| Western blot (WB): | 1:500-2000 |
| Immunohistochemistry (IHC): | 1:50-200 |
| Immunocytochemistry/Immunofluorescence (ICC/IF): | 1:50-200 |
| ImmunoPrecipitation (IP): | 1:20 |
| Flow Cytometry (FCM): | 1:20 |

Figure 1. Western blot analysis of anti-Survivin/BIRC5 antibody (BM3975). The sample well of each lane was loaded with 30 ug of sample under reducing conditions.
Lane 1: human Jurkat whole cell lysates,
Lane 2: human K562 whole cell lysates,
Lane 3: human Raji whole cell lysates,
Lane 4: human PC-3 whole cell lysates,
Lane 5: human U2OS whole cell lysates,
Lane 6: human 293T whole cell lysates.
After electrophoresis, proteins were transferred to a membrane. Then the membrane was incubated with rabbit anti-Survivin/BIRC5 antigen affinity purified monoclonal antibody (BM3975) at a dilution of 1:1000 and probed with a goat anti-rabbit IgG-HRP secondary antibody (Catalog # BA1054). The signal is developed using ECL Plus Western Blotting Substrate (Catalog # AR1197). A specific band was detected for Survivin/BIRC5 at approximately 16 kDa. The expected band size for Survivin/BIRC5 is at 16 kDa.

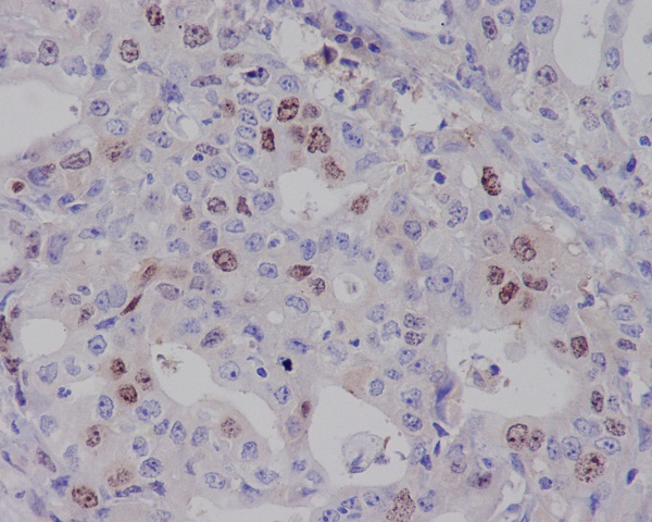
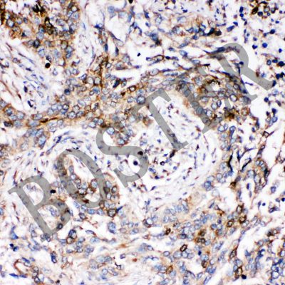
Immunohistochemical analysis of paraffin-embedded human gastric carcinoma, using Survivin Antibody.

Immunofluorescent analysis using the Antibody.

Immunofluorescent analysis of Hela cells, using Survivin Antibody .

Figure 1. Western blot analysis of anti-Survivin/BIRC5 antibody (BM3975). The sample well of each lane was loaded with 30 ug of sample under reducing conditions.
Lane 1: human Jurkat whole cell lysates,
Lane 2: human K562 whole cell lysates,
Lane 3: human Raji whole cell lysates,
Lane 4: human PC-3 whole cell lysates,
Lane 5: human U2OS whole cell lysates,
Lane 6: human 293T whole cell lysates.
After electrophoresis, proteins were transferred to a membrane. Then the membrane was incubated with rabbit anti-Survivin/BIRC5 antigen affinity purified monoclonal antibody (BM3975) at a dilution of 1:1000 and probed with a goat anti-rabbit IgG-HRP secondary antibody (Catalog # BA1054). The signal is developed using ECL Plus Western Blotting Substrate (Catalog # AR1197). A specific band was detected for Survivin/BIRC5 at approximately 16 kDa. The expected band size for Survivin/BIRC5 is at 16 kDa.

Immunohistochemical analysis of paraffin-embedded human gastric carcinoma, using Survivin Antibody.

Immunofluorescent analysis using the Antibody.

Immunofluorescent analysis of Hela cells, using Survivin Antibody .







