABC)(Catalog # SA1022) with DAB as the chromogen.

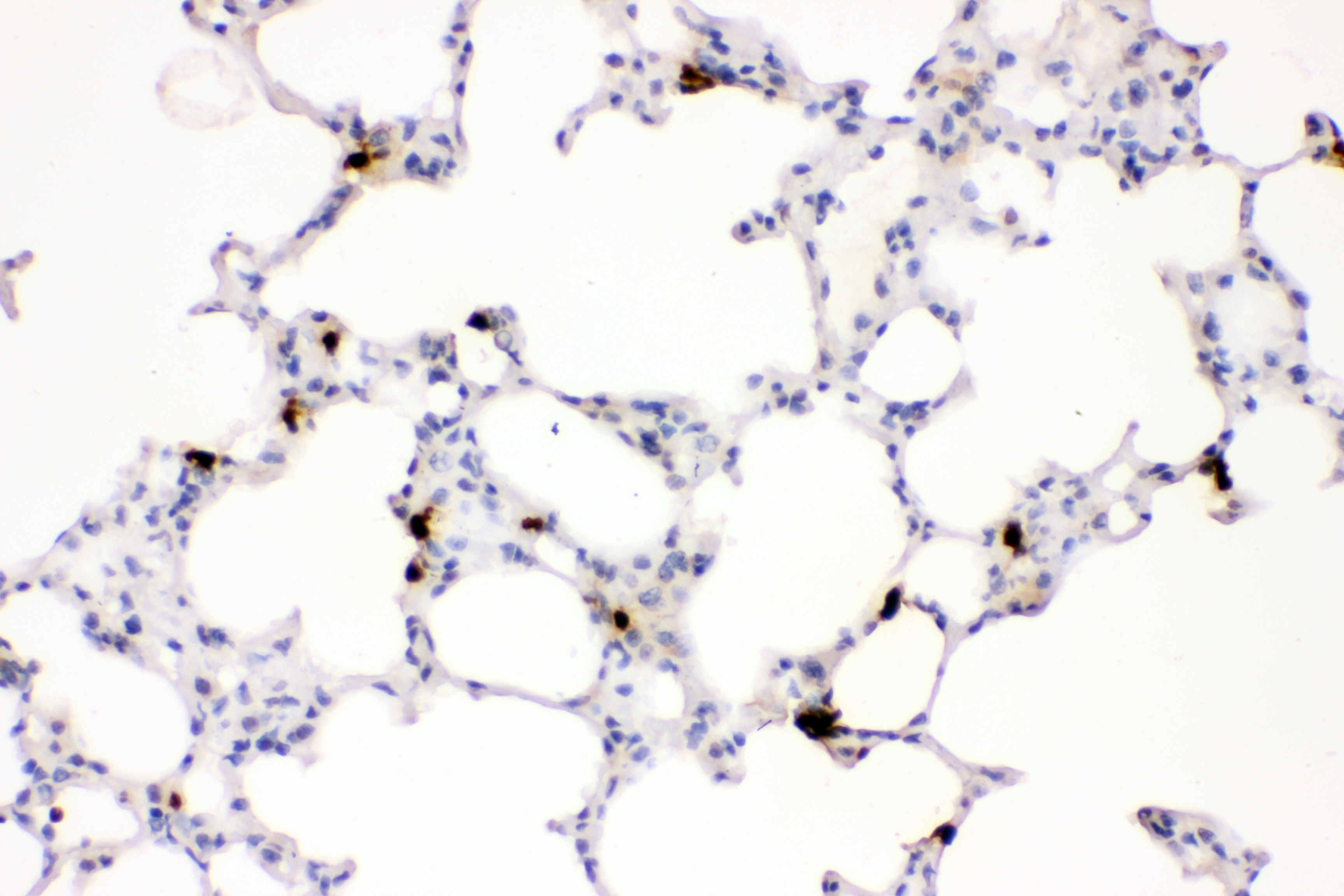
Figure 4. IHC analysis of S100A8 using anti-S100A8 antibody (PB0767).S100A8 was detected in paraffin-embedded section of Rat lung Tissue. Heat mediated antigen retrieval was performed in citrate buffer (pH6, epitope retrieval solution) for 20 mins. The tissue section was blocked with 10% goat serum. The tissue section was then incubated with 1μg/ml rabbit anti-S100A8 Antibody (PB0767) overnight at 4°C. Biotinylated goat anti-rabbit IgG was used as secondary antibody and incubated for 30 minutes at 37°C. The tissue section was developed using Strepavidin-Biotin-Complex (SABC)(Catalog # SA1022) with DAB as the chromogen.

