| Western blot (WB): | 1:500-2000 |
| Immunohistochemistry (IHC): | 1:50-400 |
| Enzyme linked immunosorbent assay (ELISA): | 1:100-1000 |
| (Boiling the paraffin sections in 10mM citrate buffer,pH6.0,or PH8.0 EDTA repair liquid for 20 mins is required for the staining of formalin/paraffin sections.) Optimal working dilutions must be determined by end user. | |

Figure 1. Western blot analysis of Survivin using anti- Survivin antibody (A00379). The sample well of each lane was loaded with 50ug of sample under reducing conditions. Lane 1: 293T whole cell lysates. -Survivin antigen affinity purified polyclonal antibody (Catalog # A00379) at 0.5 μg/mL overnight at 4°C, then washed with TBS-0.1%Tween 3 times with 5 minutes each and probed with a goat anti-rabbit IgG-HRP secondary antibody . The signal is developed using an Enhanced Chemiluminescent detection (ECL) kit (Catalog # EK1002) A specific band was detected for Survivin at approximately 16KD. The expected band size for Survivin is at 16KD.

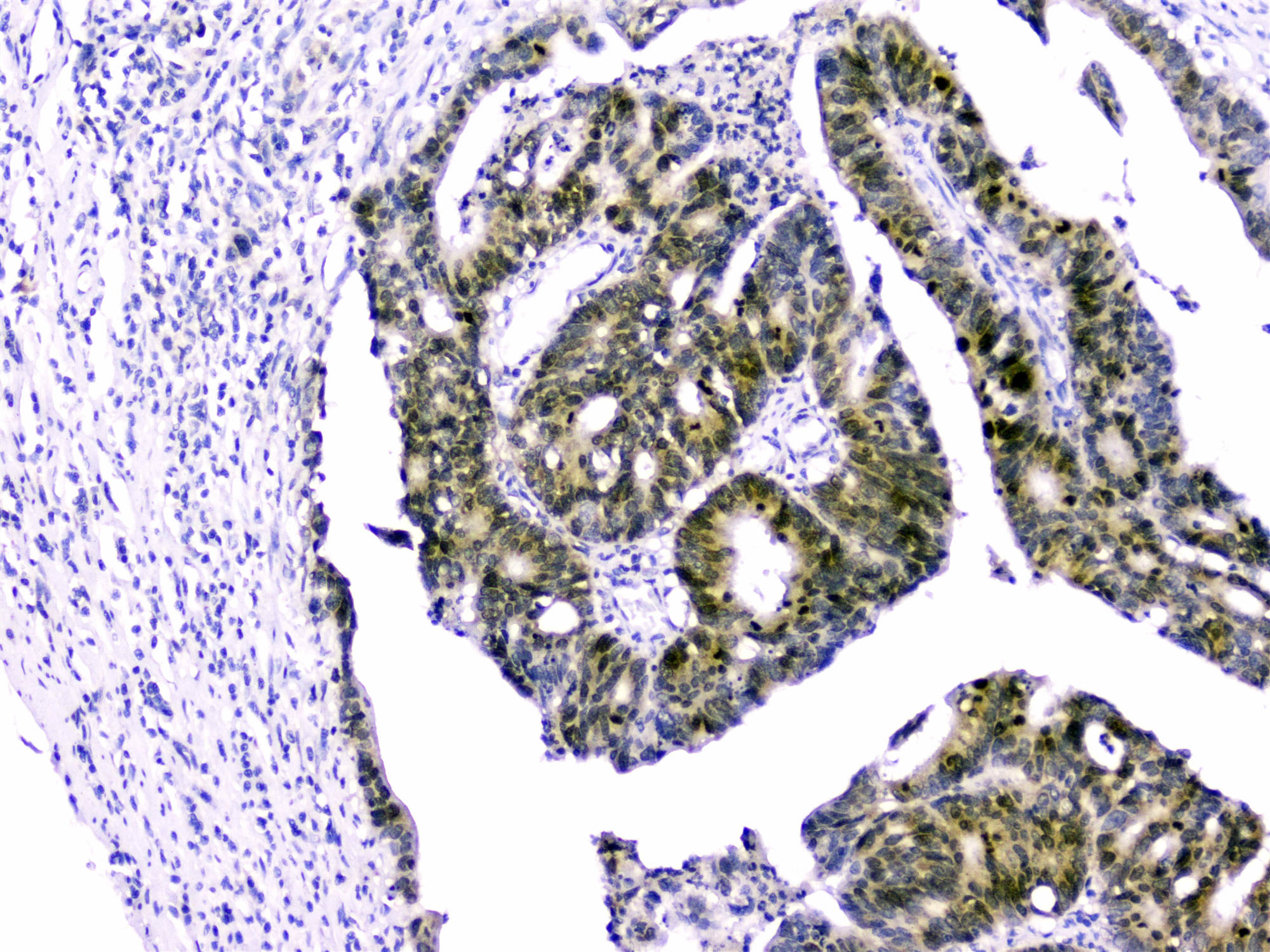
Figure 2. IHC analysis of Survivin using anti-Survivin antibody (A00379).
Survivin was detected in paraffin-embedded section of human intestinal cancer tissues. anti-Survivin Antibody (A00379) overnight at 4°C. Biotinylated goat anti-rabbit IgG was used as secondary antibody The tissue section was developed using Strepavidin-Biotin-Complex (SABC)(Catalog # SA1022) with DAB as the chromogen.

