| Western blot (WB): | 1:500-2000 | 
| Immunohistochemistry (IHC): | 1:1000-5000 | 
| Immunocytochemistry/Immunofluorescence (ICC/IF): | 1:1000-5000 | 
| (Boiling the paraffin sections in 10mM citrate buffer,pH6.0,or PH8.0 EDTA repair liquid for 20 mins is required for the staining of formalin/paraffin sections.) Optimal working dilutions must be determined by end user. | |

Western blot analysis of PCNA using anti- PCNA antibody (BM0104). Electrophoresis was performed on a 5-20% SDS-PAGE gel at 70V (Stacking gel) / 90V (Resolving gel) for 2-3 hours. The sample well of each lane was loaded with 50ug of sample under reducing conditions. Lane 1: human Caco-2 whole cell lysates,Lane 2: human MDA-MB-231 whole cell lysates, Lane 3: human Jurkat whole cell lysates, Lane 4: human HT1080 whole cell lysates. After Electrophoresis, proteins were transferred to a Nitrocellulose membrane at 150mA for 50-90 minutes. Blocked the membrane with 5% Non-fat Milk/ TBS for 1.5 hour at RT. The membrane was incubated with mouse anti- PCNA antigen affinity purified monoclonal antibody (Catalog # BM0104) at 0.5 μg/mL overnight at 4°C, then washed with TBS-0.1%Tween 3 times with 5 minutes each and probed with a goat anti- mouse IgG-HRP secondary antibody at a dilution of 1:10000 for 1.5 hour at RT. The signal is developed using an Enhanced Chemiluminescent detection (ECL) kit (Catalog # EK1001) with Tanon 5200 system. A specific band was detected for PCNA at approximately 35KD. The expected band size for PCNA is at 29KD.

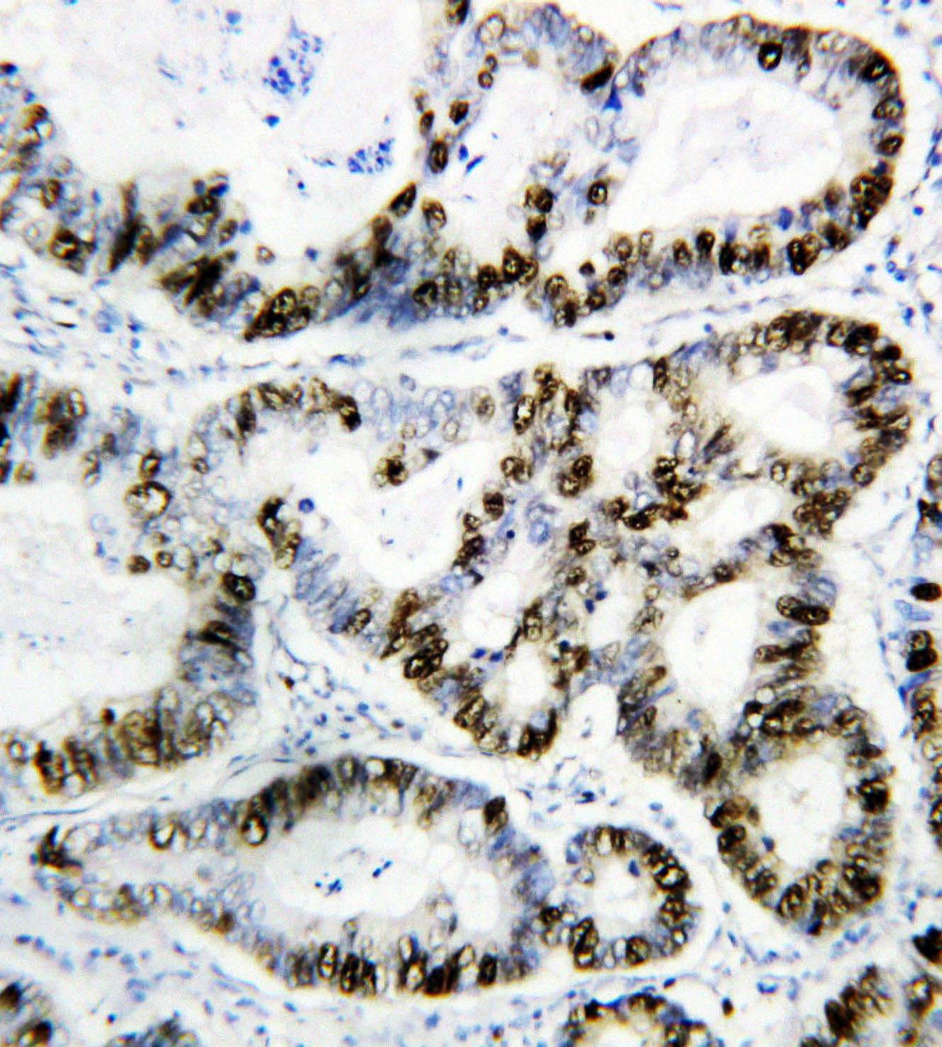
IHC analysis of PCNA using anti- PCNA antibody (BM0104).PCNA was detected in paraffin-embedded section of human Rectal cancer tissues. Heat mediated antigen retrieval was performed in citrate buffer (pH6, epitope retrieval solution) for 20 mins. The tissue section was blocked with 10% goat serum. The tissue section was then incubated with 1μg/ml mouse anti- PCNA Antibody (BM0104) overnight at 4°C. Biotinylated goat anti-mouse IgG was used as secondary antibody and incubated for 30 minutes at 37°C. The tissue section was developed using Strepavidin-Biotin-Complex (SABC)(Catalog # SA1021) with DAB as the chromogen.

