| Western blot (WB): | 1:500-2000 |
| Immunohistochemistry (IHC): | 1:50-400 |
| (Boiling the paraffin sections in 10mM citrate buffer,pH6.0,or PH8.0 EDTA repair liquid for 20 mins is required for the staining of formalin/paraffin sections.) Optimal working dilutions must be determined by end user. | |

Western blot analysis of anti-KDR antibody (BM0864).The sample well of each lane was loaded with 50ug of sample under reducing conditions.
Lane 1: human HELA whole cell lysates. Use rabbit anti- KDR 1:1000, probed with a goat anti-mouse IgG-HRP secondary antibody. The signal is developed using an Enhanced Chemiluminescent detection (ECL) kit (Catalog # EK1001). A specific band was detected for KDR at approximately 190KD. The expected band size for KDR is at 152KD.

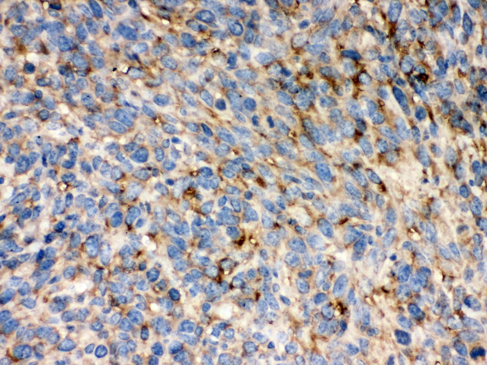
IHC analysis using anti- KDR antibody (BM0864). detected in paraffin-embedded section of human lung cancer tissue. Biotinylated goat anti-mouse IgG was used as secondary antibody. The tissue section was developed using Strepavidin-Biotin-Complex (SABC) (Catalog # SA1021) with DAB as the chromogen.

Western blot analysis of anti-KDR antibody (BM0864).The sample well of each lane was loaded with 50ug of sample under reducing conditions.
Lane 1: human HELA whole cell lysates. Use rabbit anti- KDR 1:1000, probed with a goat anti-mouse IgG-HRP secondary antibody. The signal is developed using an Enhanced Chemiluminescent detection (ECL) kit (Catalog # EK1001). A specific band was detected for KDR at approximately 190KD. The expected band size for KDR is at 152KD.

IHC analysis using anti- KDR antibody (BM0864). detected in paraffin-embedded section of human lung cancer tissue. Biotinylated goat anti-mouse IgG was used as secondary antibody. The tissue section was developed using Strepavidin-Biotin-Complex (SABC) (Catalog # SA1021) with DAB as the chromogen.