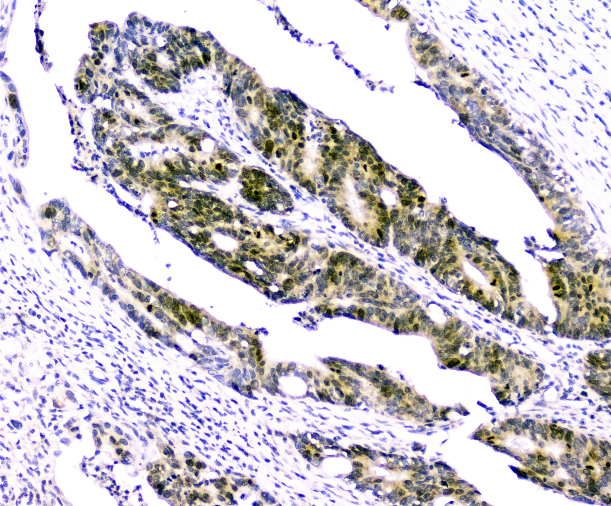
Figure 3. IHC analysis of Survivin using anti-Survivin antibody (A00379).
Survivin was detected in paraffin-embedded section of human intestinal cancer tissues. anti-Survivin Antibody (A00379) overnight at 4°C. Biotinylated goat anti-rabbit IgG was used as secondary antibody The tissue section was developed using Strepavidin-Biotin-Complex (SABC)(Catalog # SA1022) with DAB as the chromogen.

Figure 4. Western blot analysis of Survivin using anti-Survivin antibody (A00379).
Lane 1: rat pc-12 whole cell lysate,
Lane 2: human K562 whole cell lysate,
Lane 3: mouse thymus tissue lysate.
- probed with a goat anti-rabbit IgG-HRP secondary antibody . The signal is developed using an Enhanced Chemiluminescent detection (ECL) kit (Catalog # EK1002) A specific band was detected for Survivin at approximately 16KD. The expected band size for Survivin is at 16KD.

Figure 1. Western blot analysis of Survivin using anti- Survivin antibody (A00379). The sample well of each lane was loaded with 50ug of sample under reducing conditions. Lane 1: 293T whole cell lysates. -Survivin antigen affinity purified polyclonal antibody (Catalog # A00379) at 0.5 μg/mL overnight at 4°C, then washed with TBS-0.1%Tween 3 times with 5 minutes each and probed with a goat anti-rabbit IgG-HRP secondary antibody . The signal is developed using an Enhanced Chemiluminescent detection (ECL) kit (Catalog # EK1002) A specific band was detected for Survivin at approximately 16KD. The expected band size for Survivin is at 16KD.

Figure 2. IHC analysis of Survivin using anti-Survivin antibody (A00379).
Survivin was detected in paraffin-embedded section of human intestinal cancer tissues. anti-Survivin Antibody (A00379) overnight at 4°C. Biotinylated goat anti-rabbit IgG was used as secondary antibody The tissue section was developed using Strepavidin-Biotin-Complex (SABC)(Catalog # SA1022) with DAB as the chromogen.

Figure 3. IHC analysis of Survivin using anti-Survivin antibody (A00379).
Survivin was detected in paraffin-embedded section of human intestinal cancer tissues. anti-Survivin Antibody (A00379) overnight at 4°C. Biotinylated goat anti-rabbit IgG was used as secondary antibody The tissue section was developed using Strepavidin-Biotin-Complex (SABC)(Catalog # SA1022) with DAB as the chromogen.

Figure 4. Western blot analysis of Survivin using anti-Survivin antibody (A00379).
Lane 1: rat pc-12 whole cell lysate,
Lane 2: human K562 whole cell lysate,
Lane 3: mouse thymus tissue lysate.
- probed with a goat anti-rabbit IgG-HRP secondary antibody . The signal is developed using an Enhanced Chemiluminescent detection (ECL) kit (Catalog # EK1002) A specific band was detected for Survivin at approximately 16KD. The expected band size for Survivin is at 16KD.