IHC analysis using anti- PCNA antibody (BM0104). detected in paraffin-embedded section of sheep ovary tissue. Biotinylated goat anti- mouse IgG was used as secondary antibody. The tissue section was developed using Strepavidin-Biotin-Complex (SABC) (Catalog # SA1021) with DAB as the chromogen.

IHC analysis using anti- PCNA antibody (BM0104). detected in paraffin-embedded section of human lung cancer tissue. Biotinylated goat anti- mouse IgG was used as secondary antibody. The tissue section was developed using Strepavidin-Biotin-Complex (SABC) (Catalog # SA1021) with AEC as the chromogen.

IHC analysis of PCNA using anti- PCNA antibody (BM0104).PCNA was detected in immunocytochemical section of human HELA Cell. Enzyme antigen retrieval was performed using IHC enzyme antigen retrieval reagent (AR0022) for 15 mins. The cells were blocked with 10% goat serum. And then incubated with 1μg/ml mouse anti- PCNA Antibody (BM0104) overnight at 4°C. Biotinylated goat anti- mouse IgG was used as secondary antibody and incubated for 30 minutes at 37°C. The section was developed using Strepavidin-Biotin-Complex (SABC)(Catalog # SA1021) with DAB as the chromogen.

Western blot analysis of PCNA using anti- PCNA antibody (BM0104). Electrophoresis was performed on a 5-20% SDS-PAGE gel at 70V (Stacking gel) / 90V (Resolving gel) for 2-3 hours. The sample well of each lane was loaded with 50ug of sample under reducing conditions. Lane 1: human Caco-2 whole cell lysates,Lane 2: human MDA-MB-231 whole cell lysates, Lane 3: human Jurkat whole cell lysates, Lane 4: human HT1080 whole cell lysates. After Electrophoresis, proteins were transferred to a Nitrocellulose membrane at 150mA for 50-90 minutes. Blocked the membrane with 5% Non-fat Milk/ TBS for 1.5 hour at RT. The membrane was incubated with mouse anti- PCNA antigen affinity purified monoclonal antibody (Catalog # BM0104) at 0.5 μg/mL overnight at 4°C, then washed with TBS-0.1%Tween 3 times with 5 minutes each and probed with a goat anti- mouse IgG-HRP secondary antibody at a dilution of 1:10000 for 1.5 hour at RT. The signal is developed using an Enhanced Chemiluminescent detection (ECL) kit (Catalog # EK1001) with Tanon 5200 system. A specific band was detected for PCNA at approximately 35KD. The expected band size for PCNA is at 29KD.

IHC analysis of PCNA using anti- PCNA antibody (BM0104).PCNA was detected in paraffin-embedded section of human Rectal cancer tissues. Heat mediated antigen retrieval was performed in citrate buffer (pH6, epitope retrieval solution) for 20 mins. The tissue section was blocked with 10% goat serum. The tissue section was then incubated with 1μg/ml mouse anti- PCNA Antibody (BM0104) overnight at 4°C. Biotinylated goat anti-mouse IgG was used as secondary antibody and incubated for 30 minutes at 37°C. The tissue section was developed using Strepavidin-Biotin-Complex (SABC)(Catalog # SA1021) with DAB as the chromogen.

IHC analysis using anti- PCNA antibody (BM0104). detected in paraffin-embedded section of sheep ovary tissue. Biotinylated goat anti- mouse IgG was used as secondary antibody. The tissue section was developed using Strepavidin-Biotin-Complex (SABC) (Catalog # SA1021) with DAB as the chromogen.

IHC analysis using anti- PCNA antibody (BM0104). detected in paraffin-embedded section of human lung cancer tissue. Biotinylated goat anti- mouse IgG was used as secondary antibody. The tissue section was developed using Strepavidin-Biotin-Complex (SABC) (Catalog # SA1021) with AEC as the chromogen.

IHC analysis of PCNA using anti- PCNA antibody (BM0104).PCNA was detected in immunocytochemical section of human HELA Cell. Enzyme antigen retrieval was performed using IHC enzyme antigen retrieval reagent (AR0022) for 15 mins. The cells were blocked with 10% goat serum. And then incubated with 1μg/ml mouse anti- PCNA Antibody (BM0104) overnight at 4°C. Biotinylated goat anti- mouse IgG was used as secondary antibody and incubated for 30 minutes at 37°C. The section was developed using Strepavidin-Biotin-Complex (SABC)(Catalog # SA1021) with DAB as the chromogen.