Figure 5. ICC analysis of anti- S100A8 antibody (PB0767).was detected in immunocytochemical section of NIH/3T3 cells. Cells were stained using the Dylight594-conjugated Anti-rabbit IgG Secondary Antibody (red)(Catalog # BA1142) and counterstained with DAPI (blue).

Figure 6. ICC analysis of anti- S100A8 antibody (PB0767).was detected in immunocytochemical section of mouse MFC cells. Cells were stained using the Dylight488-conjugated Anti-rabbit IgG Secondary Antibody (green)(Catalog#BA1127) and counterstained with DAPI (blue).

Figure 7. Flow cytometry analysis of HEPA1-6 cell(1:100) DyLight488 conjugated goat anti-rabbit IgG(blue) was used as secondary antibody. Isotype control antibody (Green line) was rabbit IgG DyLight488. Unlabelled sample (Red line).

Figure 1. Western blot analysis of S100A8 using anti-S100A8 antibody (PB0767). The sample well of each lane was loaded with 30 ug of sample under reducing conditions.
Lane 1: rat spleen tissue lysates,
Lane 2: rat thymus tissue lysates,
Lane 3: mouse spleen tissue lysates,
Lane 4: mouse thymus tissue lysates.
After electrophoresis, proteins were transferred to a membrane. Then the membrane was incubated with rabbit anti-S100A8 antigen affinity purified polyclonal antibody (PB0767) at a dilution of 1:1000 and probed with a goat anti-rabbit IgG-HRP secondary antibody (Catalog # BA1054). The signal is developed using ECL Plus Western Blotting Substrate (Catalog # AR1197). A specific band was detected for S100A8 at approximately 10 kDa. The expected band size for S100A8 is at 10 kDa.

Figure 2. IHC analysis of S100A8 using anti-S100A8 antibody (PB0767).S100A8 was detected in paraffin-embedded section of Mouse Spleen Tissue. Heat mediated antigen retrieval was performed in citrate buffer (pH6, epitope retrieval solution) for 20 mins. The tissue section was blocked with 10% goat serum. The tissue section was then incubated with 1μg/ml rabbit anti-S100A8 Antibody (PB0767) overnight at 4°C. Biotinylated goat anti-rabbit IgG was used as secondary antibody and incubated for 30 minutes at 37°C. The tissue section was developed using Strepavidin-Biotin-Complex (SABC)(Catalog # SA1022) with DAB as the chromogen.

Figure 3. IHC analysis of S100A8 using anti-S100A8 antibody (PB0767).S100A8 was detected in paraffin-embedded section of Rat Spleen Tissue. Heat mediated antigen retrieval was performed in citrate buffer (pH6, epitope retrieval solution) for 20 mins. The tissue section was blocked with 10% goat serum. The tissue section was then incubated with 1μg/ml rabbit anti-S100A8 Antibody (PB0767) overnight at 4°C. Biotinylated goat anti-rabbit IgG was used as secondary antibody and incubated for 30 minutes at 37°C. The tissue section was developed using Strepavidin-Biotin-Complex (SABC)(Catalog # SA1022) with DAB as the chromogen.

Figure 4. IHC analysis of S100A8 using anti-S100A8 antibody (PB0767).S100A8 was detected in paraffin-embedded section of Rat lung Tissue. Heat mediated antigen retrieval was performed in citrate buffer (pH6, epitope retrieval solution) for 20 mins. The tissue section was blocked with 10% goat serum. The tissue section was then incubated with 1μg/ml rabbit anti-S100A8 Antibody (PB0767) overnight at 4°C. Biotinylated goat anti-rabbit IgG was used as secondary antibody and incubated for 30 minutes at 37°C. The tissue section was developed using Strepavidin-Biotin-Complex (SABC)(Catalog # SA1022) with DAB as the chromogen.

Figure 5. ICC analysis of anti- S100A8 antibody (PB0767).was detected in immunocytochemical section of NIH/3T3 cells. Cells were stained using the Dylight594-conjugated Anti-rabbit IgG Secondary Antibody (red)(Catalog # BA1142) and counterstained with DAPI (blue).

Figure 6. ICC analysis of anti- S100A8 antibody (PB0767).was detected in immunocytochemical section of mouse MFC cells. Cells were stained using the Dylight488-conjugated Anti-rabbit IgG Secondary Antibody (green)(Catalog#BA1127) and counterstained with DAPI (blue).

Figure 7. Flow cytometry analysis of HEPA1-6 cell(1:100) DyLight488 conjugated goat anti-rabbit IgG(blue) was used as secondary antibody. Isotype control antibody (Green line) was rabbit IgG DyLight488. Unlabelled sample (Red line).






