| Western blot (WB): | 1:500-2000 | 
| Immunohistochemistry (IHC): | 1:50-400 | 
| Immunocytochemistry/Immunofluorescence (ICC/IF): | 1:50-400 | 

Immunohistochemical staining of paraffin-embedded Carcinoma of Human liver tissue using anti-VEGF mouse monoclonal antibody. (MA00045)

Western blot analysis of extracts (35ug) from 9 different cell lines by using anti-VEGF monoclonal antibody.

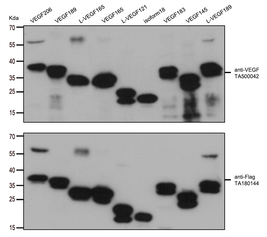
HEK293T cells were transfected with the overexpression plasmids of 9 VEGF isoforms (from left to right:VEGF206, ; VEGF189, ; L-VEGF165, ; VEGF165, ; L-VEGF121, ; VEGF iso18, ; VEGF183, ; VEGF145, ; L-VEGF189,) for 48 hrs and lysed. Equivalent amounts of cell lysates (5 ug per lane) were separated by SDS-PAGE and immunoblotted with anti-flag antibody (1:1000) or anti-VEGFA mouse monoclonal antibody. (MA00045, 1:500)

Immunohistochemical staining of paraffin-embedded Carcinoma of Human pancreas tissue using anti-VEGF mouse monoclonal antibody. (MA00045)

HEK293T cells were transfected with the pCMV6-ENTRY control (Left lane) or pCMV6-ENTRY VEGF (Right lane) cDNA for 48 hrs and lysed. Equivalent amounts of cell lysates (5 ug per lane) were separated by SDS-PAGE and immunoblotted with anti-VEGF.

Immunohistochemical staining of paraffin-embedded Carcinoma of Human liver tissue using anti-VEGF mouse monoclonal antibody. (MA00045)

Western blot analysis of extracts (35ug) from 9 different cell lines by using anti-VEGF monoclonal antibody.

HEK293T cells were transfected with the overexpression plasmids of 9 VEGF isoforms (from left to right:VEGF206, ; VEGF189, ; L-VEGF165, ; VEGF165, ; L-VEGF121, ; VEGF iso18, ; VEGF183, ; VEGF145, ; L-VEGF189,) for 48 hrs and lysed. Equivalent amounts of cell lysates (5 ug per lane) were separated by SDS-PAGE and immunoblotted with anti-flag antibody (1:1000) or anti-VEGFA mouse monoclonal antibody. (MA00045, 1:500)

Immunohistochemical staining of paraffin-embedded Carcinoma of Human pancreas tissue using anti-VEGF mouse monoclonal antibody. (MA00045)

HEK293T cells were transfected with the pCMV6-ENTRY control (Left lane) or pCMV6-ENTRY VEGF (Right lane) cDNA for 48 hrs and lysed. Equivalent amounts of cell lysates (5 ug per lane) were separated by SDS-PAGE and immunoblotted with anti-VEGF.






