欢迎访问博士德生物官网! 服务热线:027-67845390 |
您当前的位置: 首页 > 产品中心 > 一抗 > 单克隆抗体

Anti-Androgen receptor/AR Antibody (Clone#DHH-1)

Rabbit monoclonal antibody

说明书 一键复制产品信息

筛选器: All WB IHC

BM4349

  • 50μl ¥1280 100μl ¥2180 150μl ¥2800
  • 货期: 现货
  • Western blot analysis of Androgen Receptor expression in 22Rv1 cell lysate.

    all(3)
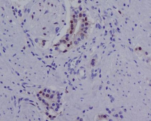
  • Immunohistochemical analysis of paraffin-embedded human prostate carcinoma, using Androgen Receptor(AR-V7 specific) Antibody.

    all(3)
  • All lanes use the Antibody for 1 hour at room temperature.

    all(3)

产品简介 实验方案 引用文献 相关产品

产品简介>

产品名称
Anti-Androgen receptor/AR Antibody (Clone#DHH-1)
规格/价格
50μl/1280 100μl/2180 150μl/2800
指标别称
AIS; androgen receptor; AR; DHTR; Dihydrotestosterone receptor; HUMARA; HYSP1; KD; NR3C4; SBMA; SMAX1; TFM
产品类型
Monoclonal
检验物种
human
应用范围
WB, IHC
基因名称
AR
克隆号
DHH-1
宿主
Rabbit
抗体亚型
IgG
免疫原
A synthesized peptide derived from human Androgen Receptor(AR-V7 specific)
计算分子量
99 kDa
实际分子量
110-120 kDa
成分
500 ug/ml; Rabbit IgG in phosphate buffered saline, pH 7.4, 150mM NaCl, 0.02% sodium azide, 0.4-0.5 mg/ml BSA and 50% glycerol.
纯化方式
Affinity-chromatography
浓度
500 ug/ml
产品形态
Liquid
保存条件
12 months from date of receipt,-20℃ as supplied.
背景资料
The AR (androgen receptor) gene is more than 90 kb long and codes for a protein that has 3 major functional domains: the N-terminal domain, DNA-binding domain, and androgen-binding domain. The AR gene is mapped to Xq12. The protein functions as a steroid-hormone activated transcription factor. Upon binding the hormone ligand, the receptor dissociates from accessory proteins, translocates into the nucleus, dimerizes, and then stimulates transcription of androgen responsive genes. This gene contains 2 polymorphic trinucleotide repeat segments that encode polyglutamine and polyglycine tracts in the N-terminal transactivation domain of its protein. Expansion of the polyglutamine tract causes spinal bulbar muscular atrophy (Kennedy disease). Mutations in this gene are also associated with complete androgen insensitivity (CAIS). Two alternatively spliced variants encoding distinct isoforms have been described.
Uniprot ID
C0JKD3  
文献引用格式
Androgen receptor/AR Antibody (Clone#DHH-1) (Boster Biological Technology, Wuhan, China. Catalog#BM4349)
应用释义
WB-蛋白质免疫印迹法; IHC- 免疫组织化学法; ICC/IF-免疫细胞荧光和免疫细胞化学; FCM-流式细胞术; ELISA-酶联免疫吸附测定; IP-免疫沉淀法; IF-免疫组织荧光法; ChIP-染色质免疫沉淀法;
基因名全称
Androgen receptor
推荐稀释比
Western blot (WB):1:500-2000
Immunohistochemistry (IHC):1:50-200

实验方案>

实验步骤

引用文献(0)>

    相关产品>

    成功添加到购物车

    查看购物车 继续购物

    Anti-Androgen receptor/AR Antibody (Clone#DHH-1)

    筛选器: All WB IHC

    亮暗模式切换
    X
    亮暗模式切换
    X

    在线
    客服

    在线客服
    服务时间:08:30 - 17:30

    点击下列客服在线咨询:

    服务热线

    服务
    热线

    客服服务热线

    027-67845390
    客服服务热线

    扫码

    扫码
    咨询

    微信二维码 微信扫一扫立即咨询
    返回顶部 顶部